아카이브 요약
이 페이지의 역할
세라믹치과의원의 네이버 블로그 원문을 보존한 아카이브 페이지입니다. 치아상식 카테고리의 청담 치과, 양치할 피가 섞여 나온다면 - 치주염 글을 통해 병원의 한국어 정보 제공 방식과 진료 관련 안내 톤을 확인할 수 있습니다.
원문 검증
필요하면 원문 블로그와 병원 프로필로 바로 이동해 문맥을 다시 확인할 수 있습니다.
출처 아카이브 열기아카이브된 블로그 글
세라믹치과의원 · Naver Blog
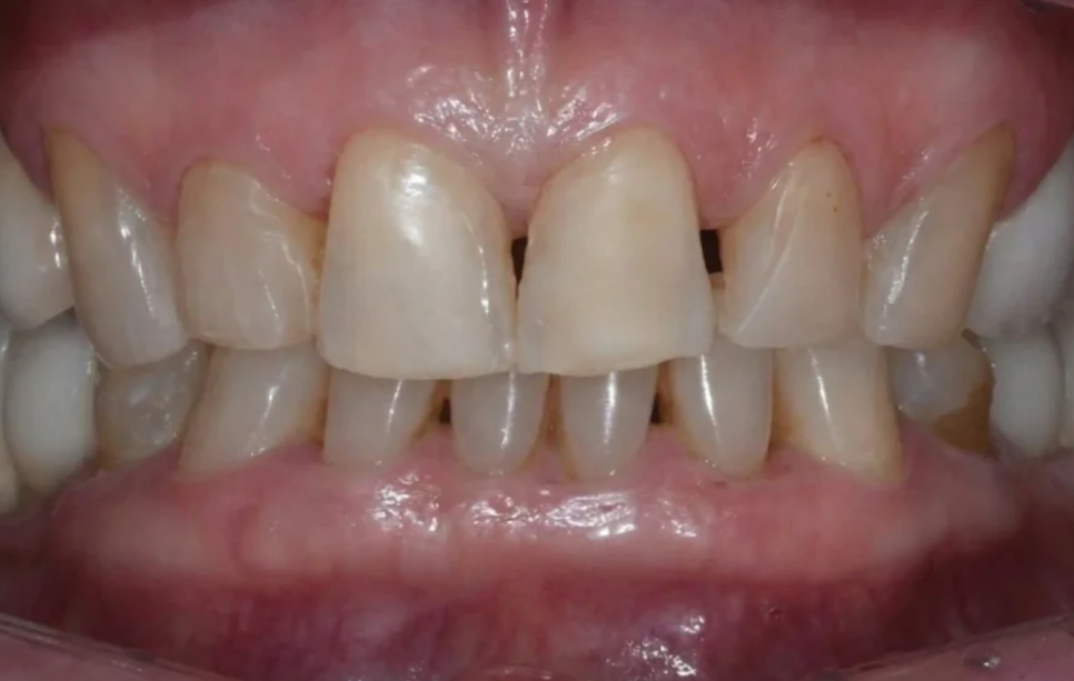
안녕하세요, 청담 치과, 세라믹치과입니다. 양치할 때 힘을 많이 줬나 피가 났어요…" 잇몸 출혈에 대해 이렇게 말씀하시는 분들이 정말 많습니다. 혹은 "어머니도 그러셨고, 아버지도 그러셨으니 나이 들면 원래 그런 거겠지" 하고 넘기시는 경우도 흔합니다. 인터넷에 '잇몸 출혈'을 검색하면 비타민C 부족, 칫솔이 안 맞아...
게시일
2026년 2월 28일
원문 기준으로 확인된 발행일입니다.
카테고리
치아상식
원문 블로그 카테고리를 정리해 함께 표시합니다.
이미지 수
7
현재 아카이브에 연결된 이미지 수입니다.
아카이브 요약
세라믹치과의원의 네이버 블로그 원문을 보존한 아카이브 페이지입니다. 치아상식 카테고리의 청담 치과, 양치할 피가 섞여 나온다면 - 치주염 글을 통해 병원의 한국어 정보 제공 방식과 진료 관련 안내 톤을 확인할 수 있습니다.
원문 검증
필요하면 원문 블로그와 병원 프로필로 바로 이동해 문맥을 다시 확인할 수 있습니다.
출처 아카이브 열기안녕하세요, 청담 치과, 세라믹치과입니다.
양치할 때 힘을 많이 줬나 피가 났어요…"
잇몸 출혈에 대해 이렇게 말씀하시는 분들이 정말 많습니다. 혹은 "어머니도 그러셨고, 아버지도 그러셨으니 나이 들면 원래 그런 거겠지" 하고 넘기시는 경우도 흔합니다.
인터넷에 '잇몸 출혈'을 검색하면 비타민C 부족, 칫솔이 안 맞아서 등 다양한 원인이 나오지만 가장 흔하고 중요한 원인은 따로 있습니다.
양치할 때 뱉은 침에 피가 섞여 나오는 것, 이것은 우리 몸이 보내는 '잇몸에 염증이 있다'는 경고 신호입니다.
잇몸병은 통증이 거의 없이 진행됩니다. 그래서 '소리 없는 불청객'이라는 별명이 붙었습니다.
오늘은 이 조용한 질환에 대해 조심스럽게 이야기해 드릴까 합니다.

잇몸병이란 정확히 무엇인가요?
잇몸병(치주질환)이란 치아를 감싸고 지탱하는 조직에 세균이 염증을 일으키는 질환입니다. (잇몸, 뼈, 인대 모두 포함됩니다.)
원인의 핵심은 치아 표면에 끊임없이 생기는 세균막과 이것이 굳어진 치석입니다. 치석은 양치질만으로 절대 제거되지 않습니다.

잇몸병의 진행 과정
치은염 – 겉만 손상된 상태
치은염은 잇몸에만 염증이 생긴 초기 단계입니다. 잇몸이 붉게 붓고 양치할 때 출혈이 발생합니다.
하지만 아직 뼈(지반)는 멀쩡합니다. 이 단계에서 치료하면 완전히 원래대로 회복이 가능합니다.
치주염 – 뼈까지 무너지기 시작한 상태
치은염을 방치하면 염증이 잇몸 아래로 깊어집니다. 잇몸뼈가 녹기 시작합니다.
잇몸과 치아 사이에 깊은 주머니(치주낭)가 형성되고, 뼈가 줄어들수록 치아가 흔들립니다.
결국 치아가 빠지게 됩니다.
| 구분 | 치은염 | 치주염 |
|---|---|---|
| 염증 범위 | 잇몸(살)에만 한정 | 잇몸 + 뼈까지 진행 |
| 뼈 손실 | 없음 | 있음 (녹아내림) |
| 회복 가능성 | 완전 회복 가능 | 녹은 뼈는 자연 회복 불가 |
| 치아 흔들림 | 없음 | 진행될수록 심해짐 |
치은염은 되돌릴 수 있지만, 치주염으로 녹아버린 뼈는 자연적으로 다시 차오르지 않습니다. '시기'가 결정적입니다.
참고로 대한민국 성인의 약 75~80%가 정도의 차이는 있지만 치주질환을 경험합니다. 건강보험 외래 진료 1위 질환입니다.
그만큼 흔하지만, 그만큼 방치도 많이 됩니다.
잇몸병에 대한 흔한 오해 바로잡기
오해 1: "나이 들면 원래 이가 빠지는 거 아닌가요?"
"어차피 나이 먹으면 다 빠지는 거잖아요"
이 말, 정말 많이 들었습니다.
하지만 틀린 말입니다. 노화로 잇몸이 약간 퇴축될 수는 있지만, 이가 흔들리고 빠지는 것은 '노화'가 아니라 '치주염'이라는 질환의 결과입니다.
관리하면 80세에도 28개 치아 모두를 유지할 수 있습니다.
오해 2: "피가 나니까 살살 닦아야겠다"
맞기도 하고, 틀리기도 한 말입니다.
너무 세게 닦는 것은 문제이지만, 출혈이 무서워서 잇몸 근처를 피해 닦으면 오히려 세균막이 더 쌓입니다. 염증이 악화됩니다.
올바른 방법으로 꾸준히 닦아야 출혈이 점차 줄어듭니다.
오해 3: "스케일링 받으면 이 사이가 벌어진다"
"스케일링 받고 나니까 이가 깎인 것 같고 벌어졌어요"
이런 말씀을 하시는 분들이 계십니다. 스케일링은 치아 표면의 치석을 제거하는 것이지 치아 자체를 깎는 게 아닙니다.
시술 후 벌어진 느낌은 치석이 차지하던 공간이 비었기 때문입니다. 원래 그만큼의 공간을 치석이 메우고 있었다는 뜻이에요.

스케일링 후에 이런 것이 보인다면, 원래 치석이 막고 있던 공간이 보이는 것입니다
방 청소에 비유하면 바닥에 쌓여 있던 짐을 치우니 방이 넓어 보이는 것과 같습니다. 이 상태가 오히려 건강한 상태입니다.
오해 4: "잇몸병은 입 안의 문제일 뿐이다"
"잇몸이 좀 안 좋은 거지, 몸 전체 건강이랑 무슨 상관이에요?"
이것이 가장 위험한 오해입니다. 치주질환의 세균과 염증 물질은 혈관을 타고 전신을 돌아다닙니다. 잇몸 속 만성 염증을
'꺼지지 않는 작은 불씨'에 비유할 수 있습니다. 입 안에서 조용히 타오르는 이 불씨가 혈관을 따라 온몸의 건강을 위협하는 셈입니다.

실제로 보고된 전신 영향은 다음과 같습니다.
심혈관질환 — 치주질환 환자는 심장병·뇌졸중 위험이 1.5~2배 증가한다는 연구 결과가 다수 있습니다. 구강 세균이 혈관 내벽에 염증을 유발하여 동맥경화를 촉진합니다.
당뇨병 — 치주질환과 당뇨는 '양방향 관계'입니다. 당뇨가 있으면 잇몸병이 악화되고, 잇몸병이 심하면 혈당 조절이 더 어려워집니다. 치주 치료 후 당화혈색소(HbA1c)가 개선되었다는 연구도 있습니다.
임신 합병증 — 치주질환이 있는 임산부는 조산, 저체중아 출산 위험이 높아질 수 있습니다. 임신 전·중 구강 관리가 특히 중요합니다.
기타 — 류마티스 관절염, 알츠하이머병, 폐렴 등과의 연관성도 지속적으로 연구·보고되고 있습니다.
잇몸 치료, 어떻게 진행되나요?
잇몸 치료는 '한 번에 끝나는 시술'이 아니라 '단계적 관리'라는 점이 핵심입니다.

1단계 – 스케일링 (치석 제거)
잇몸 위에 보이는 치석을 제거하는 가장 기본적인 치료입니다. 만 19세 이상 연 1회 건강보험 적용되며
본인 부담은 약 1~2만 원 수준입니다. 가장 기본이면서도 가장 중요한 예방적 치료입니다.
2단계 – 잇몸 밑 깊은 스케일링 (치근활택술)
잇몸 아래 치아 뿌리에 붙은 치석과 감염 조직을 제거합니다. 마취 후 진행하며 보통 24회에 나눠서 시행합니다. 치주낭 깊이 46mm인 중등도 치주염에 효과적입니다.
3단계 – 잇몸 수술 (치주수술)
깊은 스케일링으로도 개선되지 않는 깊은 치주낭이나 심한 뼈 손실 시 시행합니다. 잇몸을 열어 직접 보면서 치석 제거 및 골이식을 진행하기도 합니다. 심각한 치주염에 해당합니다.
4단계 – 유지관리 (정기 관리)
치료 후 3~6개월 간격의 정기 검진 및 관리입니다.
치주 치료의 진짜 성공은 '유지'에 달려 있습니다.
이런 분들은 특히 잇몸 검진이 필요합니다
양치 시 출혈이 반복되는 분
잇몸이 붓거나 들뜬 느낌이 있는 분
입 냄새가 심해진 분
치아가 예전보다 길어 보이는 분
당뇨·심혈관질환 등 전신 질환이 있는 분
흡연자
임신 중이거나 임신을 계획 중인 분
반대로, 치아가 이미 심하게 흔들리는 경우에는 무조건 살리는 것보다 발치 후 임플란트 등 대안을 고려하는 것이
오히려 주변 치아와 뼈를 보호하는 선택일 수 있습니다.
'어떤 치아를 살리고, 어떤 치아는 보내줘야 하는지'를 판단하는 것도 치주 치료의 중요한 부분입니다. 무조건 "다 살릴 수 있습니다"라고 말하는 곳은 한 번쯤 의심해 보시는 게 좋습니다.
"잇몸 치료는 한 번 받으면 끝이 아니라, 치과와 함께 유지해 나가는 것"

치주질환은 아프기 시작하면 이미 상당히 진행된 경우가 많습니다. 증상이 가벼울 때 치과를 찾으시는 것이
시간적으로도, 비용적으로도, 치아 보존 측면에서도 가장 현명한 선택입니다.^^
당신의 치아가 평생 함께할 수 있도록, 잇몸부터 건강하게 지켜드리겠습니다. 청담 치과, 세라믹 치과였습니다.
