아카이브 요약
이 페이지의 역할
세라믹치과의원의 네이버 블로그 원문을 보존한 아카이브 페이지입니다. 세라네이트 카테고리의 앞니 벌어짐, 교정 없이 라미네이트로 해결한 경우 글을 통해 병원의 한국어 정보 제공 방식과 진료 관련 안내 톤을 확인할 수 있습니다.
원문 검증
필요하면 원문 블로그와 병원 프로필로 바로 이동해 문맥을 다시 확인할 수 있습니다.
출처 아카이브 열기아카이브된 블로그 글
세라믹치과의원 · Naver Blog
벌어진 앞니때문에 웃을때마다 망설여져요 앞니 벌어짐이 있으신 분들이 자주 하시는 말씀입니다. 이렇게 윗니 앞니(중절치) 사이에 공간이 있는 상태를 치과에서는 '정중이개'라고 부르는데, 심미적으로 큰 콤플렉스가 될 수 있어 스트레스가 되곤 합니다. 다만 많은 분들이 이 "앞니 벌어짐"은 "교정으로만 고칠 수 있다"고 생...
게시일
2026년 3월 27일
원문 기준으로 확인된 발행일입니다.
카테고리
세라네이트
원문 블로그 카테고리를 정리해 함께 표시합니다.
이미지 수
9
현재 아카이브에 연결된 이미지 수입니다.
아카이브 요약
세라믹치과의원의 네이버 블로그 원문을 보존한 아카이브 페이지입니다. 세라네이트 카테고리의 앞니 벌어짐, 교정 없이 라미네이트로 해결한 경우 글을 통해 병원의 한국어 정보 제공 방식과 진료 관련 안내 톤을 확인할 수 있습니다.
원문 검증
필요하면 원문 블로그와 병원 프로필로 바로 이동해 문맥을 다시 확인할 수 있습니다.
출처 아카이브 열기벌어진 앞니때문에 웃을때마다 망설여져요
앞니 벌어짐이 있으신 분들이 자주 하시는 말씀입니다. 이렇게 윗니 앞니(중절치) 사이에 공간이 있는 상태를 치과에서는 '정중이개'라고 부르는데, 심미적으로 큰 콤플렉스가 될 수 있어 스트레스가 되곤 합니다.
다만 많은 분들이 이 "앞니 벌어짐"은 "교정으로만 고칠 수 있다"고 생각하시는데요, 사실 라미네이트로도 충분히 해결이 가능합니다. 오늘은 무려 2.7mm에 달하는 심한 앞니 벌어짐을 교정 없이 라미네이트만으로 개선한 실제 케이스를 소개해 드리겠습니다.

이번 포스팅의 핵심은 명확합니다. 교정 없이, 라미네이트만으로 심한 앞니 벌어짐을 어떻게 해결했는지 그 과정과 결과를 자세히 보여드리겠습니다.
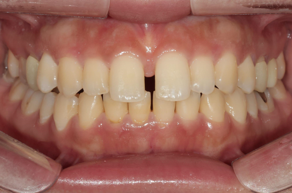
환자 소개 및 초진 상태
이번 환자분은 만 26세 여성으로, 교정 치료는 원하지 않으시는 상황이었습니다. 앞니 사이 벌어짐이 오랜 기간 콤플렉스였지만, 교정 장치를 오래 착용하는 것에 대한 부담이 크셨습니다.
진단 결과, 윗니 앞니 두 개(중절치) 사이의 간격이 약 2.7mm로 측정되었습니다. 한국인에서 2mm 이상의 앞니 벌어짐은 매우 드문 편인데, 2.7mm는 상당히 심한 수준에 해당합니다.

약 2.7mm. 한국에서는 보기 드문 수준으로 많이 벌어져 있는 경우입니다.
사진에서 보시듯이, 앞니 두 개의 치아 길이 자체도 상당히 긴 편이었습니다. 벌어진 간격에 더해 치아가 길어 보이면서 심미성이 많이 떨어지는 상태였습니다. 자세히 관찰하면 위아래 치아의 센터(정중선)가 일치하지 않는 것도 확인할 수 있었습니다.

아랫니도 경등도의 정중이개가 관찰되며, 위-아랫니 간 중심선이 맞지 않습니다.
다행히 벌어진 앞니 외에 다른 치아 배열이나 교합(위아래 치아가 맞물리는 것)에는 특별한 이상이 없었습니다. 하지만 웃을 때 벌어진 앞니가 바로 눈에 들어오다 보니, 환자분의 심미적 콤플렉스는 상당히 큰 상태였습니다.

정중이개란? – 치료 옵션 정리
정중이개는 윗니 앞니(중절치) 사이에 공간이 존재하는 상태를 말합니다. 가벼운 경우 0.5~1mm 정도의 미세한 틈부터, 이번 케이스처럼 2.7mm에 달하는 심한 경우까지 다양합니다.
그렇다면 앞니 벌어짐을 치료하는 방법에는 어떤 것들이 있을까요? 각 치료법을 비교해 보겠습니다.
| 치료 옵션 | 장점 | 단점 | 치료 기간 |
|---|---|---|---|
| 교정치료 | 치아를 직접 이동시켜 근본적 해결 | 시간이 오래 걸림 (1~2년 이상) | 장기간 |
| 레진 본딩 | 비교적 간편하고 비용 부담 적음 | 심미성 한계 | 1~2회 |
| 라미네이트 | 형태·색상·간격 동시 개선, 내구성 우수 | 교정보다는 덜 근본적인 해결 | 2~3회 |
| 크라운 | 전체적인 형태 변경 가능 | 삭제량이 많아 과한 선택일 수 있음 | 2~3회 |
이번 환자분의 경우, 교정을 원치 않으시면서 치아 길이 조정까지 필요한 상황이었고, 환자분의 심미적 완성도에 대한 기대가 컸기 때문에 라미네이트가 가장 최적의 선택이었습니다. 간격을 닫으면서 동시에 치아의 형태와 길이까지 개선하면서도 치아 손상은 최소화할 수 있는 유일한 방법이기도 했습니다.
치료 계획 – 라미네이트를 통한 접근
교정 없이 라미네이트만으로 정중이개 폐쇄 + 치아 길이 조정을 동시에 진행하는 것으로 계획을 수립했습니다. 이 케이스에서 특히 중요했던 핵심 포인트를 정리하면 다음과 같습니다.
① 공간분배(Space Distribution)
2.7mm라는 큰 간격을 자연스럽게 분배하는 것이 이 케이스의 가장 큰 관건이었습니다. 한쪽 치아에만 공간을 몰아서 닫으면 부자연스러워 보이기 때문에, 여러 치아에 걸쳐 공간을 자연스럽게 나누어야 합니다.
② 치아 길이 조정
윗니 앞니 두 개가 다른 치아에 비해 유독 긴 편이었습니다. 절단면(치아 끝부분)을 적절히 조정하여 주변 치아와 조화로운 비율을 만들어야 했습니다.
③ 상하 정중선 보정
위아래 치아의 센터가 맞지 않는 부분도 라미네이트 디자인을 통해 시각적으로 보정하는 것을 계획했습니다.
④ 색상 개선
아래 앞니를 포함하여 전체적인 색상 조화까지 고려하여 치료를 진행했습니다.
라미네이트는 치아 표면을 거의 삭제하지 않고 얇은 도자기(세라믹) 껍질을 접착하는 방식입니다. 치아를 보존하면서도 심미성과 내구성을 모두 확보할 수 있는 치료법입니다.
치료 결과 – Before & After
자, 이제 가장 궁금하신 치료 결과를 보여드리겠습니다.
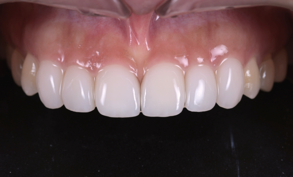
윗니 결과

치료 후 윗니 – 2.7mm의 정중이개가 완전히 닫히고, 치아 길이도 적절하게 조정되었습니다
윗니 앞니 사이의 2.7mm 간격이 완전히 폐쇄되었습니다. 동시에 길었던 앞니 두 개의 길이도 적절하게 줄어들어, 마치 원래 자기 치아처럼 자연스러운 형태와 비율이 구현되었습니다.
아랫니 결과

치료 후 아랫니 – 미세한 공간 폐쇄 및 색상 개선 완료
아래 앞니에 있던 미세한 공간도 함께 닫혔고, 색상도 자연스럽게 개선되었습니다. 위아래 치아가 전체적으로 조화롭게 어우러지는 것을 확인하실 수 있습니다.
전체 정면 최종 결과

치료 후 – 공간분배가 잘 이루어져 각 치아 간 비율이 자연스럽게 조화를 이룹니다
전체적으로 보았을 때, 공간분배가 매우 잘 이루어져 각 치아 사이의 비율이 자연스럽게 조화를 이루고 있습니다. 스마일 라인도 크게 개선되었고, 교정 없이도 이 정도의 심한 앞니 벌어짐을 자연스럽게 해결할 수 있다는 것을 보여주는 좋은 케이스라 할 수 있습니다.
이 케이스의 포인트 정리
이번 케이스에서 주목할 만한 점들을 정리해 보겠습니다.
| 포인트 | 내용 |
|---|---|
| 정중이개 크기 | 2.7mm의 매우 심한 벌어짐도 교정 없이 해결 가능 |
| 핵심 테크닉 | 공간분배(Space Distribution)가 자연스러운 결과를 만드는 열쇠 |
| 동시 개선 | 간격 폐쇄 + 치아 길이 조정 + 색상 개선까지 한 번에 진행 |
| 정중선 보정 | 위아래 중심선(센터) 불일치도 시각적으로 보정 |
| 대상 환자 | 교정이 부담스럽거나 빠른 치료를 원하는 분께 좋은 대안 |
다만, 한 가지 꼭 말씀드리고 싶은 것은 정확한 진단과 숙련된 기공·시술이 전제되어야 자연스러운 결과를 얻을 수 있다는 점입니다. 특히 2.7mm처럼 큰 간격을 닫는 경우, 공간을 어떻게 분배할지에 대한 정밀한 계획이 필수적입니다.
라미네이트 시술 후 주의사항 및 관리법
라미네이트를 오래오래 예쁘게 유지하시려면 몇 가지 관리 사항을 지켜주시는 것이 중요합니다.
시술 후 24~48시간 내에는 카레, 커피, 와인 등 강한 착색 음식을 피해주세요
이 갈이나 이 악물기 습관이 있다면 나이트가드(수면 시 착용하는 보호장치) 착용을 권장합니다
얼음, 딱딱한 사탕 등을 앞니로 깨무는 습관은 자제해 주세요
6개월~1년 주기로 정기적인 치과 검진을 통해 라미네이트 상태를 확인해 주세요
양치질은 부드러운 칫솔로, 연마제가 적은 치약을 사용하시는 것이 좋습니다
이러한 관리를 잘 지켜주신다면, 라미네이트는 10~15년 이상 충분히 유지가 가능합니다.
교정 없이도 달라질 수 있습니다
심한 앞니 벌어짐으로 고민 중이지만, 교정의 긴 기간이 부담스러운 분들께, 오늘 소개해 드린 케이스가 작은 희망이 되셨으면 합니다. 라미네이트는 짧은 치료 기간 내에 극적인 심미 개선이 가능한 치료입니다.
물론, 모든 분께 라미네이트가 최선의 방법은 아닐 수 있습니다. 본인의 상태에 가장 적합한 치료법은 반드시 전문의 상담을 통해 결정하시는 것을 권장드립니다.
앞니 벌어짐, 정중이개 관련해서 궁금하신 점이 있으시면 언제든 편하게 문의해 주세요. 감사합니다.
학동역 세라믹치과 대표원장 김선민

