아카이브 요약
이 페이지의 역할
세라믹치과의원의 네이버 블로그 원문을 보존한 아카이브 페이지입니다. 세라네이트 카테고리의 학동역 라미네이트 전후, 치아 모양과 색상 개선 사례 글을 통해 병원의 한국어 정보 제공 방식과 진료 관련 안내 톤을 확인할 수 있습니다.
원문 검증
필요하면 원문 블로그와 병원 프로필로 바로 이동해 문맥을 다시 확인할 수 있습니다.
출처 아카이브 열기아카이브된 블로그 글
세라믹치과의원 · Naver Blog
안녕하세요, 학동역 라미네이트 치과, 세라믹치과의 대표원장 김선민입니다. 오늘은 치아 모양과 색상을 동시에 개선한 라미네이트 케이스를 소개해 드리려고 합니다. 치아가 누렇고 모양이 고르지 않아서 자신 있게 웃지 못하셨던 30대 여성 환자분의 이야기인데요. 위아래 앞니 전체를 라미네이트로 심미 개선한 사례를 치료 전후...
게시일
2026년 3월 12일
원문 기준으로 확인된 발행일입니다.
카테고리
세라네이트
원문 블로그 카테고리를 정리해 함께 표시합니다.
이미지 수
14
현재 아카이브에 연결된 이미지 수입니다.
아카이브 요약
세라믹치과의원의 네이버 블로그 원문을 보존한 아카이브 페이지입니다. 세라네이트 카테고리의 학동역 라미네이트 전후, 치아 모양과 색상 개선 사례 글을 통해 병원의 한국어 정보 제공 방식과 진료 관련 안내 톤을 확인할 수 있습니다.
원문 검증
필요하면 원문 블로그와 병원 프로필로 바로 이동해 문맥을 다시 확인할 수 있습니다.
출처 아카이브 열기안녕하세요, 학동역 라미네이트 치과, 세라믹치과의 대표원장 김선민입니다.
오늘은 치아 모양과 색상을 동시에 개선한 라미네이트 케이스를 소개해 드리려고 합니다. 치아가 누렇고 모양이 고르지 않아서 자신 있게 웃지 못하셨던 30대 여성 환자분의 이야기인데요. 위아래 앞니 전체를 라미네이트로 심미 개선한 사례를 치료 전후 비교와 함께 자세히 보여드리겠습니다.

치아 콤플렉스, 라미네이트로 해결할 수 있을까?
모양도 색상도 다 바꾸고 싶어요.
이 환자분이 처음 내원하셨을 때 하신 말씀입니다. 전체적으로 누런 색상에 레진 수복 흔적이 여기저기 보이고, 치아 형태도 고르지 않아 오랫동안 웃는 것이 불편하셨다고 합니다.
이런 경우 라미네이트 시술이 가장 효과적인 해결책이 될 수 있습니다. 치아 앞면에 얇은 세라믹 조각을 부착하여 색상, 형태, 비율을 한 번에 개선할 수 있기 때문입니다. 다만 이 환자분의 경우 단순한 케이스가 아니라 여러 가지 복합적인 문제가 있었기에, 꼼꼼한 분석과 정밀한 치료 계획이 필요했습니다.
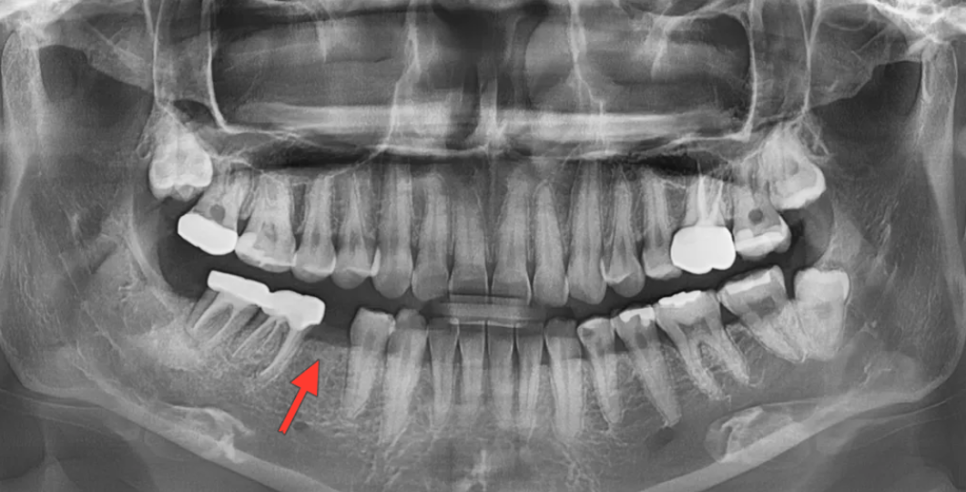
초진 검사 – 파노라마 및 안모 분석
치료를 시작하기 전, 먼저 파노라마 엑스레이와 안모(얼굴) 사진을 촬영하여 전반적인 구강 상태와 얼굴 비율을 분석했습니다.

오른쪽 아래 두 번째 작은어금니가 없으셨음
환자분은 오른쪽 아래 두번째 작은어금니가 빠져 있는 상태였고, 왼쪽 아래 두번째 작은어금니에는 인레이가 수복되어 있었습니다. 그 외에도 왼쪽 위 첫번째 큰어금니, 오른쪽 아래 첫번째·두번째 큰어금니에 신경치료 후 크라운이 씌워져 있었고, 양쪽 위·아래로 매복 사랑니가 확인되었습니다.

안모 분석 결과, 계란형 얼굴에 하안면이 작은 동안형이셨습니다. 웃을 때 윗니는 평균적인 수준으로 노출되었고, 아랫니는 왼쪽 송곳니까지 보이는 정도였습니다. 상대적으로 입 크기가 작은 편이라 스마일 디자인 시 이 부분을 특별히 고려해야 했습니다.
이러한 분석을 종합하여 시술 범위를 윗니는 오른쪽 첫번째 작은어금니부터 왼쪽 첫번째 작은어금니까지, 아랫니는 왼쪽 송곳니부터 오른쪽 첫번째 작은어금니까지로 결정했습니다.
초진 구내 분석 – 다양한 문제점 확인
이제 본격적으로 입 안 상태를 자세히 살펴보겠습니다. 구내사진을 통해 확인된 문제점이 상당히 많았습니다.
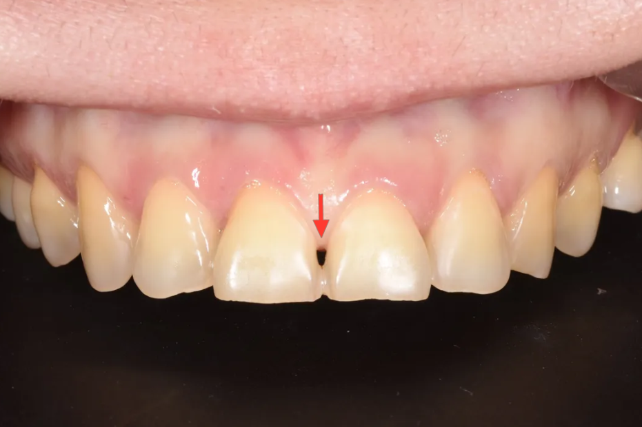
윗니 앞니 부분의 문제점

레진 수복 흔적, 색상 문제, 치아 사이 검은 삼각형, 잇몸 비대칭
가장 눈에 띄는 문제는 앞면이 레진으로 수복되어 있는 상태였습니다. 아무래도 보기에 깔끔하지가 못하였고, 치아 전체적으로도 누런 색상(Yellowish)이 심했습니다. 또한 아래위 모두 앞니 사이에 뚫린 공간이 보였고("블랙 트라이앵글"), 뿌리쪽 부분이 심하게 파여 있었어요. 잇몸의 위치도 좌우가 비대칭적이었습니다.

아래에서 보니 아래위 앞니가 상당히 긴밀하게 물리고 있었습니다.
또한 가운데 앞니 두 개가 앞으로 돌출되어 있었는데, 특히 바깥쪽이 더 밖으로 나오면서 소위 '나비이빨' 형태를 보이고 있었습니다.


(1) 윗니 안쪽면의 마모 (2)나비이빨 형태 재확인.
윗니 안쪽(혀 쪽) 면을 보면 치아가 상당히 닳아서 치질이 많이 소실된 상태였습니다. 이는 화학적 침식이나 마모에 의한 것으로 추정되며, 이 부분이 이번 치료 계획에서 가장 중요하게 고려해야 할 사항이었습니다.

윗니 클로즈업 – 앞면 레진 수복 흔적, 누런 색상, 잇몸 라인 불균형
가운데 앞니 두 개와 왼쪽 옆 앞니의 잇몸 라인도 불균형하여 비심미적이었고, 가운데 앞니 사이에는 검은 삼각형(Black Triangle)이라 불리는 빈 공간이 보였습니다.
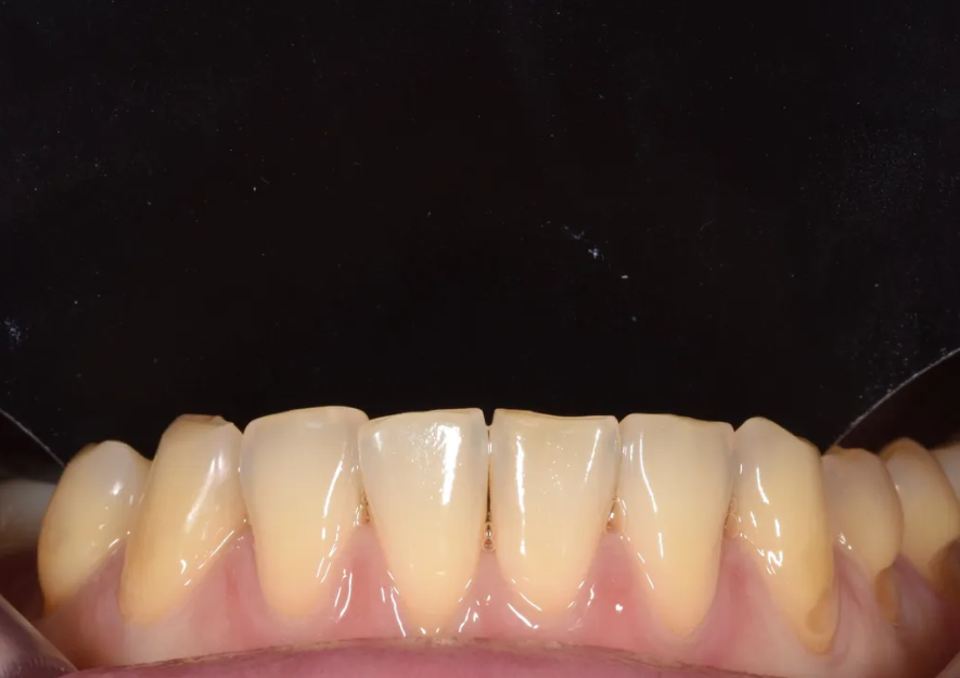
아랫니 앞니 부분의 문제점

오른쪽 앞니 부분 삐뚤어짐, 가운데 앞니 벌어짐
아랫니 쪽도 문제가 여럿 있었습니다. 오른쪽 앞니 두 개가 살짝 삐뚤어져 있었고, 가운데 아랫 앞니 사이에는 벌어진 공간이 있었습니다. 왼쪽 송곳니부터 두번째 작은어금니까지는 잇몸 경계 부위가 마모(치경부 마모)되어 있는 상태였습니다.
이 외에도 위아래 정중선(치아 가운데 라인)이 서로 일치하지 않았고, 위아래 앞니의 교합이 상당히 긴밀한 상태여서 이 역시 치료 시 고려가 필요했습니다.
종합하면 이 환자분의 문제점을 정리하면 다음과 같습니다:
| 부위 | 문제점 |
|---|---|
| 윗니 전체 | 누런 색상, 광범위한 레진 수복으로 인한 비심미적 외관 |
| 가운데 앞니(위) | 앞으로 돌출, 절단면 교모, 나비이빨 형태, 치아 사이 검은 삼각형 |
| 윗니 안쪽면 | 침식/마모로 인한 치질 소실 상당 |
| 잇몸(위) | 가운데 앞니·왼쪽 옆 앞니 잇몸 라인 불균형 |
| 아랫니 앞니 | 삐뚤어짐, 가운데 벌어짐 |
| 아랫니 왼쪽 | 송곳니~작은어금니 잇몸 경계 마모 |
| 전체 | 위아래 정중선 불일치 |
치료 계획 수립
여러 가지 문제점을 확인한 후, 이 환자분에게 가장 적합한 치료 전략을 세웠습니다. 가장 핵심적인 원칙은 바로 "필요 없는 치아 삭제는 하지 않는다" 였습니다.
왜 치아삭제를 방지하는 것이 이 케이스에서 특히 중요했을까요? 앞서 말씀드린 것처럼 윗니 안쪽면의 치질이 이미 많이 닳아서 소실된 상태였기 때문입니다. 이 상황에서 앞면까지 많이 깎게 되면 남아 있는 치아 두께가 너무 얇아져 신경치료가 필요해질 위험이 높아집니다. 따라서 치아의 생활력(신경)을 보존하는 것을 최우선으로 고려하여야 했습니다.
이번 케이스의 치료 계획을 정리하면 다음과 같습니다:
가운데 앞니 돌출 해소 – 돌출된 두 개 앞니는 적정 수준 삭제하여 자연스러운 정렬 구현
잇몸성형(잇몸 다듬기) 병행 – 가운데 앞니·왼쪽 옆 앞니의 불균형한 잇몸 라인 개선
공간 폐쇄 – 윗 앞니 사이 검은 삼각형과 아래 앞니 사이 벌어진 공간을 라미네이트 형태로 자연스럽게 메우기
잇몸 경계 마모 수복 – 왼쪽 아래 송곳니~작은어금니의 마모 부위를 세라믹 레진 필링으로 동시 치료
기존 보철물 고려 – 왼쪽 아래 두번째 작은어금니의 기존 인레이와 라미네이트 경계가 겹치지 않도록 정밀 설계
단계적 접근 – 웃을 때 잘 보이지 않는 왼쪽 아래 작은어금니 두 개는 우선 제외 후, 환자분 희망 시 추가 진행
최종 시술 범위는 윗니 9개(오른쪽 첫번째 작은어금니~왼쪽 첫번째 작은어금니), 아랫니는 처음 6개에서 추후 2개를 추가하여 총 8개로 진행되었습니다.
환자 희망 스타일 상담 – 맞춤형 스마일 디자인
라미네이트는 기성품이 아닌 환자분 한 분 한 분에 맞춰 맞춤 제작하는 시술입니다. 그래서 사전 상담이 매우 중요합니다.
이 환자분께서는 상담 시 원하시는 스타일의 레퍼런스 사진을 공유해 주셨습니다.

사진을 토대로 판단해볼 때, 환자분이 원하신 것은 밝고 새하얀 톤에 가지런하고 균형 잡힌 치아 형태였습니다. 이 레퍼런스를 기반으로 환자분의 얼굴형, 입 크기, 웃을 때 치아가 보이는 범위 등을 종합적으로 고려하여 스마일 디자인을 설계했습니다.
중요한 것은 단순히 레퍼런스 사진을 그대로 따라 하는 것이 아니라, 환자분 고유의 얼굴 비율과 특성에 맞게 조화롭고 자연스럽게 디자인하는 것입니다. 형태, 비율, 색상을 이상적으로 맞추되 인위적이지 않은 자연스러움을 유지하는 것이 목표였습니다.
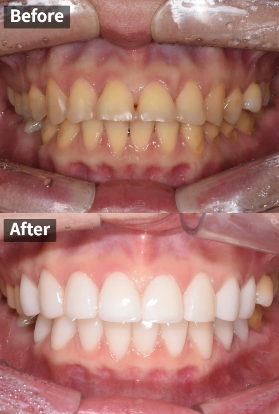
치료 결과 – Before & After
그럼 이제 가장 기다리셨을 치료 결과를 보여드리겠습니다.
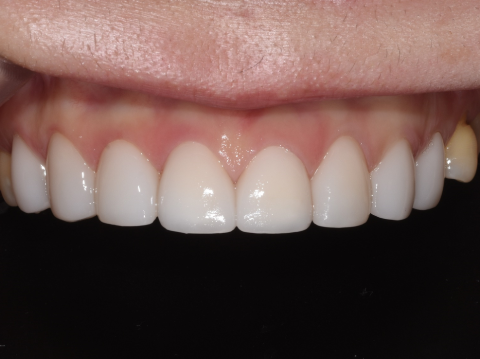
윗니 결과

밝고 균일한 색상, 자연스러운 형태, 환자분 희망 스타일과 거의 일치함
윗니는 정말 극적인 변화를 보여줍니다. 누렇던 색상이 밝고 균일한 톤으로 개선되었고, 레진 수복 흔적은 완전히 사라졌습니다. 돌출되었던 가운데 앞니 두 개는 자연스럽게 정렬되었고, 치아 사이에 있던 검은 삼각형도 깔끔하게 폐쇄되었습니다.
특히 잇몸성형을 병행한 덕분에 잇몸 라인도 고르게 정리되어 전체적으로 훨씬 조화로운 모습이 되었습니다. 환자분이 처음에 보여주셨던 레퍼런스 사진의 스타일과 거의 일치하는 결과물이 완성되었습니다.
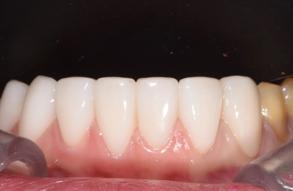
아랫니 결과

치료 후 아랫니
아랫니도 마찬가지로 큰 변화가 있었습니다. 삐뚤어져 있던 앞니가 가지런하게 정렬되었고, 가운데 앞니 사이 벌어져 있던 공간도 자연스럽게 메워졌습니다. 잇몸 경계가 마모되어 있던 부위도 세라믹 레진필링으로 깔끔하게 수복되었습니다.
치료 전과 비교하면 색상, 형태, 잇몸 라인 모두 극적으로 개선된 것을 확인하실 수 있습니다.

이처럼 성공적인 라미네이트 치료를 위해서는 단순히 치아를 깎고 붙이는 것이 아니라, 환자분의 구강 상태, 기존 치료 이력, 치질 상태, 교합 관계, 잇몸 상태 등을 종합적으로 분석하고 맞춤형 전략을 수립하는 것이 핵심입니다.
자신 있게 웃을 수 있는 변화
이 환자분은 최종 결과에 대만족하셨습니다. 원래 잘 웃지 않으셨던 분인데, 라미네이트 최종 부착 후에는 자신 있게 활짝 웃으시는 모습을 보여주셨습니다. 심미보철을 하는 치과의사로서 가장 보람을 느끼는 순간이기도 합니다.
심미보철은 단순히 치아를 예쁘게 만드는 것이 아닙니다. 환자분의 자신감과 삶의 질을 높여드리는 치료입니다. 웃을 때 치아가 신경 쓰여 손으로 가리거나 입을 다무시는 분들이라면, 전문 상담을 통해 어떤 방법이 가장 적합한지 알아보시는 것을 권해드립니다.
마지막으로 라미네이트 시술 후 관리에 대해 간단히 안내드립니다:
딱딱한 음식 주의 – 얼음, 사탕, 딱딱한 견과류 등을 직접 앞니로 깨무는 것은 피해주세요
정기검진 – 6개월에 한 번 정기 검진을 통해 라미네이트 상태를 확인하는 것이 좋습니다
올바른 구강 관리 – 꼼꼼한 양치와 치실 사용으로 잇몸 건강을 유지해 주세요
치아 모양이나 색상 때문에 고민이 있으신 분들은 본인의 상태에 맞는 맞춤 치료 계획을 세우는 것이 가장 중요합니다. 궁금하신 점이 있으시면 언제든 상담 문의해 주세요. 감사합니다.
