아카이브 요약
이 페이지의 역할
세라믹치과의원의 네이버 블로그 원문을 보존한 아카이브 페이지입니다. 세라네이트 카테고리의 일본에서 거절당했던 앞니 심미보철 크라운 글을 통해 병원의 한국어 정보 제공 방식과 진료 관련 안내 톤을 확인할 수 있습니다.
원문 검증
필요하면 원문 블로그와 병원 프로필로 바로 이동해 문맥을 다시 확인할 수 있습니다.
출처 아카이브 열기아카이브된 블로그 글
세라믹치과의원 · Naver Blog
오늘은 아주 특별한 앞니 크라운 케이스를 소개해 드리려 합니다. 일본에 거주하시는 54세 재일교포 여성 환자분의 앞니 크라운 교체 이야기인데요. 이 환자분은 윗앞니에 씌워둔 오래된 크라운을 교체하고 싶어 일본 내 여러 치과를 방문하셨지만, "다시 크라운을 하기 어렵다"는 이유로 거절을 당하셨다고 합니다. 그러던 중...
게시일
2026년 3월 24일
원문 기준으로 확인된 발행일입니다.
카테고리
세라네이트
원문 블로그 카테고리를 정리해 함께 표시합니다.
이미지 수
14
현재 아카이브에 연결된 이미지 수입니다.
아카이브 요약
세라믹치과의원의 네이버 블로그 원문을 보존한 아카이브 페이지입니다. 세라네이트 카테고리의 일본에서 거절당했던 앞니 심미보철 크라운 글을 통해 병원의 한국어 정보 제공 방식과 진료 관련 안내 톤을 확인할 수 있습니다.
원문 검증
필요하면 원문 블로그와 병원 프로필로 바로 이동해 문맥을 다시 확인할 수 있습니다.
출처 아카이브 열기오늘은 아주 특별한 앞니 크라운 케이스를 소개해 드리려 합니다. 일본에 거주하시는 54세 재일교포 여성 환자분의 앞니 크라운 교체 이야기인데요. 이 환자분은 윗앞니에 씌워둔 오래된 크라운을 교체하고 싶어 일본 내 여러 치과를 방문하셨지만, "다시 크라운을 하기 어렵다"는 이유로 거절을 당하셨다고 합니다.
그러던 중 저희 치과의 심미보철 케이스 사진을 우연히 접하시고 직접 한국에서 치료를 받기로 결심하셨습니다. 해외에서 오시는 환자분이다 보니 한국에 자주 방문하기 어려운 상황이었고, 이 점을 충분히 고려한 치료 계획이 필요했습니다. 어떤 과정을 거쳐 어떤 결과를 얻었는지, 자세히 소개해 드리겠습니다.

초진 검사 – 파노라마 및 안모 평가
처음 내원하셨을 때 파노라마 엑스레이를 촬영하여 전체적인 상태를 확인했습니다. 촬영 결과, 윗쪽 작은앞니부터 반대편 작은앞니까지(4개 치아) 는 이미 신경치료 후 포스트와 코어가 들어가 있는 상태였습니다. 오른쪽 송곳니는 신경치료 후 코어까지만 진행되어 크라운 없이 그대로 있었고, 왼쪽 송곳니는 레진으로 수복된 상태였습니다.

총 5새의 치아가 신경치료가 되어 있었습니다
안모(얼굴) 평가에서는 몇 가지 중요한 특징이 관찰되었습니다. 먼저 앞니가 깊게 물리는 과개교합(Deep bite) 상태였고, 위아래 잇몸뼈가 발달해 있어 입술을 편하게 다물기가 다소 어려운 소견이 있었습니다. 웃을 때는 양쪽 송곳니까지 보이는 스마일 라인을 가지고 계셔서, 심미적인 스마일을 위해서는 송곳니까지 보철 범위에 포함시키는 것이 적절해 보였습니다. 또한 피부톤이 다소 어두운 편이어서, 크라운 색조를 선택할 때 이 부분도 함께 고려해야 했습니다.

스마일 시 양쪽 송곳니까지 보입니다
구내 검사 – 기존 크라운과 치아 상태의 문제점들
입 안을 자세히 살펴보니, 문제점이 한두 가지가 아니었습니다. 정리하면 다음과 같습니다.
| 문제 항목 | 상세 내용 |
|---|---|
| 기존 크라운 상태 | 오래된 도재-금속(PFM) 크라운의 마진 부적합, 변색, 치아 간 색상 부조화 |
| 앞니 사이 공간 | 가운데 두 앞니 사이, 그리고 왼쪽 앞니들 사이에 벌어진 공간 존재 |
| 오른쪽 송곳니 | 변색, 잇몸 쪽 마모(법랑질 닳음), 잇몸 퇴축 |
| 왼쪽 송곳니 | 절단면(끝부분)이 닳아 있는 상태 |
| 양쪽 송곳니 공통 | 치아 축이 안쪽으로 과도하게 기울어져 있음 |
| 블랙트라이앵글 | 오른쪽 앞니-작은앞니-송곳니 사이에 검은 삼각형 공간 존재 |
| 정중선 | 위아래 치아의 가운데 선이 맞지 않는 상태 |
한마디로, 심미적으로 개선해야 할 부분이 아주 많은 케이스였습니다. 일본의 치과에서 거절당하셨던 이유도, 기존 치아의 심한 손상 상태(포스트+코어)와 더불어, 이런 복합적인 문제들 때문이었을 것으로 추측됩니다.

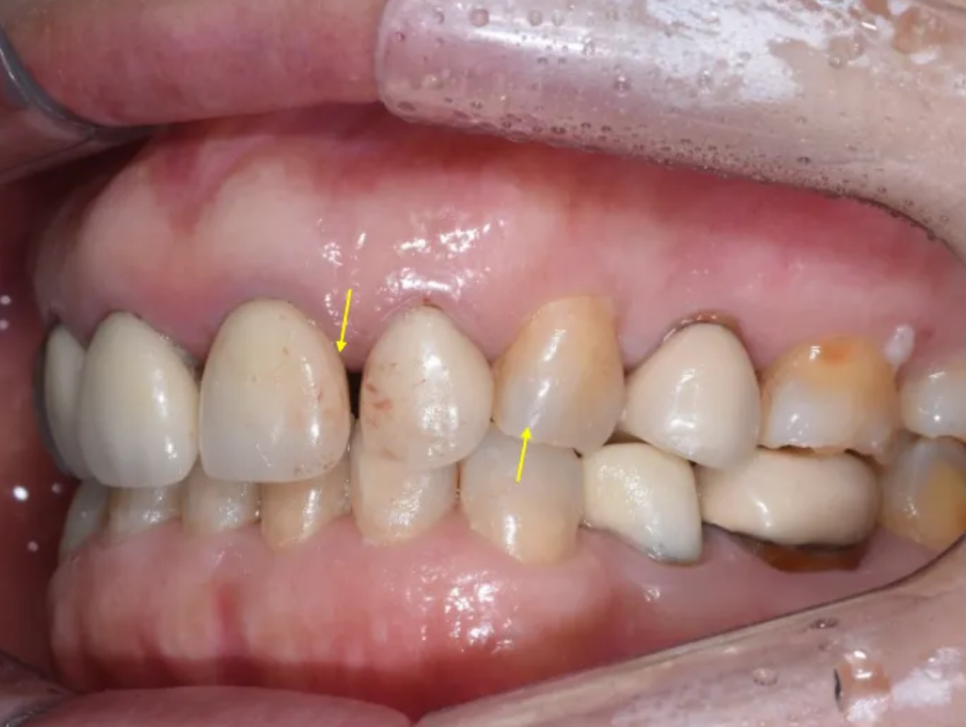
앞니 사이 아주 큰 공간이 있고, 환자분 기준 우측 송곳니는 변색이 아주 심합니다

송곳니는 안쪽으로 많이 기울어져 있습니다

치아 사이 공간(블랙 트라이앵글)도 심한 편입니다

치아 사이 공간이 보이고, 송곳니가 많이 닳아 있습니다
치료 계획 수립 – 왜 PFZ 크라운을 선택했는가
검사 결과를 종합한 뒤, 다음과 같이 치료 계획을 세웠습니다.
치료 범위는 오른쪽 송곳니부터 왼쪽 송곳니까지 총 6개 치아입니다. 기존 크라운 4개를 교체하고, 양쪽 송곳니에 새로 크라운을 제작하는 것이죠.
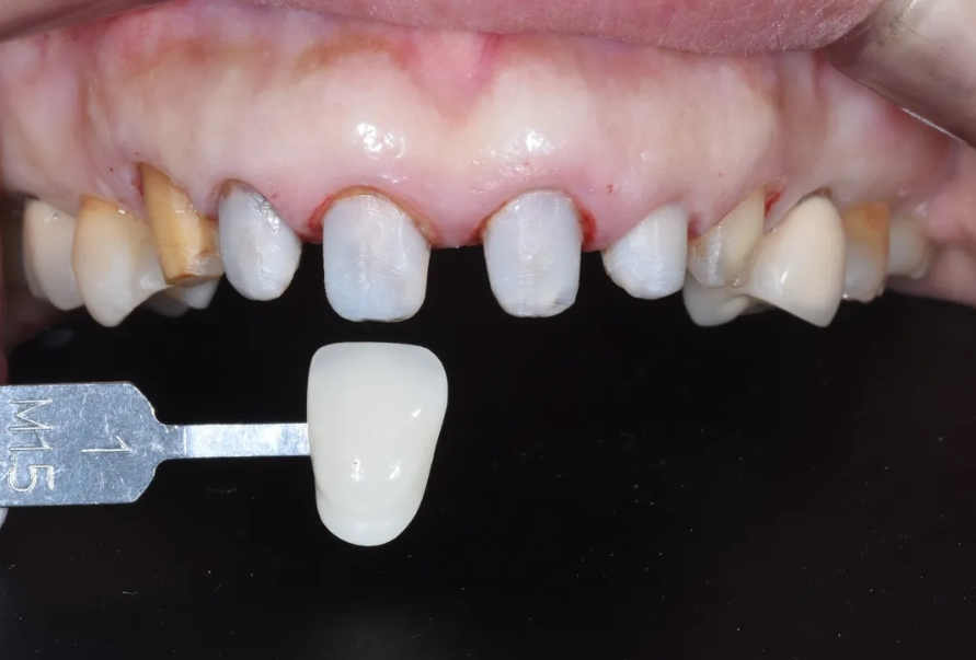
보철 재료로는 PFZ(Porcelain Fused to Zirconia) 크라운을 선택했습니다. PFZ 크라운이란, 지르코니아라는 아주 단단한 소재 위에 도재(세라믹)를 쌓아 올린 크라운입니다. 이 환자분에게 PFZ를 선택한 이유를 기존 PFM 크라운과 비교해서 설명드리겠습니다.
| 구분 | PFM 크라운 (기존) | PFZ 크라운 (선택) |
|---|---|---|
| 내부 프레임 | 금속 | 지르코니아 |
| 강도 | 보통 | 매우 높음 |
| 심미성 | 금속 마진 노출·잇몸 변색 위험 | 금속 없이 자연스러운 색감 |
| 적합 케이스 | 일반적인 경우 | 교합력이 강한 과개교합 환자에 적합 |
이 환자분은 과개교합으로 앞니에 교합력이 강하게 걸리는 상태였기 때문에, 지르코니아의 높은 강도가 반드시 필요했습니다. 동시에 앞니 부위라 심미성도 중요했기 때문에, 지르코니아 위에 도재를 섬세하게 쌓아 올려 자연치아와 유사한 투명감과 색감을 살릴 수 있는 PFZ 크라운이 최적이었습니다.

PFZ 크라운 – 지르코니아 코핑 위에 도재를 축성하여 심미성과 강도를 동시에 확보합니다
치료를 시작하기 전, 환자분께 중요한 사항을 미리 충분히 설명드렸습니다. 오래된 크라운을 제거할 때 내부 지대치(치아 기둥) 상태가 예상보다 안 좋을 수 있고, 최악의 경우 발치가 필요할 가능성까지 있다는 점을 말씀드렸습니다. 또한 해외에서 오시는 특성상, 임시 크라운 상태로 약 3개월간 생활하셔야 한다는 점도 안내드렸습니다.
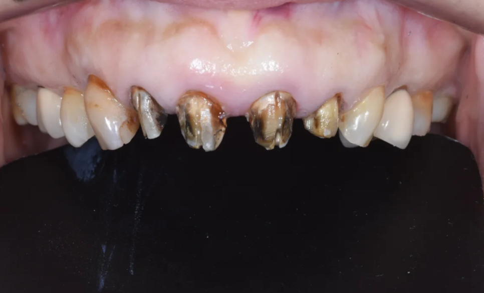
치료 과정 STEP 1 – 기존 크라운 제거 및 내부 상태 확인
먼저 오래된 PFM 크라운을 조심스럽게 제거했습니다. 크라운 아래 치아의 상태를 확인하는 이 과정이 사실 가장 긴장되는 순간이에요.
제거 후 확인한 결과, 역시나 내부 치아에 심한 변색이 있었고 2차 충치(크라운 안에서 새로 생긴 충치)도 발견되었습니다. 하지만 다행히도 포스트-코어가 탈락하거나 치아 뿌리가 깨진 상태는 아니었기 때문에, 발치 없이 치료를 이어갈 수 있었습니다.

크라운 제거 후 내부 상태 – 심한 변색과 2차 충치가 확인됩니다
참고로, 오래된 크라운을 교체할 때 이런 내부 문제가 발견되는 경우가 드물지 않습니다. 겉에서 보기엔 멀쩡해 보여도, 크라운과 치아 사이의 미세한 틈으로 세균이 침투해 안쪽에서 조용히 충치가 진행되는 경우가 있기 때문이에요. 그래서 오래된 크라운은 정기적으로 검진을 받으시는 것이 중요합니다.
치료 과정 STEP 2 – 우식 제거 및 코어 빌드업
다음 단계로, 발견된 충치를 깨끗하게 제거했습니다. 그 후 밝은 색 레진을 이용하여 코어 빌드업을 진행했습니다.
코어 빌드업이란, 치아의 손상된 부분을 레진 같은 재료로 채워서 크라운이 안정적으로 올라갈 수 있는 기둥을 만드는 과정입니다. 이때 밝은 톤의 레진 재료를 사용한 이유는, 최종 크라운의 색감에 어두운 색이 비치지 않도록 하기 위해서입니다. 특히 심미성이 중요한 앞니 부위에서는 이런 세심한 부분이 결과에 큰 영향을 줍니다.

충치 제거 후 밝은 색 레진으로 코어 빌드업을 완료한 모습
남아 있는 치아 양이 충분치 않았지만, 코어 빌드업으로 보강하여 크라운이 안정적으로 유지될 수 있는 지지력을 확보했습니다. 이후 치아를 다듬고(지대치 형성), 본을 뜬 다음(인상 채득), 임시 크라운을 장착해 드렸습니다. 환자분은 이 임시 크라운 상태로 일본으로 돌아가셔서 약 3개월간 생활하셨습니다.
설계의 핵심 포인트 – Deep Bite와 치조골 돌출 환자의 심미보철
이 케이스에서 크라운을 설계할 때 특별히 신경 쓴 핵심 포인트들이 있습니다. 일반적인 앞니 크라운과는 다르게 접근해야 하는 부분이 많았기 때문입니다.
이 환자분은 위턱 잇몸뼈가 돌출된 상태였기 때문에, 크라운의 윤곽(외형)을 최대한 평탄하게 설계하는 것이 핵심이었습니다. 크라운이 불록하게 나오면 입술이 더 돌출되어 보이는 부작용이 생길 수 있거든요. 또한 치아 축이 바깥쪽으로 기울어지지 않도록 각도 설계에도 세심한 주의를 기울였습니다.
가운데 두 앞니 사이에 공간이 있었는데, 이 공간이 다시 벌어지는 것을 방지하기 위해 두 앞니를 연결한 형태의 크라운으로 설계했습니다.
치아 사이에 보이던 검은 삼각형 공간들을 줄이기 위해, 크라운의 형태를 치아 사이 공간에 맞게 정밀하게 설계했습니다.
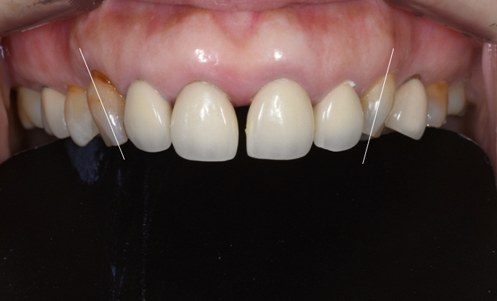
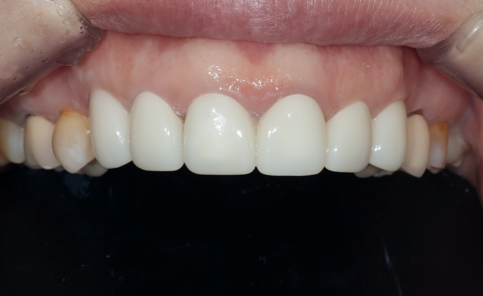
최종 결과 – 자연스럽고 조화로운 앞니 완성

최종 보철 완성 – 모든 치아가 자연스럽게 정리된 모습. 가운데 두 앞니는 연결 크라운으로 제작했습니다
약 3개월간의 임시 크라운 기간을 거친 후, 환자분이 다시 한국에 방문하셨을 때 최종 PFZ 크라운 6개를 세팅했습니다.
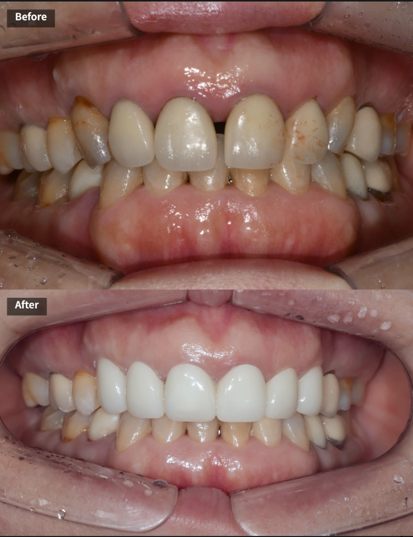
치료 전후를 비교하면 다음과 같은 개선이 이루어졌습니다.
| 치료 전 | 치료 후 |
|---|---|
| 치아 사이 검은 삼각형 공간(블랙트라이앵글) | 블랙트라이앵글 대폭 개선 |
| 앞니 사이 벌어진 공간 | 공간 해소, 가지런한 배열 |
| 크라운 변색, 색상 부조화 | 자연스럽고 균일한 색조 |
| 크라운 마진 부적합 | 정밀한 마진 적합 |
| 앞니 사이 다시 벌어질 위험 | 연결 크라운으로 재벌어짐 방지 |
| 입술 돌출 우려 | 평탄한 크라운 윤곽으로 입술 라인 개선 |

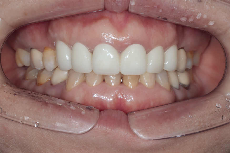
아랫니와도 자연스러운 조화를 이루는 모습
치료 후기 및 이 케이스에서 배울 점
이 케이스를 통해 몇 가지 중요한 점을 정리해 드리겠습니다.
첫째, 오래된 크라운 제거 시 내부 상태가 좋지 않을 수 있습니다.
크라운을 열어보면 안에서 충치가 진행되고 있거나, 심한 경우 치아 기둥 자체가 탈락해서 발치 후 임플란트로 전환해야 하는 상황이 생길 수도 있습니다. 따라서 치료 전에 이런 가능성을 충분히 이해하고 시작하는 것이 중요합니다.
둘째, 해외 거주 환자분의 경우 치료 일정 조율이 핵심입니다.
이번 환자분처럼 임시 크라운으로 3개월 가까이 생활해야 하는 경우도 있으므로, 임시 크라운 관리법을 꼼꼼히 숙지하시는 것이 필요합니다.
이 환자분의 경우, 다행히도 지대치 상태가 발치까지 갈 정도는 아니었고 코어 빌드업으로 잘 보강할 수 있었습니다. 무엇보다 3개월이라는 긴 임시 크라운 기간을 잘 참아주시고 협조해 주신 환자분 덕분에 만족스러운 결과를 얻을 수 있었습니다. 일본에서 여러 치과에서 거절당하셨던 케이스였지만, 체계적인 치료 계획과 정확한 시술을 통해 성공적으로 마무리할 수 있었습니다.
오래된 앞니 크라운, 교체 시기를 놓치지 마세요
오래된 도재-금속(PFM) 크라운은 10~20년 이상 지나면 마진 부적합, 변색, 2차 충치의 위험이 높아집니다. 겉에서는 별 문제 없어 보여도 크라운 안쪽에서 조용히 문제가 진행되고 있을 수 있기 때문에, 정기적인 치과 검진을 꼭 받으시길 권합니다.
현재는 PFZ 크라운처럼 심미성과 내구성을 동시에 갖춘 최신 보철 재료가 있기 때문에, 예전에는 어려웠던 케이스도 충분히 좋은 결과를 얻을 수 있는 시대가 되었습니다.
혹시 다른 곳에서 "어렵다"고 거절당하셨더라도 포기하지 마시고, 한 번 더 상담을 받아보시길 권해 드립니다. 방법이 있을 수 있습니다.
감사합니다. 학동역 세라믹치과 김선민 원장이었습니다.

