아카이브 요약
이 페이지의 역할
세라믹치과의원의 네이버 블로그 원문을 보존한 아카이브 페이지입니다. 치아교정 전후 카테고리의 돌출입 교정 전후, 그런데 과개교합까지 있으셨던 환자분 글을 통해 병원의 한국어 정보 제공 방식과 진료 관련 안내 톤을 확인할 수 있습니다.
원문 검증
필요하면 원문 블로그와 병원 프로필로 바로 이동해 문맥을 다시 확인할 수 있습니다.
출처 아카이브 열기아카이브된 블로그 글
세라믹치과의원 · Naver Blog
안녕하세요, 세라믹치과 대표원장 김선민입니다. 오늘은 돌출입 하나를 고치러 오셨다가 생각보다 훨씬 복잡한 문제들이 발견된 24세 남성 환자분의 교정 케이스를 소개해 드리려고 합니다. 돌출입은 물론이고 한쪽이 아예 안 물리는 교합 불량, 치아가 비정상적으로 내려온 정출, 과개교합, 충치, 이미 빠진 치아까지… 정말 복합...
게시일
2026년 3월 10일
원문 기준으로 확인된 발행일입니다.
카테고리
치아교정 전후
원문 블로그 카테고리를 정리해 함께 표시합니다.
이미지 수
23
현재 아카이브에 연결된 이미지 수입니다.
아카이브 요약
세라믹치과의원의 네이버 블로그 원문을 보존한 아카이브 페이지입니다. 치아교정 전후 카테고리의 돌출입 교정 전후, 그런데 과개교합까지 있으셨던 환자분 글을 통해 병원의 한국어 정보 제공 방식과 진료 관련 안내 톤을 확인할 수 있습니다.
원문 검증
필요하면 원문 블로그와 병원 프로필로 바로 이동해 문맥을 다시 확인할 수 있습니다.
출처 아카이브 열기안녕하세요, 세라믹치과 대표원장 김선민입니다.
오늘은 돌출입 하나를 고치러 오셨다가 생각보다 훨씬 복잡한 문제들이 발견된 24세 남성 환자분의 교정 케이스를 소개해 드리려고 합니다. 돌출입은 물론이고 한쪽이 아예 안 물리는 교합 불량, 치아가 비정상적으로 내려온 정출, 과개교합, 충치, 이미 빠진 치아까지… 정말 복합적인 문제들이 숨어 있었던 케이스였습니다.
단순히 앞니만 넣는다고 되는 케이스가 아니었기 때문에, 진단부터 치료 완료까지의 전 과정을 꼼꼼하게 정리해 보았습니다. 교정 치료를 고민하고 계신 분들께 도움이 되셨으면 좋겠습니다.

돌출입 때문에 오셨는데, 문제는 그것만이 아니었습니다
이 환자분은 24세 남성으로, 돌출입을 개선하고 싶다는 이유로 내원하셨습니다. 입이 앞으로 나와 보이는 게 오래전부터 신경 쓰이셨다고 하셨습니다.
그런데 검진을 시작하자마자, 돌출입 외에도 여러 가지 문제들이 눈에 들어왔습니다. 오른쪽이 아예 물리지 않는 교합 불량, 어금니가 비정상적으로 내려온 상태(정출), 위아래 앞니가 너무 깊게 물리는 과개교합, 심한 충치, 그리고 이미 빠져 있는 치아까지. 단순 돌출입 교정이 아닌, 종합적인 교정 치료가 반드시 필요한 케이스였습니다.

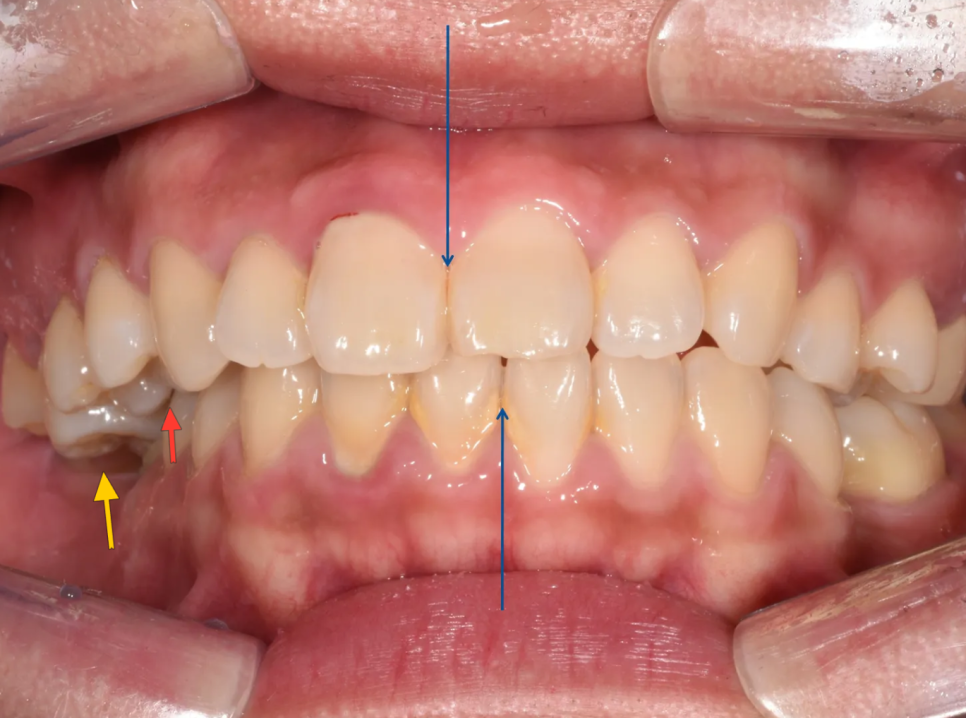
위 어금니가 내려와있어서(노랑), 오른쪽은 이가 안 물리고 있고(빨강), 당연히 앞니의 중심선도 안맞습니다(파랑).
진단 ① – 오른쪽 교합 문제: 정출된 어금니와 편위된 턱
가장 먼저 눈에 띈 문제는 오른쪽 위 첫째 어금니였습니다. 이 치아가 아래쪽 치아와 제대로 물리지 않다 보니, 점점 아래로 내려와 있었던 것입니다. 이런 현상을 '정출'이라고 합니다.
정출이란?
맞물리는 치아(대합치)가 없거나 교합이 제대로 이뤄지지 않으면, 치아가 반대쪽을 향해 쭉 자라나듯 이동하는 현상

충치가 생기면서 위 어금니가 쉽게 정출된(내려온) 모습
문제는 이 내려온 어금니가 교합 간섭을 일으킨다는 점이었습니다. 입을 다물 때 이 치아가 먼저 부딪히니까(간섭), 환자분은 자연스럽게 아래턱을 왼쪽으로 틀어서 물 수밖에 없었습니다. 이런 것을 '하악 편위'라고 하는데, 다행히 턱관절 자체에 큰 이상은 없었지만 이런 상태가 오래 계속되면 턱관절 장애로 이어질 위험까지 있습니다.

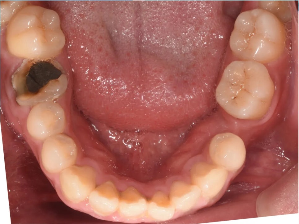
아래쪽 오른쪽에는 심한 충치, 반대쪽에는 이미 치아가 빠져 있는 상태
추가적으로, 아래쪽 오른쪽 첫째 어금니에는 심한 충치가 있었고, 반대쪽(왼쪽) 아래 두 번째 작은어금니는 이미 빠진 상태(결손)였습니다. 충치로 인해 치아 높이가 낮아지면서 위 어금니가 더 빨리 정출되었고, 결손 부위에서는 인접 치아가 빈 공간 쪽으로 쓰러져 있었습니다. 아래 사진을 보시면 이 모든 이유 때문에 결국 환자분이 아래턱을 틀어 물고 있는 것도 확인해보실 수 있습니다.

아래턱을 약간 왼쪽(→)으로 물고 있는 것이 보이십니까?
진단 ② – 돌출입과 과개교합
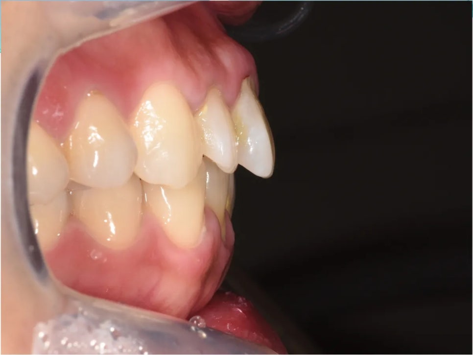
환자분이 가장 걱정하셨던 돌출입 역시 실제로 확인되었습니다. 옆에서 보면 위아래 앞니가 모두 앞쪽으로 기울어져 입이 돌출되어 보이는 상태였습니다.

측면에서 확인한 돌출입 상태
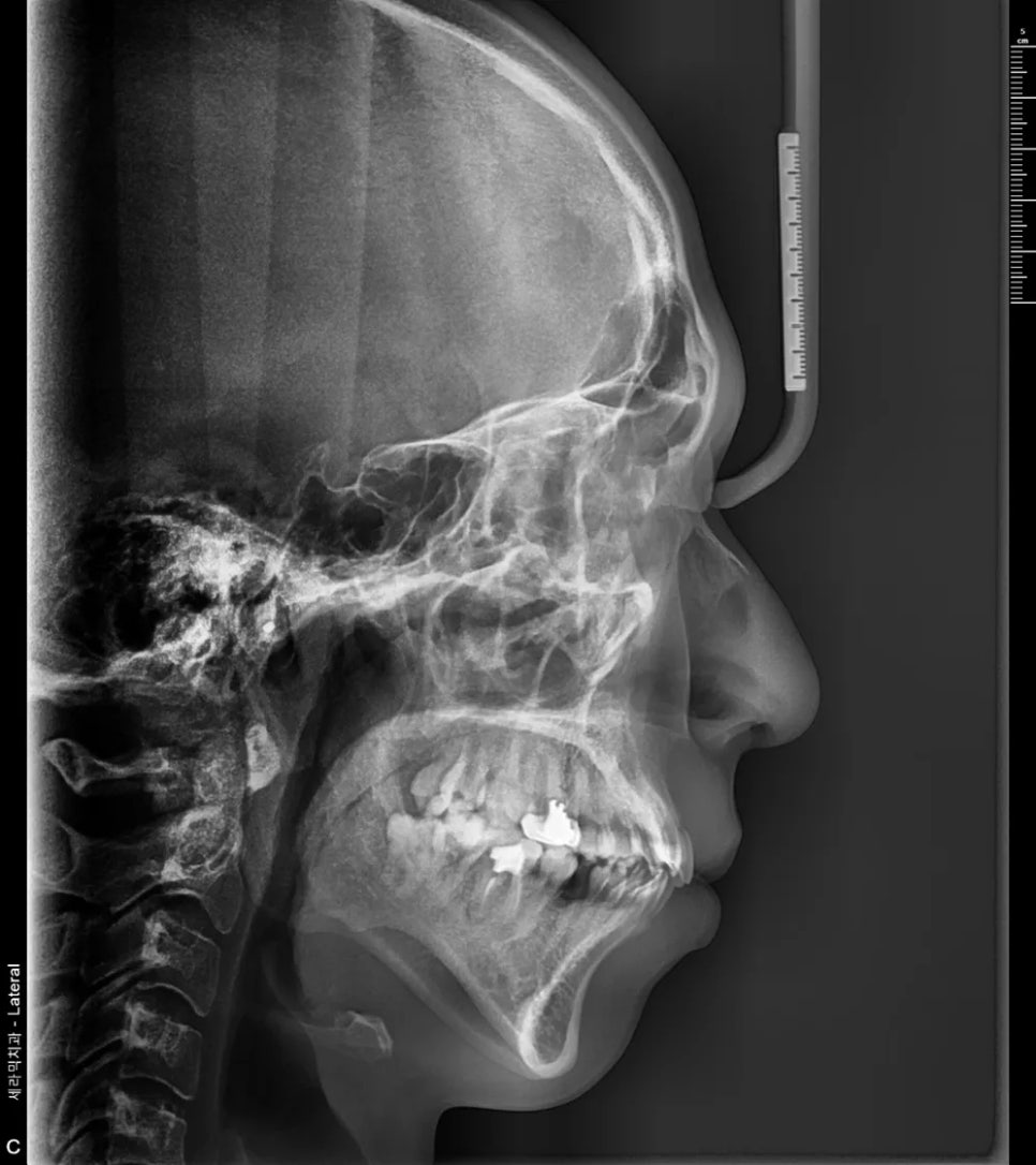
그런데 정밀 분석(세팔로 분석)을 해보니, 흥미로운 점이 발견되었습니다. 돌출입이 맞긴 하지만, 아래턱 자체가 워낙 작은 편이라 돌출이 실제보다 더 강조되어 보이는 측면도 있었던 것입니다. 이런 부분은 정밀 검사를 하지 않으면 알기 어렵고, 치료 계획을 세울 때 매우 중요한 정보가 됩니다.

세팔로(측면 두부 방사선) 분석 – 돌출입이 맞지만, 작은 아래턱이 돌출을 더 강조하고 있습니다
여기에 과개교합(deep bite)까지 동반되어 있었습니다. 과개교합이란 위아래 앞니가 물리는 깊이가 지나치게 깊은 상태를 말합니다. 정상적으로는 윗니가 아랫니를 약 2mm 정도 덮는 게 좋은데, 이 환자분은 그 이상으로 깊게 물리고 있었습니다. 돌출입과 어금니 교합 불량이라는 큰 문제에 가려져 간과되기 쉬웠지만, 반드시 함께 치료해야 하는 부분이라고 할 수 있습니다.

과개교합 – 위아래 앞니가 물리는 깊이가 과도하게 깊은 상태
정리하면, 이 환자분의 진단 결과는 다음과 같습니다:
| 문제 | 상세 내용 |
|---|---|
| 돌출입 | 위아래 앞니가 앞으로 기울어진 상태 + 작은 아래턱이 돌출을 강조 |
| 오른쪽 교합 불량 | 위 첫째 어금니 정출 → 한쪽이 안 물림 → 턱이 왼쪽으로 편위 |
| 과개교합 | 위아래 앞니가 너무 깊게 물림 |
| 충치 | 아래 오른쪽 첫째 어금니에 심한 충치 |
| 결손치 | 아래 왼쪽 두 번째 작은어금니 이미 상실 |
치료 계획 – 발치교정 + 미니스크류
여러 문제를 한꺼번에 해결해야 했기 때문에, 치료 계획도 그만큼 세밀하게 세워야 했습니다. 치료 목표와 구체적인 계획을 정리하면 다음과 같습니다.
치료 목표:
돌출입 개선
정출된 위 오른쪽 첫째 어금니를 원래 위치로 밀어넣기(함입)
과개교합 개선
치아 배열 정리
양쪽 어금니 교합 형성
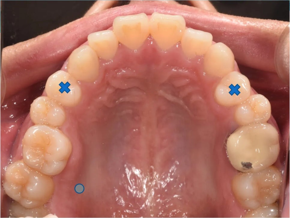
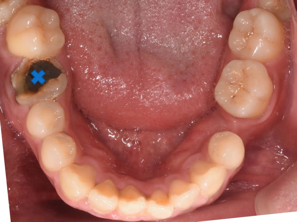
발치 계획:
| 발치 대상 | 이유 |
|---|---|
| 위 오른쪽 첫 번째 작은어금니 | 돌출입 개선을 위한 공간 확보 |
| 위 왼쪽 첫 번째 작은어금니 | 돌출입 개선을 위한 공간 확보 |
| 아래 오른쪽 첫째 어금니 | 충치가 너무 심해서 보존이 어려움. (통상 교정시 빼는 작은어금니 대신 발치.) |
아래 왼쪽은 이미 두 번째 작은어금니가 빠져 있기 때문에 추가 발치가 필요 없었습니다. 결과적으로 위 2개, 아래 1개 발치 + 기존 결손 1개 = 총 4개 공간을 활용하는 계획이었습니다.

위쪽 계획 – 양쪽 첫 번째 작은어금니 2개 발치

아래쪽 계획 – 충치가 심한 어금니를 발치하고, 반대쪽은 이미 빠진 공간을 활용
핵심 도구는 미니스크류(TAD)였습니다. 미니스크류란 잇몸뼈에 심는 아주 작은 나사로, 교정에서 절대적인 고정원 역할을 합니다. 정출된 어금니를 뼈 속으로 밀어넣거나, 앞니를 뒤로 확실하게 당기는 데 꼭 필요한 장치입니다. 이 환자분의 경우 바깥쪽과 안쪽에 총 2개의 스크류를 계획했습니다.

옆에서 본 치료 계획 – 발치 위치, 어금니 함입 방향, 스크류 위치가 회색으로 표시되어 있음.
치료 과정 ① – 정출된 어금니 함입
교정 치료 초반, 가장 먼저 착수한 건 정출된 위 오른쪽 첫째 어금니를 제자리로 밀어넣는 작업이었습니다. 이 어금니가 내려와 있는 한 오른쪽 교합을 절대 정상으로 만들 수 없습니다.
미니스크류를 고정원으로 삼아, 정출된 어금니에 함입력(위로 밀어넣는 힘)을 가했습니다. 함입이란, 뼈 속으로 치아를 밀어넣는 이동을 말합니다. 사실 함입은 교정에서 가장 어려운 치아 이동 중 하나입니다. 미니스크류 같은 현대적인 도구가 없었다면 이 정도의 함입은 매우 힘들었을 것입니다.


이렇게 미니스크류에서 힘을 걸어 어금니를 뼈 속으로 밀어넣습니다
한편, 반대쪽(왼쪽 아래)도 작업이 필요했습니다. 두 번째 작은어금니가 빠진 자리 옆의 치아들이 빈 공간 쪽으로 상당히 쓰러져 있었기 때문입니다. 이 치아들을 똑바로 세우는 작업도 동시에 진행하였습니다.

치아가 빠진 부위의 인접 치아가 상당히 쓰러져 있어, 세워주는 작업이 필요했습니다.
치료 과정 ② – 함입 완료 후 돌출입 개선
시간이 지나면서 위 오른쪽 첫째 어금니의 함입이 상당 부분 진행되었습니다. 교합면이 거의 평탄해졌고, 물리는 깊이도 정상에 가까워졌습니다. 처음 상태와 비교하면 정말 큰 변화인 것 같습니다.

함입이 상당히 진행되어 교합면이 거의 평탄해졌고, 물리는 깊이도 정상에 가까워진 모습
하지만 아직 돌출입 개선은 남아 있습니다. 위 앞니가 여전히 앞쪽으로 많이 나와 있는 상태였기 때문에, 발치해서 만든 공간으로 앞니를 뒤쪽으로 바짝 당겨주는 작업을 본격적으로 진행하였습니다.

위 앞니는 아직 앞으로 많이 나와 있어, 뒤쪽으로 이동시켜야 합니다.
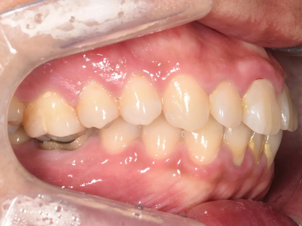
동시에, 정출되면서 바깥쪽(볼 쪽)으로 빠져나가 있던 어금니를 안쪽(입천장 쪽)으로 당기는 작업도 진행하였습니다. 어금니가 제자리에 정확히 위치해야 아래 치아와 정상적으로 맞물릴 수 있기 때문입니다.

정출되면서 바깥쪽으로 빠져나갔던 어금니를 안쪽으로 당겨주는 과정
이때 한 가지 세심한 처치가 필요했습니다. 어금니를 안쪽으로 움직이는 과정에서 아랫니와 간섭(부딪힘)이 생길 수 있기때문에, 반대쪽 치아에 '바이트 플레인(bite plane)'이라는 장치를 만들어주었습니다.
바이트 플레인이란?
치아 위에 붙이는 플라스틱 블록으로, 특정 치아끼리 닿지 않도록 교합 높이를 일시적으로 올려주는 장치입니다

반대쪽에 바이트 플레인을 만들어 일시적으로 끝까지 못 물게 해줘, 교합 간섭을 방지합니다
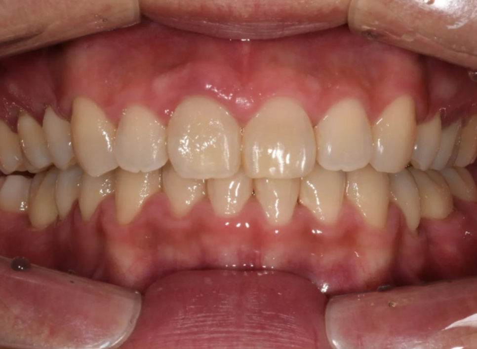
치료 완료 – 돌출입 개선, 정상 교합 형성, 가지런한 치열
드디어 교정 장치를 제거하고 최종 결과를 확인하였습니다.
치열이 정말 가지런하게 배열되었고, 환자분이 가장 원하셨던 돌출입도 예쁘게 개선되었습니다. 옆모습이 크게 달라졌습니다.


무엇보다 중요한 건, 오른쪽 교합이 정상적으로 물리게 되었다는 점이라고 할 수 있습니다. 턱을 왼쪽으로 틀어서 물어야 했던 불편함이 해소됐고, 과개교합도 개선되어 위아래 앞니가 물리는 깊이가 정상 범위로 돌아왔습니다.

편하게 무는 모습이 느껴지십니까?
처음에 돌출입 하나로 오셨지만, 종합적인 진단을 통해 교합(기능) + 심미성 + 장기적 건강 모두를 개선할 수 있었던 케이스였습니다.
| 항목 | 치료 전 | 치료 후 |
|---|---|---|
| 돌출입 | 위아래 앞니 전방 돌출 | 앞니가 안쪽으로 들어가 옆모습 개선 |
| 오른쪽 교합 | 아예 안 물림(정출로 인한 간섭) | 정상적으로 물림 |
| 턱 편위 | 왼쪽으로 틀어서 물어야 함 | 해소 |
| 과개교합 | 앞니가 과도하게 깊게 물림 | 정상 범위로 개선 |
| 치열 | 불규칙, 쓰러진 치아 있음 | 가지런하게 배열 |
종합 진단의 중요성

이 케이스를 통해 몇 가지 드리고 싶은 말씀이 있습니다.
첫째, 환자분이 느끼는 문제가 전부가 아닐 수 있습니다. 이 환자분은 돌출입만 인지하고 오셨지만, 실제로는 정출·교합 불량·과개교합·결손치까지 복합적인 문제가 숨어 있었습니다. 그래서 교정 전 정밀 검사(세팔로, 파노라마, 구내 사진 등)를 통한 종합 진단이 중요합니다.
둘째, 교정 치료의 본질은 '교합'입니다. 치아를 가지런히 하는 것도 중요하지만, 진짜 핵심은 위아래 치아가 정상적으로 맞물려 씹는 기능이 제대로 이루어지도록 하는 것입니다. 이번 케이스에서도 단순히 앞니만 넣는 교정이었다면, 오른쪽은 여전히 안 물리고 턱은 계속 틀어졌을 것입니다. 턱관절 질환이 생겼을 가능성도 배제할 수 없습니다.
셋째, 미니스크류(TAD) 같은 현대 교정 도구 덕분에 가능해진 치료가 많습니다. 과거에는 어금니를 뼈 속으로 밀어넣는 함입 같은 이동이 매우 어려웠습니다. 하지만 지금은 미니스크류를 활용해 훨씬 효과적이고 예측 가능한 치료가 가능해졌죠.
마지막으로, 치아가 빠진 채로 오래 방치하면 연쇄적인 문제가 생긴다는 점을 꼭 기억해 주시기 바랍니다. 인접 치아가 빈 공간 쪽으로 쓰러지고, 맞물리는 치아는 정출되고… 이런 연쇄 반응이 교합 전체를 무너뜨릴 수 있습니다. 치아가 빠졌다면 최대한 빨리 치료받으시는 것을 권해 드립니다.
궁금한 점이 있으시면 언제든 편하게 상담 문의 부탁드립니다. 감사합니다!
