아카이브 요약
이 페이지의 역할
세라믹치과의원의 네이버 블로그 원문을 보존한 아카이브 페이지입니다. 세라네이트 카테고리의 세라믹 치과, 삐뚤빼뚤한 치아를 교정 없이 라미네이트로 치료한 사례 글을 통해 병원의 한국어 정보 제공 방식과 진료 관련 안내 톤을 확인할 수 있습니다.
원문 검증
필요하면 원문 블로그와 병원 프로필로 바로 이동해 문맥을 다시 확인할 수 있습니다.
출처 아카이브 열기아카이브된 블로그 글
세라믹치과의원 · Naver Blog
교정 없이도 가지런한 치아가 가능할까요? 세라믹치과 대표원장 김선민입니다. 치아가 삐뚤빼뚤할 때 가장 먼저 떠오르는 치료는 역시 교정입니다. 하지만 현실적으로 1~2년이라는 긴 치료 기간이 부담스러우신 분들도 많습니다. 특히 사회생활을 하시는 분들께는 장치를 오래 착용하는 것 자체가 큰 고민이 되기도 하죠. 그래서...
게시일
2026년 2월 22일
원문 기준으로 확인된 발행일입니다.
카테고리
세라네이트
원문 블로그 카테고리를 정리해 함께 표시합니다.
이미지 수
10
현재 아카이브에 연결된 이미지 수입니다.
아카이브 요약
세라믹치과의원의 네이버 블로그 원문을 보존한 아카이브 페이지입니다. 세라네이트 카테고리의 세라믹 치과, 삐뚤빼뚤한 치아를 교정 없이 라미네이트로 치료한 사례 글을 통해 병원의 한국어 정보 제공 방식과 진료 관련 안내 톤을 확인할 수 있습니다.
원문 검증
필요하면 원문 블로그와 병원 프로필로 바로 이동해 문맥을 다시 확인할 수 있습니다.
출처 아카이브 열기교정 없이도 가지런한 치아가 가능할까요?
세라믹치과 대표원장 김선민입니다. 치아가 삐뚤빼뚤할 때 가장 먼저 떠오르는 치료는 역시 교정입니다. 하지만 현실적으로 1~2년이라는 긴 치료 기간이 부담스러우신 분들도 많습니다. 특히 사회생활을 하시는 분들께는 장치를 오래 착용하는 것 자체가 큰 고민이 되기도 하죠.
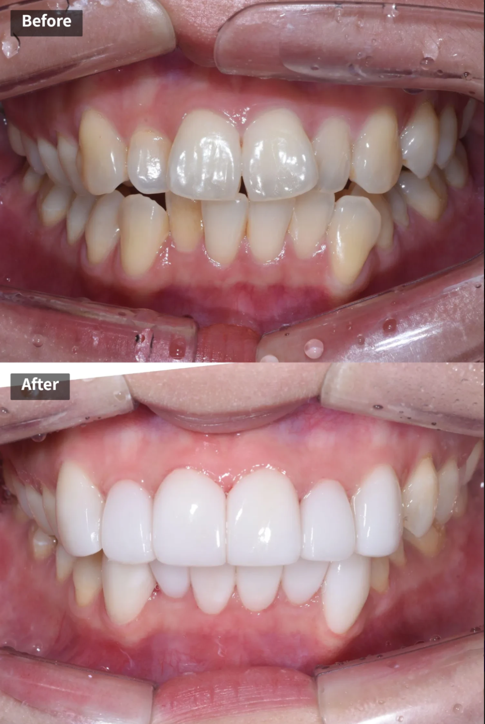
그래서 오늘은 다른 치과에서 '라미네이트로는 안 된다'는 이야기를 들으셨던 27세 여성 환자분의 사례를 소개해 드리겠습니다. 심한 치아 총생(crowding, 삐뚤빼뚤함)이 있었지만, 교정 없이 라미네이트와 크라운만으로 배열을 개선한 증례입니다. 이렇게까지 배열이 틀어진 경우에도 교정 없이 이 정도의 개선이 가능하다는 점을 함께 확인해 보시면 좋겠습니다.

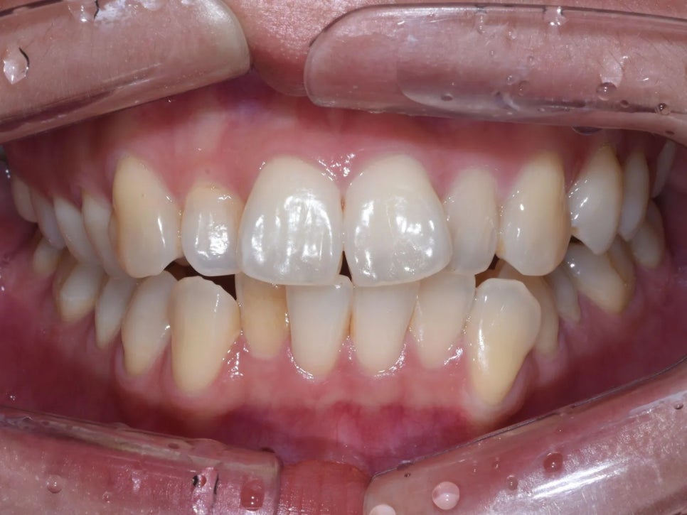
치료 전 상태
만 27세 여성 환자분이셨는데, 위아래 앞니 모두 심한 치아 겹침이 있는 상태였습니다. 위쪽 앞니 두 개(가운데 큰 앞니)가 앞으로 튀어나와 있었고, 그 사이에 벌어진 틈도 관찰되었습니다.

초진 안모사진 – 위쪽 가운데 앞니가 돌출되어 있고, 치아 사이 벌어짐이 보입니다.
특히 위쪽 작은 앞니(가운데 앞니 바로 옆 치아)들은 안쪽으로 밀려 들어간 상태였고, 그 때문에 가운데 앞니가 더욱 튀어나와 보이는 양상이었습니다. 아래쪽 앞니도 앞으로 돌출되어 있으면서 서로 겹쳐 있었습니다.

치료전 – 위아래 앞니의 심한 겹침과 치아 각도 불일치가 확인됩니다.

치료전 - 이대로 깎지 않고 보철을 만들면 아랫니와 윗니가 서로 간섭이 일어날수밖에 없습니다.

환자분의 가장 큰 바람은 "삐뚤빼뚤한 치아를 가지런하게 하고 싶지만, 교정은 너무 오래 걸려서 원치 않는다"는 것이었습니다. 이미 다른 치과에서 라미네이트로는 불가능하다는 설명을 들으신 상태였기 때문에, 과연 가능한지에 대한 걱정도 크셨습니다.
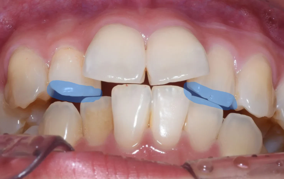
심하게 삐뚤어진 치아에도 라미네이트가 가능한 이유 - 치료 계획
삐뚤빼뚤한 정도가 심한 경우, 일반적으로 "라미네이트만으로는 어렵다"고 판단되는 경우가 많습니다. 이것은 틀린 말이 아닙니다. 모든 치아를 동일한 방식으로 접근하면 실제로 어려운 경우가 많기 때문입니다.
하지만 핵심은 치아마다 삭제량을 다르게 조절하는 것에 있습니다. 치아의 각도가 얼마나 틀어져 있느냐에 따라 접근법을 달리하면, 교정 없이도 충분히 개선할 수 있는 경우가 있습니다.
이번 케이스에서의 치료 계획을 정리하면 다음과 같습니다.
| 구분 | 해당 치아 | 접근 방식 | 삭제량 |
|---|---|---|---|
| 각도 이탈이 심한 치아 | 위쪽 작은 앞니 2개 | 크라운 | 충분한 삭제 필요 |
| 나머지 치아 | 나머지 치아 | 무삭제 / 최소삭제 라미네이트 | 최소 삭제 |
즉, 모든 치아를 동일하게 많이 갈아내는 것이 아니라, 각도가 심하게 틀어진 치아만 충분히 삭제하고 나머지는 최소한으로 보존하는 전략을 세웠습니다. 환자분께서도 이 부분에 대해 충분히 이해하시고 동의하셨습니다.
치아 색상은 자연스러우면서도 밝은 톤으로 결정했고, 환자분의 주된 고민이 위쪽 앞니의 배열 개선이었으므로 해당 부위에 집중하여 치료를 진행했습니다.
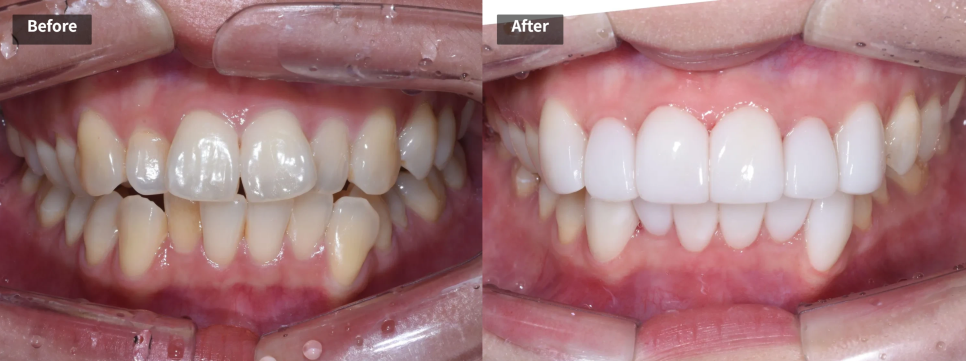
치료 결과 전후 사진
과연 어느정도까지 개선할 수 있었을까요?

각도가 심하게 틀어져 있던 치아는 형태를 수정한 후 라미네이트와 크라운을 적용했고, 나머지 치아는 최소한의 삭제만으로 라미네이트를 진행하여 치아 보존과 심미적 조화를 동시에 달성했습니다.

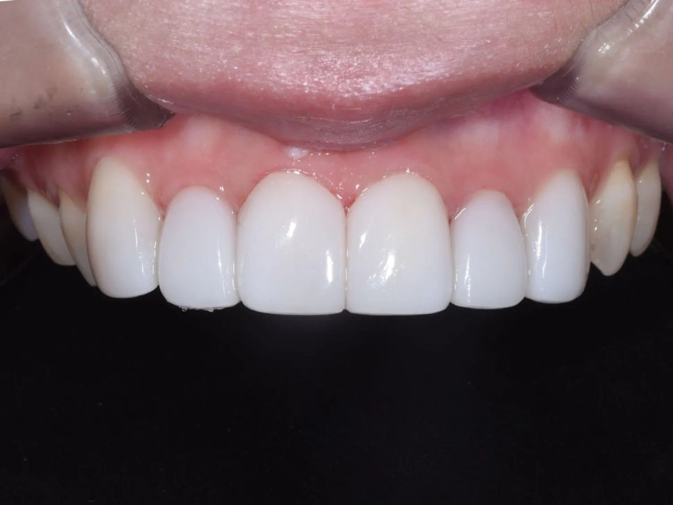
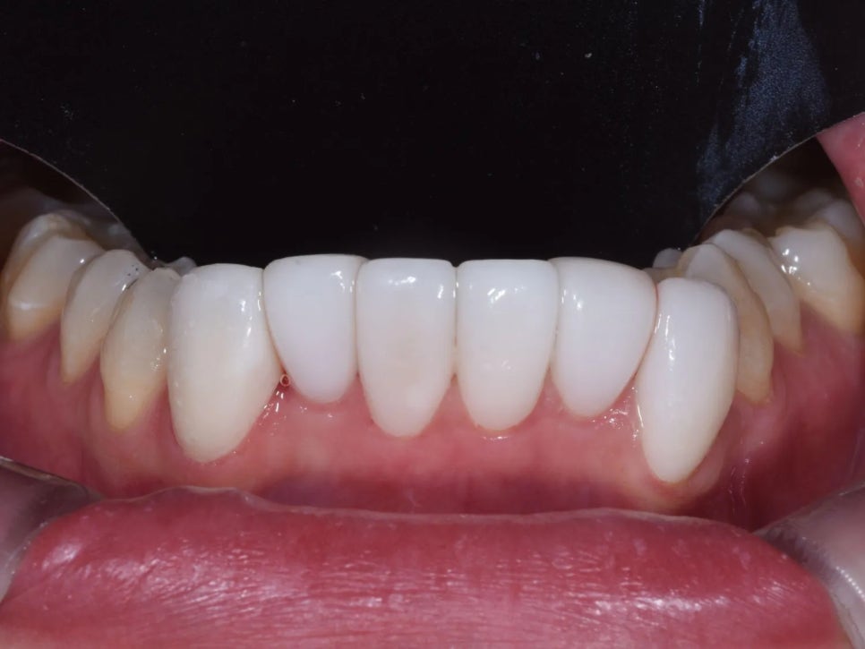
가지런하게 배열된 위 앞니 - 미적으로 가장 중요한 부분이죠
아래쪽 앞니도 위쪽과 자연스럽게 조화를 이루며, 잇몸 라인도 건강하고 안정적으로 유지되고 있습니다.

치료 후 - 아래앞니도 예쁘게 배열되었습니다.
시술 후 아래 앞니 – 형태와 색조가 위쪽 치아와 자연스럽게 조화를 이루며, 잇몸 상태도 건강합니다.
치료 전후를 비교해 보시면, 교정 없이도 이 정도의 배열 개선이 가능하다는 것을 확인하실 수 있습니다. 자연스러우면서도 밝은 색상으로 전체적인 심미적 완성도가 높고, 기능적으로도 안정적인 결과를 얻을 수 있었습니다.
이 케이스에서 주목할 점
이번 사례를 정리해보면 다음과 같습니다.
교정 없이도 가지런한 미소를 되찾을 수 있습니다
치아 배열이 고민이지만 교정이 부담스러우신 분들께, 라미네이트는 분명 하나의 좋은 선택지가 될 수 있습니다. 물론 중요한 것은 정확한 진단과 개인 맞춤 치료 계획입니다.
환자분의 얼굴형, 미소 라인, 잇몸 노출 정도, 위아래 치아의 맞물림 등을 종합적으로 분석해야 최적의 결과를 이끌어낼 수 있습니다. 단순히 "라미네이트 하겠습니다"가 아니라, 왜 이 치아는 이만큼 삭제하고 저 치아는 최소로 하는지까지 세밀하게 계획하는 과정이 결과의 차이를 만듭니다.
자연스러우면서도 밝은 미소를 원하신다면, 내원 상담을 통해 본인에게 맞는 최선의 방법을 함께 찾아보시길 바랍니다. 감사합니다.

