아카이브 요약
이 페이지의 역할
세라믹치과의원의 네이버 블로그 원문을 보존한 아카이브 페이지입니다. 치아상식 카테고리의 역삼동 치과, 임플란트 안 심고 살면 안 되나요? 글을 통해 병원의 한국어 정보 제공 방식과 진료 관련 안내 톤을 확인할 수 있습니다.
원문 검증
필요하면 원문 블로그와 병원 프로필로 바로 이동해 문맥을 다시 확인할 수 있습니다.
출처 아카이브 열기아카이브된 블로그 글
세라믹치과의원 · Naver Blog
이 빠진 후, 그냥 임플란트 안 심으면 안 되나요? 안녕하세요, 역삼동 치과, 세라믹치과 원장이에요. 오늘은 진료실에서 정말 자주 듣는 질문 하나를 주제로 이야기해 보려고 해요. "이 하나쯤 없어도 괜찮겠지…" 치아를 뽑거나 잃은 후에 이렇게 생각하시는 분들이 정말 많아요. 특히 어금니처럼 겉에서 잘 보이지 않는 부위...
게시일
2026년 2월 24일
원문 기준으로 확인된 발행일입니다.
카테고리
치아상식
원문 블로그 카테고리를 정리해 함께 표시합니다.
이미지 수
8
현재 아카이브에 연결된 이미지 수입니다.
아카이브 요약
세라믹치과의원의 네이버 블로그 원문을 보존한 아카이브 페이지입니다. 치아상식 카테고리의 역삼동 치과, 임플란트 안 심고 살면 안 되나요? 글을 통해 병원의 한국어 정보 제공 방식과 진료 관련 안내 톤을 확인할 수 있습니다.
원문 검증
필요하면 원문 블로그와 병원 프로필로 바로 이동해 문맥을 다시 확인할 수 있습니다.
출처 아카이브 열기이 빠진 후, 그냥 임플란트 안 심으면 안 되나요?
안녕하세요, 역삼동 치과, 세라믹치과 원장이에요. 오늘은 진료실에서 정말 자주 듣는 질문 하나를 주제로 이야기해 보려고 해요.

"이 하나쯤 없어도 괜찮겠지…" 치아를 뽑거나 잃은 후에 이렇게 생각하시는 분들이 정말 많아요. 특히 어금니처럼 겉에서 잘 보이지 않는 부위일수록 '나중에 해야지' 하면서 방치하는 경우가 흔하죠.
비용 부담, 수술에 대한 두려움, 바쁜 일상 등 미루는 이유는 저도 충분히 이해해요. 하지만 치아 하나의 빈자리가 입 전체에 연쇄적인 문제를 일으킬 수 있다는 사실은 꼭 알아두셨으면 해요. 이 글에서는 치아를 잃은 후 방치하면 어떤 일이 벌어지는지, 임플란트 외에 다른 대안은 없는지, 그리고 꼭 임플란트를 해야만 하는 건지에 대해 정리해 드릴게요.

치아 상실 후 방치하면 생기는 문제들
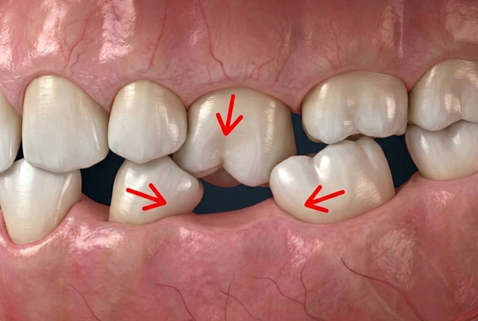
치아를 하나 잃으면 그냥 빈자리 하나만 생기는 게 아니에요. 시간이 지나면서 입 안 전체의 균형이 무너지기 시작해요. 구체적으로 어떤 변화가 일어나는지 단계별로 살펴볼게요.
빈 공간이 생기면 양옆에 있던 치아들이 그쪽으로 서서히 기울어지기 시작해요. 마치 책꽂이에서 책 한 권을 빼면 나머지 책들이 쓰러지듯이요. 이렇게 치아가 이동하면 치아 사이에 틈이 벌어지고, 음식물이 끼기 쉬워져서 충치나 잇몸병의 원인이 돼요.

위아래로 맞물리던 반대편 치아가 빈 공간을 향해 길어지듯 솟아오르는 현상이 나타나요. 예를 들어 아래 어금니를 잃으면, 위쪽 어금니가 점점 내려오는 거예요. 이렇게 되면 나중에 임플란트를 심으려 해도 공간이 부족해져서 교정이 추가로 필요할 수 있어요.
치아가 있을 때는 씹는 자극이 잇몸뼈에 전달되면서 뼈가 건강하게 유지돼요. 하지만 치아가 빠지면 자극이 사라지면서 잇몸뼈가 점차 줄어들어요. 발치 후 첫 1년 내에 약 25%의 뼈가 소실될 수 있다는 연구 결과도 있을 정도예요.

뼈가 녹아서 폭이 좁아진 모습. 치아/임플란트가 들어가기 힘들 것 같이 생겼죠?
치아 배열이 흐트러지면 물림(교합)이 달라지면서 경우에 따라서는 턱관절 통증이나 두통까지 유발할 수 있어요. 음식을 제대로 씹지 못하면 소화 장애나 영양 불균형이 생기고, 앞니가 빠진 경우에는 발음이 부정확해지기도 하죠.
결국 시간이 지날수록 치료가 복잡해지고, 비용도 증가하는 악순환에 빠지게 돼요. "나중에 하자"가 "지금 당장 해야 할 큰 치료"로 바뀌는 셈이에요.
| 방치 기간 | 예상되는 변화 | 추가 필요 시술 |
|---|---|---|
| 3개월 이내 | 옆 치아 이동 시작 | 보통 없음 |
| 3개월~1년 | 잇몸뼈 흡수 진행, 맞물림 치아 솟아오름 | 소규모 골이식 가능성 |
| 1~3년 이상 | 치열 변형, 물림 이상 | 골이식 + 교정 가능성 |
임플란트와 브릿지 비교
치아를 잃었을 때 빈자리를 채우는 대표적인 방법은 임플란트와 브릿지 두 가지예요. 각각의 장단점을 비교해 볼게요.
임플란트
임플란트는 잇몸뼈에 인공 치근(나사 모양의 금속 기둥)을 심고, 그 위에 치아 모양의 보철물을 씌우는 방법이에요. 자연 치아와 가장 유사한 기능과 외모를 회복할 수 있어요.

임플란트의 구조
브릿지 (고정성 보철)
브릿지는 빈자리 양쪽의 건강한 치아를 깎아서 기둥으로 만들고, 그 위에 다리처럼 연결된 보철물을 씌우는 방식이에요. 수술 없이 비교적 빠르게 치료가 가능하다는 장점이 있어요.

두 가지 방법을 한눈에 비교해 볼까요?
| 비교 항목 | 임플란트 | 브릿지 |
|---|---|---|
| 수술 여부 | 필요 (잇몸뼈에 인공 치근 식립) | 불필요 |
| 치료 기간 | 2~6개월 | 2~3주 |
| 인접치 손상 | 없음 | 양옆 건강한 치아를 깎아야 함 |
| 잇몸뼈 보존 | ✅ 보존 효과 있음 | ❌ 흡수 방지 불가 |
| 성공률 | 95% 이상 | 높음 (단, 기둥 치아 상태에 따라 다름) |
| 씹는 느낌 | 자연치와 유사 | 양호 |
| 관리 편의성 | 일반 칫솔질 + 정기검진 | 브릿지 아래 부분 청소가 어려움 |
정리하면, 장기적인 구강 건강을 생각하면 임플란트가 가장 이상적인 선택이에요. 하지만 상황에 따라 브릿지도 충분히 좋은 대안이 될 수 있어요.
임플란트를 특히 미루면 안 되는 경우
반대로, 다음과 같은 경우에는 임플란트를 가능한 한 빨리 진행하는 것이 유리해요. 미룰수록 치료가 복잡해지고 비용도 올라가니까요.
앞니를 잃은 경우: 심미적 문제는 물론 발음까지 바로 영향을 받아요. 사회생활에 큰 불편을 줄 수 있죠.
어금니 상실로 씹는 기능이 크게 떨어진 경우: 한쪽으로만 씹게 되면 턱관절 장애(TMD)의 위험이 높아져요.
옆 치아가 이미 움직이기 시작한 경우: 더 진행되면 임플란트 전에 교정부터 해야 할 수 있어요.
잇몸뼈 흡수가 진행 중인 경우: 뼈가 줄어들수록 골이식의 범위가 커지고, 그만큼 치료 기간과 비용이 늘어나요.
반대편으로만 편측 저작을 하는 경우: 턱관절에 비대칭적인 부하가 걸리면서 두통, 턱 통증 등이 생길 수 있어요.

방치하면 할 수록 뼈가 점점 녹아서 힘들어집니다
핵심은 이거예요 — 임플란트를 할 계획이라면, 최대한 빨리 하는 것이 무조건 유리해요. 기다리면 기다릴수록 뼈는 줄어들고, 치아는 움직이고, 치료는 복잡해져요.
치과 의사가 드리는 현실적인 조언
10년 넘게 진료를 하면서 느낀 점을 솔직하게 말씀드릴게요.
발치 후 가능하면 3~6개월 이내에 보철 계획을 세우는 것이 이상적이에요. 이 시기가 잇몸뼈가 아직 충분히 남아 있고, 옆 치아도 크게 이동하지 않은 골든타임이거든요.
참고로 알아두시면 좋은 점들을 정리해 드릴게요:
| 궁금한 점 | 답변 |
|---|---|
| 건강보험 적용 | 65세 이상은 평생 2개까지 건강보험 적용 임플란트 가능 |
| 전신질환이 있을 때 | 당뇨·고혈압 등이 잘 조절되고 있다면 대부분 임플란트 가능 |
| 뼈가 부족할 때 | 골이식, 윗턱 뼈 보강 시술(상악동거상술) 등으로 보완 가능 |
치아 상실은 단순히 "이 하나 빠진 것"으로 끝나지 않아요. 구강 전체 건강의 연쇄 반응이 시작되는 출발점이에요. 옆 치아가 기울고, 맞물리는 치아가 솟아오르고, 잇몸뼈가 녹아내리고, 물림이 변하고… 시간이 지날수록 문제
는 점점 커져요.
임플란트가 가장 이상적인 선택이지만, 여건이 안 된다면 브릿지나 틀니도 훌륭한 대안이에요. 중요한 건 방법이 아니라 빈 공간을 채우는 것 자체예요. 가장 나쁜 선택은 '아무것도 하지 않는 것'이에요.
지금 빠진 치아가 있으시다면, 가까운 치과에서 본인 상황에 맞는 최적의 치료 계획을 상담받아 보세요. 빠를수록 치료는 간단해지고, 비용도 아낄 수 있어요. 궁금한 점이 있으시면 언제든 편하게 문의해 주세요. 감사합니다 😊
