아카이브 요약
이 페이지의 역할
세라믹치과의원의 네이버 블로그 원문을 보존한 아카이브 페이지입니다. 치아교정 전후 카테고리의 돌출입 재교정, 그것도 세 번째. 글을 통해 병원의 한국어 정보 제공 방식과 진료 관련 안내 톤을 확인할 수 있습니다.
원문 검증
필요하면 원문 블로그와 병원 프로필로 바로 이동해 문맥을 다시 확인할 수 있습니다.
출처 아카이브 열기아카이브된 블로그 글
세라믹치과의원 · Naver Blog
돌출입으로 재교정을 세 번이나 했다면 다들 깜짝 놀라실텐데요, 생각보다 종종 이런 분들이 생기고는 합니다. 긴 시간 치료를 받고 나면 당연히 만족스러운 결과를 기대하게 되는데, 만약 발치 교정까지 했는데도 돌출감이 남아있다면 어떨까요? 오늘 소개해 드릴 케이스는 35세 남성 환자분으로, 이미 2번의 교정 치료(발치 교...
게시일
2026년 3월 23일
원문 기준으로 확인된 발행일입니다.
카테고리
치아교정 전후
원문 블로그 카테고리를 정리해 함께 표시합니다.
이미지 수
13
현재 아카이브에 연결된 이미지 수입니다.
아카이브 요약
세라믹치과의원의 네이버 블로그 원문을 보존한 아카이브 페이지입니다. 치아교정 전후 카테고리의 돌출입 재교정, 그것도 세 번째. 글을 통해 병원의 한국어 정보 제공 방식과 진료 관련 안내 톤을 확인할 수 있습니다.
원문 검증
필요하면 원문 블로그와 병원 프로필로 바로 이동해 문맥을 다시 확인할 수 있습니다.
출처 아카이브 열기돌출입으로 재교정을 세 번이나 했다면 다들 깜짝 놀라실텐데요, 생각보다 종종 이런 분들이 생기고는 합니다. 긴 시간 치료를 받고 나면 당연히 만족스러운 결과를 기대하게 되는데, 만약 발치 교정까지 했는데도 돌출감이 남아있다면 어떨까요?
오늘 소개해 드릴 케이스는 35세 남성 환자분으로, 이미 2번의 교정 치료(발치 교정 포함)를 받으셨지만 돌출에 대한 불만족으로 3번째 재교정을 희망하신 분입니다. 이번에는 추가 발치 없이, 미니스크류를 이용한 전체 치열 후방이동으로 돌출을 개선한 사례를 자세히 설명드리겠습니다.

치료전 상태
먼저 환자분의 현재 상태를 꼼꼼히 살펴보았습니다.
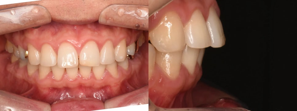
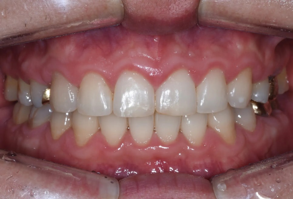
구강 내 사진을 확인해 보니 치아 사이에 약간의 공간(spacing)이 존재했습니다. 아마도 이전 교정 이후 약간의 재발이 있었던 것 같습니다. 또한 교합 사진에서는 윗앞니가 아랫앞니를 약간은 과도하게 덮는 과개교합(딥바이트)이 확인되었습니다.

심각한 문제가 있었다고는 할 수 없으나, 이미 발치 교정 이력이 있음에도 불구하고 특히 얼굴사진에서는 돌출감이 남아있었고, 전반적인 치아 배열 역시 완벽하지 않은 상태였습니다. 무엇보다도, 환자분이 스스로 "입을 넣고 싶다" 생각하셨다는 점이 중요했습니다. 무엇보다도 중요한 것이 자기 만족이니까요.

경등도의 돌출입이 확인됩니다
정밀 검사 - 엑스레이와 CT로 후방 이동 가능성 평가
가장 중요한 것은 "추가로 치아를 뒤로 보낼 공간이 있는가"를 확인하는 것이었습니다. 이를 위해 측면 엑스레이, 파노라마, CT까지 종합적으로 분석했습니다.
측면 엑스레이 분석
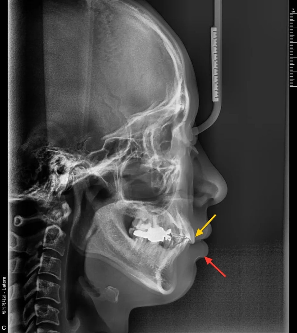
측면 두부 방사선 사진을 분석해 보니, 윗앞니가 아랫입술을 누르면서 입술이 말려나오는 양상이 확인되었습니다. 쉽게 말해, 윗앞니가 앞으로 나와 있어서 아랫입술을 밀어내고 있었던 것입니다. 이 말은 곧, 윗앞니를 뒤로 넣으면 아랫입술도 자연스럽게 뒤로 들어올 수 있다는 의미이기도 합니다.

윗니(노랑)가 아랫입술(빨강)을 밀어내고 모양새가 확인됩니다
파노라마 확인
파노라마 사진에서는 사랑니가 이미 발치된 상태임을 확인할 수 있었습니다. 그리고 사랑니가 빠진 자리 뒤쪽으로 뼈 공간이 충분히 남아있어 후방이동의 가능성이 높아 보였습니다.

파노라마 사진 – 사랑니 발치 후 후방 공간이 확인됩니다 (파랑)
정밀사진(CT) 확인
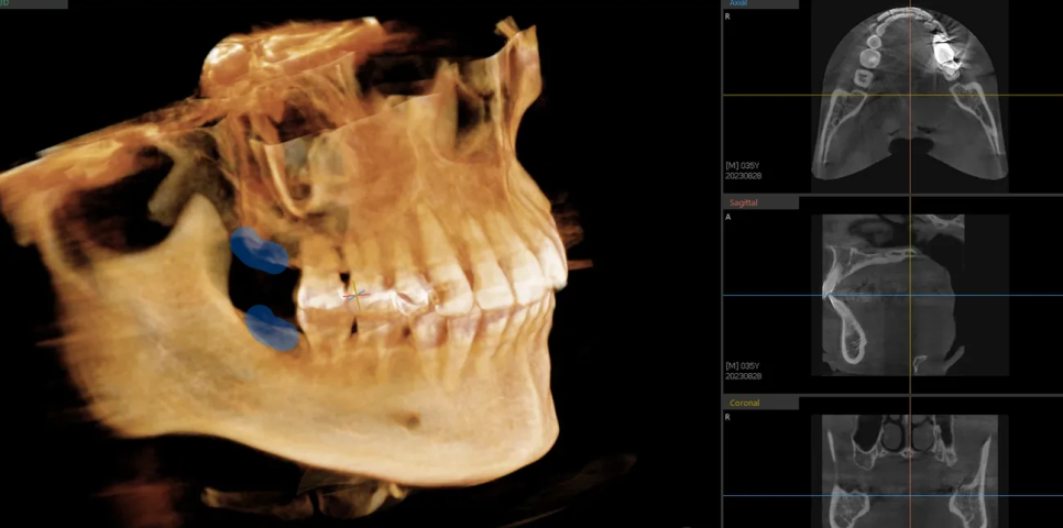
2차원 엑스레이만으로는 정확한 뼈의 양을 판단하기 어려울 수 있습니다. 그래서 CT를 통해 3차원적으로 재확인했습니다. 결과적으로 뼈가 뒤쪽까지 충분히 존재하여, 전체 치열을 후방으로 이동시킬 수 있는 공간이 넉넉한 것을 재차 확인했습니다.

CT 사진 – 후방 뼈 공간이 충분함을 3차원적으로 확인
비발치로도 충분한 후방이동이 가능하다는 판단을 내렸습니다.
문제 목록(Problem List) 및 치료 계획 수립
정밀 검사 결과를 종합하여 문제 목록과 치료 계획을 정리했습니다.
문제 목록 (Problem List)
| 번호 | 문제 | 세부 설명 |
|---|---|---|
| 1 | 입술 돌출 | 이전 발치 교정에도 불구하고 돌출감 잔존 |
| 2 | 치아 배열 불량 | 전반적인 치열 정리가 필요한 상태 |
| 3 | 과개교합(Deep bite) | 윗앞니가 아랫앞니를 과도하게 덮고 있는 상태 |
치료 계획: 비발치 교정
발치는 하지 않기로 결정했습니다. 이미 발치 교정을 한 적이 있기 때문에, 추가로 치아를 빼면 씹는 효율이 크게 떨어질 수 있어 가능하다면 비발치 접근이 최선이었기 때문입니다.
구체적인 치료 계획은 다음과 같았습니다:
위아래 교정 장치 부착
치아 배열 정리 후, 치아 사이 잇몸 공간(블랙트라이앵글) 발생 예상 → 치아 사이 살짝 삭제(IPR) 후 밀착
미니스크류를 이용한 전체 치열 후방이동으로 돌출 개선
예상 교정 기간: 약 1.5년
치료 과정 ① - 치아 배열
본격적인 후방이동에 앞서, 먼저 해결해야 할 것이 있는데, 바로 치아 배열 정리입니다 .
치아 배열 정리
우선 치아 배열을 완벽하게 평탄하게 정리해야 합니다. 이 과정이 왜 선행되어야 하냐면, 치아가 고르게 정렬되어 있어야 와이어를 통한 힘 전달이 효율적으로 이루어지기 때문입니다. 배열이 들쑥날쑥한 상태에서 후방이동을 시도하면 원하는 방향으로 힘이 전달되지 않고 치아가 쓰러져버리기 떄문입니다.
교정을 처음 하시는 분들과는 다르게, 이미 치아 배열 상태가 양호한 편에 속했기 때문에, 이 과정은 비교적 빠르게 이루어질 수 있었습니다.

얼른 치아를 일자로 배열하여 줍니다. 뒤로 당길 수 있도록.
치료 과정 ② - 미니스크류를 이용한 전체 치열 후방이동
치아 배열과 과개교합 개선이 완료된 후, 드디어 본격적인 후방이동을 시작했습니다.
여기서 핵심 장치가 바로 미니스크류(TAD, Temporary Anchorage Device)입니다. 미니스크류는 뼈에 직접 심는 아주 작은 나사로, 치아를 당길 때 절대적인 고정점 역할을 합니다.
일반적인 교정에서는 치아끼리 서로 밀고 당기기 때문에 한쪽을 뒤로 보내면 반대쪽이 앞으로 나오는 한계가 있었습니다. 하지만 미니스크류는 뼈에 고정되어 있으므로 치열 전체를 한 방향(뒤쪽)으로 이동시키는 것이 가능합니다.
| 구분 | 미니스크류 없을 때 | 미니스크류 있을 때 |
|---|---|---|
| 전체 치열 후방이동 | 불가능 | 가능 |
| 고정원 | 치아끼리 상호 의존 | 뼈에 직접 고정 |
| 비발치 돌출 개선 | 제한적 | 효과적 |
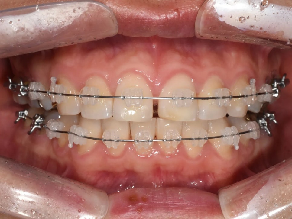
사랑니를 뺀 자리의 공간을 활용하여, 미니스크류에 연결된 탄성 체인으로 치열 전체를 조금씩 뒤로 이동시켰습니다.

미니스크류 식립 후 전체 치열 후방이동을 시작한 모습
치료 결과 - 교정 완료 후 변화
치료가 모두 마무리된 후의 결과를 확인해 보겠습니다.
구강 내 변화
교정 완료 후 구강 내 사진을 보면, 치열이 깔끔하게 정리되었고 돌출감도 상당히 개선된 것을 확인할 수 있습니다. 한 가지 참고사항으로, 왼쪽 위 앞니 앞쪽 면이 약간 마모되어 있어 추후 레진 치료로 보완하실 예정입니다.

교정 완료 후 – 치열이 정리되고 돌출이 개선되었습니다
옆모습 변화
가장 눈에 띄는 변화는 역시 옆모습입니다. 입술이 눈에 띄게 뒤로 들어가면서 돌출감이 확실히 해소되었습니다.

교정 후 옆모습 – 입술 라인이 자연스럽게 뒤로 들어간 것이 확인됩니다
전후 엑스레이 비교
전후 측면 엑스레이를 비교해 보면 변화가 더욱 명확합니다. 이전에는 윗앞니가 아랫입술을 밀어내면서 입술이 볼록하게 나와 있었는데, 윗앞니가 충분히 후방이동하면서 그 원인 자체가 사라졌습니다. 결과적으로 위아래 입술의 균형이 맞아지고, 충분한 후방이동이 달성된 것을 확인할 수 있습니다.

전후사진 비교: 앞니(노랑)가 아랫입술(빨강)을 밀어내던 모습이 사라졌습니다
비발치 후방이동 재교정의 의의
이 환자분처럼 발치 교정까지 했는데도 입술 모양에 만족하지 못하는 경우, 추가로 치아를 뽑으면 씹는 효율이 크게 떨어지는 문제가 생깁니다. 이때 좋은 대안이 바로 사랑니가 있던 공간을 활용한 비발치 후방이동입니다.
후방 뼈 공간은 사람마다 다르지만, 대부분의 경우 어느 정도는 충분한 양을 확보할 수 있습니다. 옛날에는 불가능했지만, 최근에는 미니스크류(TAD)가 개발되어 이를 빼지 않고 치열 전체를 뒤로 이동시키는 것이 충분히 가능해졌습니다. 교정 의사들 사이에서도 '비발치로는 후방이동이 안 된다'는 인식을 가진 사람도 많지만, 보셨다시피 뼈만 허락된다면 충분히 가능합니다
이 환자분은 교정을 마치고 나서 "드디어 40대에는 재교정을 안 할 수 있게 되었다"며 정말 기뻐하셨습니다. 두 번의 교정 치료에도 만족하지 못했던 긴 시간이 있었기에, 그 기쁨이 얼마나 컸을지 충분히 공감이 됩니다.
혹시 발치 교정을 했는데도 돌출이 남아서 재교정을 고민하고 계신다면, 비발치 후방이동이라는 선택지가 있다는 것을 꼭 기억해 주세요. 정밀한 검사를 통해 뼈 공간만 확인되면, 추가 발치 없이도 원하는 결과를 얻을 수 있습니다.
감사합니다.

