아카이브 요약
이 페이지의 역할
세라믹치과의원의 네이버 블로그 원문을 보존한 아카이브 페이지입니다. 치아상식 카테고리의 치아부식과 심미성을 동시에 잡은 앞니 치료 (ft. 역류성 식도염) 글을 통해 병원의 한국어 정보 제공 방식과 진료 관련 안내 톤을 확인할 수 있습니다.
원문 검증
필요하면 원문 블로그와 병원 프로필로 바로 이동해 문맥을 다시 확인할 수 있습니다.
출처 아카이브 열기아카이브된 블로그 글
세라믹치과의원 · Naver Blog
치아부식이란 말, 들어보셨습니까? 안녕하세요 세라믹 치과 원장, 김선민입니다. 오늘은 조금 특별한 케이스를 소개해 드리려고 합니다. 역류성 식도염이라는 소화기 질환이 치아를 심각하게 손상시킬 수 있다는 사실, 알고 계셨습니까? 많은 분들이 역류성 식도염 하면 속쓰림이나 가슴 통증만 떠올리시는데, 사실 치아에도 큰 영향...
게시일
2026년 3월 8일
원문 기준으로 확인된 발행일입니다.
카테고리
치아상식
원문 블로그 카테고리를 정리해 함께 표시합니다.
이미지 수
13
현재 아카이브에 연결된 이미지 수입니다.
아카이브 요약
세라믹치과의원의 네이버 블로그 원문을 보존한 아카이브 페이지입니다. 치아상식 카테고리의 치아부식과 심미성을 동시에 잡은 앞니 치료 (ft. 역류성 식도염) 글을 통해 병원의 한국어 정보 제공 방식과 진료 관련 안내 톤을 확인할 수 있습니다.
원문 검증
필요하면 원문 블로그와 병원 프로필로 바로 이동해 문맥을 다시 확인할 수 있습니다.
출처 아카이브 열기치아부식이란 말, 들어보셨습니까?
안녕하세요 세라믹 치과 원장, 김선민입니다. 오늘은 조금 특별한 케이스를 소개해 드리려고 합니다. 역류성 식도염이라는 소화기 질환이 치아를 심각하게 손상시킬 수 있다는 사실, 알고 계셨습니까? 많은 분들이 역류성 식도염 하면 속쓰림이나 가슴 통증만 떠올리시는데, 사실 치아에도 큰 영향을 미칠 수 있습니다.
이번 글에서는 장기간 역류성 식도염을 앓아오신 30대 후반 여성 환자분의 사례를 통해, 위산이 치아를 어떻게 부식시키는지, 그리고 어떤 방법으로 치아를 살리면서도 심미성까지 챙겼는지 자세히 설명드리겠습니다.

치아부식: 역류성 식도염이 치아를 녹인다
역류성 식도염(GERD)은 위산이 식도를 타고 거꾸로 올라오는 만성 소화기 질환입니다. 그런데 이 위산이 식도를 넘어 입안까지 올라오게 되면, 치아에 직접적인 손상을 일으킬 수 있습니다. 이것을 치과에서는 '산부식(dental erosion)'이라고 부릅니다.

위산이 식도를 타고 역류하여 치아를 부식시키는 과정
여기서 흥미로운 점이 하나 있는데, 위산이 역류하거나 구토를 할 때, 혀가 아래쪽 치아를 자연스럽게 감싸면서 보호해줍니다. 그래서 아래쪽 치아는 상대적으로 덜 손상되지만, 윗 앞니의 뒷면(설면)은 산에 그대로 노출되어 선택적으로 부식이 일어나게 됩니다.

이런 산부식이 장기간 방치되면 어떻게 될까요? 처음에는 비교적 큰 영향이 없지만, 그냥 방치하면 결국 신경까지 침범되면 신경치료를 해야하는 일까지도 일어날 수 있습니다
그래서 조기 발견과 치료가 정말 중요합니다. 초기에 발견하면 비교적 간단한 치료로 치아를 보존할 수 있지만, 늦어지면 치료 범위가 훨씬 커질 수 있으니까요.
환자 소개
이번 환자분은 만 38세 여성으로, 윗 앞니의 색상을 개선하고 끝부분이 깨져서 가지런하게 만들고 싶다는 이유로 내원하셨습니다. 교정 치료는 원치 않으셨고, 라미네이트를 통한 심미 개선을 희망하고 계셨습니다. 즉 예뻐지고 싶다는 것이 주 이유였습니다.
그런데 진료 과정에서 중요한 사실이 확인되었습니다. 바로 장기간 역류성 식도염을 앓고 계신 상태였다는 거인데요, 이 부분이 치료 계획을 크게 바꾸는 핵심 요인이 되었습니다.
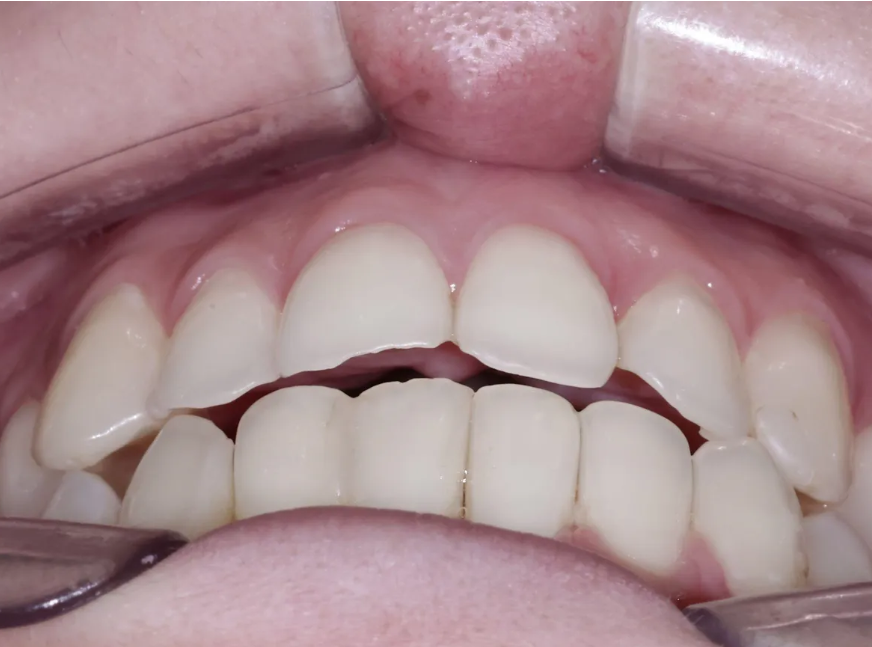
치료 전 - 앞면 관찰
처음 내원하셨을 때 앞에서 본 윗 앞니 상태를 살펴보겠습니다.

초진 사진 - 윗 앞니 끝부분이 비정상적으로 얇아지고 깨져있는 상태
가장 먼저 눈에 띄는 것은 윗 앞니 끝부분(절단면)이 비정상적으로 얇아져 있고, 군데 군데 깨져 있는 상태였습니다. 정상적인 앞니라면 어느 정도 두께가 유지되어야 하는데, 산부식으로 인해 치아가 안쪽에서부터 녹아들어가면서 종잇장처럼 얇아진 것입니다.

초진 사진 - 앞니 끝부분이 불균일하고, 오른쪽 위 송곳니가 돌출되어 있는 모습
절단면이 균일하지 않아서 심미적으로도 상당한 불균형이 보였습니다. 특히 오른쪽 위 송곳니가 다른 치아에 비해 돌출된 형태여서 전체적인 치열의 조화가 깨져 있었습니다.

초진 사진 - 부식으로 앞니가 극도로 얇아진 것이 확인됨
위 사진에서 보시면 부식으로 인해 앞니가 얼마나 얇아졌는지 확실히 확인할 수 있습니다. 전반적으로 치아 색상도 변색되어 있었고, 환자분이 심미적으로 불만족스러워하시는 것이 충분히 이해가 되는 상태였습니다.
초진 검사 소견 - 교합 및 설면 관찰

초진 교합 사진 - 윗 앞니가 아랫 앞니를 충분히 덮지 못하는 상태
교합을 확인해 보니 경미한 개방교합(open bite) 양상이 관찰되었습니다. 쉽게 말해서 윗 앞니가 아랫 앞니를 충분히 덮지 못하고 있는 상태입니다. 심미적으로 자연스러운 미소를 만들려면, 윗 앞니가 아랫 앞니를 최소 1mm 정도는 덮어주는 것이 좋습니다. 이를 위해 치아의 각도(치축) 개선이 필요했습니다.
그런데 정말 놀라운 건 치아 뒷면을 확인했을 때였어요.

윗 앞니 뒷면(설면)에서 광범위한 산부식이 관찰되었어요. 치아 뒷면의 거의 절반이 녹아서 없어진 상태였습니다. 역류성 식도염으로 인해 위산이 오랫동안 치아 뒷면을 공격해 온 결과였습니다. 상아질이 상당 부분 노출되어 있어서 이대로 더 진행되면 신경까지 손상될 수 있는 위험한 상황이었습니다.
치료 계획 수립
환자분은 처음에 라미네이트를 원하시고 내원하셨어요. 라미네이트는 치아의 앞면만 얇게 덮어주는 보철이라 심미 개선에는 좋은 방법이에요.
하지만 이 환자분의 경우, 문제는 치아 앞면이 아니라 뒷면(설면)의 심각한 산부식이었어요.

라미네이트(왼쪽)와 크라운(오른쪽)의 차이: 치아를 감싸는 범위가 달라요
| | 라미네이트 | 올세라믹 크라운 |
|---|---|---|
| 덮는 범위 | 치아 앞면만 | 치아 전체(앞면 + 뒷면) |
| 산부식 방지 | ❌ 뒷면은 노출 | ✅ 뒷면까지 보호 |
| 심미 개선 | ✅ 우수 | ✅ 우수 |
| 이 환자에게 적합? | ❌ 부적합 | ✅ 적합 |
라미네이트로는 앞면만 예쁘게 만들어 줄 수 있을 뿐, 뒷면에서 계속 진행되는 산부식을 막을 수 없습니다. 그래서 저는 환자분께 설면까지 완전히 감싸는 올세라믹 크라운(전부도재관)으로 치료 방법을 변경하시는 것을 권유드렸습니다.
최종적으로 결정된 치료 계획은 다음과 같아요:
위 앞니 8개(좌우 송곳니·작은앞니·앞니 총 8개)를 올세라믹 크라운으로 수복
신경치료 없이
개방교합 해결 - 윗 앞니가 아랫 앞니를 약 1mm 덮도록 설계
오른쪽 위 송곳니의 돌출 형태 개선 및 절단면 균일화
즉 신경치료 없이 치아의 생활력을 그대로 살려두면서, 크라운으로 치아 전체를 감싸 추가적인 산부식을 방지하고, 동시에 심미적 개선까지 이룰 수 있는 계획이었습니다.
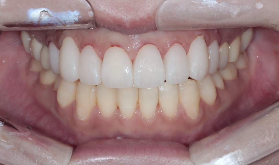
시술 결과 - 보철물 부착 후
8개 앞니에 올세라믹 크라운을 부착한 후의 결과를 보여드리겠습니다.

8전치 올세라믹 크라운 부착 직후
부착 직후 사진을 보시면, 잇몸과 보철물의 경계가 자연스럽게 이어지고 주변 잇몸 상태도 안정적인 것을 확인할 수 있습니다. 절단면이 균일하고 가지런하게 정리되었고, 이전에 돌출되어 있던 오른쪽 위 송곳니도 자연스러운 치열 배열을 이루게 되었습니다.

윗 앞니가 아랫 앞니를 약 1mm 덮는 정상적인 교합 형성
교합을 확인해 보면, 치료 전에는 윗 앞니가 아랫 앞니를 충분히 덮지 못했는데, 이제는 약 1mm 정도 자연스럽게 덮어주는 정상적인 교합이 형성된 것을 볼 수 있고, 교합 안정성도 양호하게 유지되고 있습니다.

무엇보다 환자분의 스마일 라인이 확실히 개선되었습니다. 웃을 때 치열이 가지런하고 자연스러운 곡선을 이루면서, 전체적인 인상이 훨씬 깔끔하고 밝아지셨습니다.
Before & After 비교 요약
치료 전후를 한눈에 비교해 볼게요.
| 항목 | Before (치료 전) | After (치료 후) |
|---|---|---|
| 절단면 상태 | 파절·얇아짐 | 균일하고 가지런함 |
| 치아 뒷면(설면) | 광범위한 산부식 (절반 소실) | 크라운으로 완전 보호 |
| 치아 색상 | 변색됨 | 자연스러운 밝은 색상 |
| 교합 상태 | 개방교합 양상 | 정상 교합 (약 1mm 피개) |
| 오른쪽 위 송곳니 | 돌출 형태 | 조화로운 배열 |
| 신경 상태 | 위험 (상아질 노출) | 생활치 보존 성공 |
이 케이스에서 가장 의미 있는 점은 심미적 개선과 치아 보존이라는 두 가지 목표를 동시에 달성했다는 것입니다. 환자분은 예쁜 앞니를 원하셨고, 저는 거기에 더해서 위산으로부터 치아를 보호하는 것까지 해결해 드릴 수 있었습니다. 신경치료 없이 생활치 상태를 유지한 것도 치아의 장기적인 건강을 위해 매우 긍정적인 결과였다고 할 수 있습니다.
치아도 지키고 미소도 예뻐졌던 케이스
환자분께서는 처음엔 그저 앞니를 예쁘게 개선하고 싶어서 내원하셨는데, 정밀 검진을 해보니, 역류성 식도염 때문에 앞니 8개의 안쪽 면(설면)에 심각하게 치아 부식이 진행되고 있었던 경우였습니다.
이미 치아 내부(상아질)가 상당 부분 녹아내린 상태라, 여기서 조금만 더 방치했다면 신경까지 손상돼서 신경치료처럼 훨씬 복잡하고 힘든 치료가 필요할 뻔 하였습니다. 다행히 너무 늦지 않게 방문해 주신 덕분에 치아를 건강하게 더 오래 쓰실 수 있게 지켜드리면서, 원래 원하셨던 심미적인 고민까지 한 번에 해결해 드릴 수 있었던 뜻깊은 케이스입니다.
역류성 식도염이 있거나 다른 이유로 잦은 구토를 겪으시는 분들은 강한 위산 때문에 자신도 모르는 사이에 치아가 손상될 위험이 아주 큽니다. 혹시 비슷한 증상이 있으시다면 더 늦기 전에 꼭 치과에 오셔서 치아 상태를 점검해 보시길 권해드리겠습니다.
언제나 치아에 대해 궁금한 것이 있으시다면 문의해주세요. 이상 세라믹치과 대표원장 김선민이었습니다.
