아카이브 요약
이 페이지의 역할
세라믹치과의원의 네이버 블로그 원문을 보존한 아카이브 페이지입니다. 과개교합 카테고리의 과개교합 교정: 비수술로 치료한 토끼 이빨 이야기 글을 통해 병원의 한국어 정보 제공 방식과 진료 관련 안내 톤을 확인할 수 있습니다.
원문 검증
필요하면 원문 블로그와 병원 프로필로 바로 이동해 문맥을 다시 확인할 수 있습니다.
출처 아카이브 열기아카이브된 블로그 글
세라믹치과의원 · Naver Blog
심한 과개교합 교정은 꼭 수술로만 가능할까요? 안녕하십니까, 학동역 세라믹치과 대표원장 김선민입니다. 오늘은 심한 과개교합으로 고민하시던 20대 여자 환자분의 비수술 교정 케이스를 소개해 드리겠습니다. 다른 치과에서 수술 교정을 권유받고 "수술할 바엔 차라리 아무것도 안 하겠다"고 생각하셨던 분인데, 비수술 교정만으로...
게시일
2026년 3월 30일
원문 기준으로 확인된 발행일입니다.
카테고리
과개교합
원문 블로그 카테고리를 정리해 함께 표시합니다.
이미지 수
15
현재 아카이브에 연결된 이미지 수입니다.
아카이브 요약
세라믹치과의원의 네이버 블로그 원문을 보존한 아카이브 페이지입니다. 과개교합 카테고리의 과개교합 교정: 비수술로 치료한 토끼 이빨 이야기 글을 통해 병원의 한국어 정보 제공 방식과 진료 관련 안내 톤을 확인할 수 있습니다.
원문 검증
필요하면 원문 블로그와 병원 프로필로 바로 이동해 문맥을 다시 확인할 수 있습니다.
출처 아카이브 열기심한 과개교합 교정은 꼭 수술로만 가능할까요?
안녕하십니까, 학동역 세라믹치과 대표원장 김선민입니다. 오늘은 심한 과개교합으로 고민하시던 20대 여자 환자분의 비수술 교정 케이스를 소개해 드리겠습니다. 다른 치과에서 수술 교정을 권유받고 "수술할 바엔 차라리 아무것도 안 하겠다"고 생각하셨던 분인데, 비수술 교정만으로도 충분히 만족스러운 결과를 얻으실 수 있었던 경우입니다.
과개교합이 심한 경우 수술만이 답이라고 생각하시는 분들이 아직도 많습니다. 하지만 최근 교정 기술의 발전으로, 미니스크류를 활용한 비수술 교정만으로도 충분히 개선이 가능한 경우가 대부분입니다. 이 글을 통해 과개교합이 무엇인지, 그리고 비수술로 어떻게 치료할 수 있는지 자세히 설명해 드리겠습니다.

비수술 과개교합 교정 전후
'토끼이빨'이 고민인 20대 여자 환자
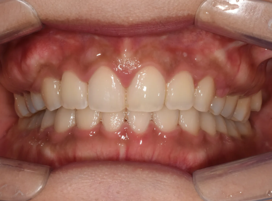
이 환자분은 20대 여성으로, "토끼이빨을 고치고 싶다"는 이유로 내원하셨습니다. 웃을 때 앞니가 과도하게 보이고, 잇몸까지 많이 드러나는 이른바 '거미 스마일(gummy smile)'이 심한 상태였습니다.

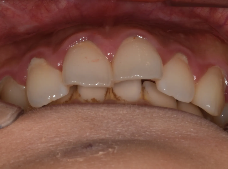
초진 시 구내 정면 모습. 끝까지 다물면 아랫니가 다 가려지는 심한 과개교합.
환자분께서 직접 "이~" 하고 보여주셨을 때, 과개교합의 정도가 정말 심해서 저도 놀랐던 기억이 있습니다. 이미 다른 치과에서 수술 교정을 권유받으셨지만, 수술이 부담스러워 치료 자체를 포기하려 하셨던 상황이었습니다.
하지만 정밀 진단 결과, 양이 많을 뿐이지 메커니즘 자체는 경도 과개교합과 다를 것이 없다고 판단했습니다. 따라서 비수술로도 충분히 개선 가능하다고 설명드리고, 교정 치료를 시작하게 되었습니다.
초진 분석: 환자분의 문제점 파악
초진 검사를 통해 파악한 환자분의 문제점을 정리하면 다음과 같습니다.
| 문제 항목 | 상세 내용 |
|---|---|
| 앞니 돌출 | 소위 '토끼이빨'로 보이는 상태 |
| 심한 과개교합 | 윗 앞니가 아랫니를 거의 완전히 덮고 있음 |
| 치아 배열 불량 | 전반적으로 치아 배열이 고르지 않음 |
| 좁은 치열궁 | 위쪽 치열이 좁은 상태 |
| 오버젯 문제 | 과개교합 해소 시 큰 오버젯 예상 |

여기서 중요한 포인트가 있습니다. 지금은 윗니와 아랫니가 닿을 정도로 앞뒤 간격(오버젯)이 없어 보이지만, 이건 과개교합 때문에 그렇게 보이는 것입니다. 과개교합을 해소하면 상당히 큰 오버젯이 드러날 것으로 예상되었습니다. 이 부분을 미리 고려하여 치료 계획을 세워야 했습니다.

측면에서 보면 오버젯 문제가 조금 더 잘 보입니다
사실 이 환자분은 과거에 아래턱이 작다는 이유로 턱끝수술(턱끝을 앞으로 내미는 수술)을 받으신 적이 있었습니다. 참고로 환자분 같은 경우 윗니가 아랫니보다 훨씬 앞쪽에 위치하게 되므로, 상대적으로 턱이 들어가 보일 수 있습니다.

엑스레이를 보면 윗니(파랑)가 아랫입술(노랑)을 누르고 있습니다.
아랫니(빨강)은 보통 사람과 다르게 윗니의 (중간부분이 아닌) 뿌리와 닿아 있습니다.
왜 수술이 아닌 비수술 교정을 선택했는가?
과거에는 윗 앞니를 위로 올리는 치료(인트루전, 상방이동)를 하려면 머리 밖에 거는 장치(헤드기어)에 고무줄을 걸어야 하는 방법밖에 없었습니다. 성인의 경우 선택할 수 없는 옵션이 아니었기 때문에, 심한 과개교합은 곧 수술 교정이라는 인식이 강했습니다.
하지만 최근에는 상황이 많이 달라졌습니다. 미니스크류(TAD, 임시 고정 장치)의 발전 덕분에, 잇몸뼈에 작은 나사를 심고 거기에서 앞니 방향으로 힘을 걸어 효과적으로 앞니를 위로 올릴 수 있게 되었습니다.

미니스크류를 이용한 앞니 상방이동(인트루전) 개념도
이 환자분의 경우 과개교합 정도가 심했기 때문에 다른 치과에서 수술을 권유한 것으로 보입니다. 하지만 제가 판단하기에는 양이 많을 뿐, 힘을 적용하는 원리 자체는 경도 과개교합과 동일했습니다. 미니스크류를 통해 충분히 해결할 수 있는 범위였습니다.
무엇보다 환자분은 "수술할 거면 차라리 아무것도 안 하겠다"는 확고한 의향을 가지고 계셨습니다. 비수술 교정이라는 선택지가 있다는 것을 알게 되시고 나서야 치료를 결심하셨습니다. 비수술로도 충분한 개선이 가능하다면, 굳이 수술의 부담을 안을 필요가 없다고 판단했습니다.
치료 계획 수립
환자분의 상태를 종합적으로 분석한 후, 다음과 같은 치료 계획을 수립했습니다.
| 단계 | 치료 내용 |
|---|---|
| 1단계 | 위·아래 교정 장치(브라켓) 부착 |
| 2단계 | 위쪽 미니스크류 식립 → 앞니 상방이동(인트루전) 시작 |
| 3단계 | 위쪽 작은어금니 발치 → 발치 공간을 이용한 앞니 후방이동 |
| 4단계 | 위 사랑니 발치 (아래 사랑니는 불편 시 발치) |
| 5단계 | 치아 배열 정리 후 블랙트라이앵글 부위 치아 삭제(IPR) + 밀착 |
과개교합을 해소하면 드러날 큰 오버젯(앞뒤 간격)이 매우 클 것으로 보여 작은어금니 발치를 계획했습니다. 발치를 통해 확보한 공간으로 앞니를 뒤로 이동시키는 전략이었습니다. 예상 교정 기간은 약 20~24개월이었습니다.
치료 시작: 장치 부착과 스크류 식립
치료 초반부터 적극적으로 미니스크류를 식립하여 앞니 상방이동을 시작했습니다. 동시에 환자분이 원하셨던 요구사항('앞니의 존재감을 줄이고 싶다')을 달성하기 위해 위쪽 작은어금니 발치를 진행했습니다. 앞니 후방이동량을 극대화 할 수 있으니까요.

스크류(노랑) 식립 및 작은어금니 발치 후 치료 시작 모습

측면 모습. 발치한 공간으로 위쪽 앞니들을 당겨 넣게 됩니다.
위·아래 모두 교정 장치(브라켓)를 부착하고, 치열궁 확장과 과개교합 개선을 동시에 진행했습니다. 여러 가지 문제를 한꺼번에 효율적으로 해결하기 위한 전략이었습니다.
치료 과정: 과개교합 해소 중
미니스크류를 이용한 앞니 상방이동이 점진적으로 진행되면서, 과개교합이 서서히 개선되는 것을 확인할 수 있었습니다. 개선되는 모습이 눈에 띄게 나타나기 시작하면서, 환자분도 만족감과 기대감을 갖고 따라와주셨습니다. 교정은 상당히 긴 기간이 걸리기 때문에, 환자분들과 이런 기쁨들을 나누어가며 의욕을 가지고 함께 치료를 진행하는 것이 중요합니다.

과개교합이 서서히 해소되고 있는 단계. 아래 앞니가 이제 잘 보입니다.
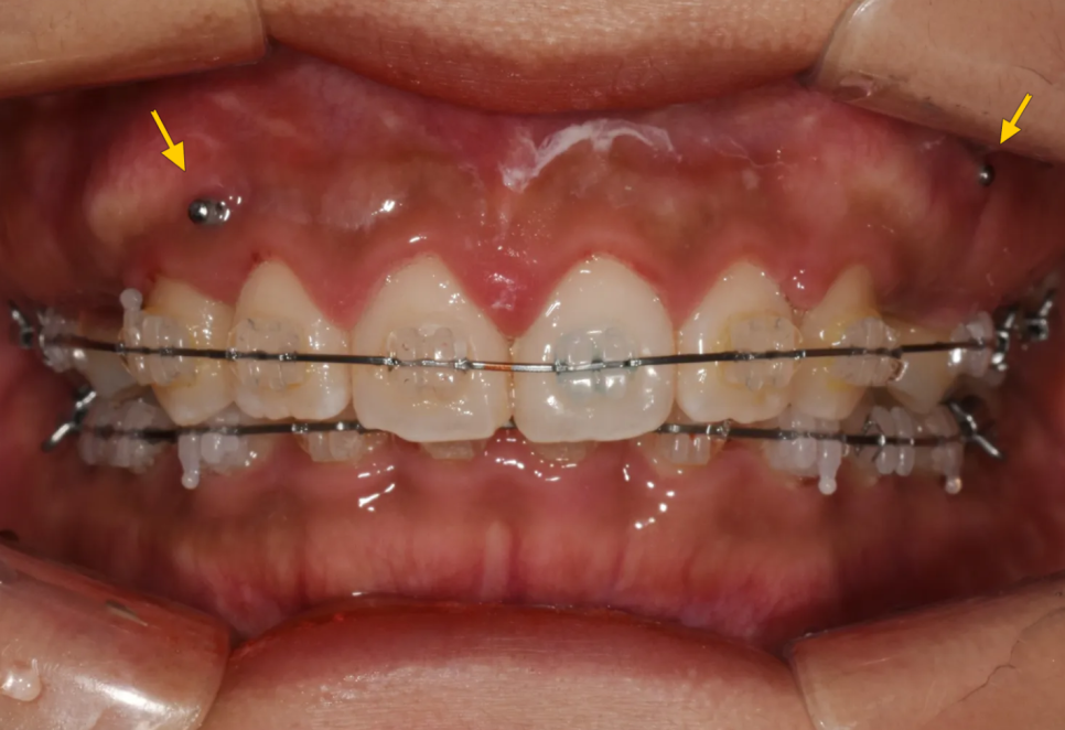
치료 완료: 과개교합 해소 및 후방이동 결과
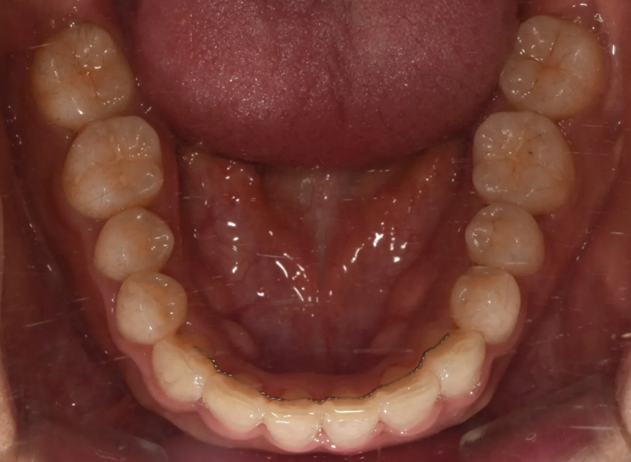
2년에 걸친 치료가 드디어 완료되었습니다. 과개교합이 완전히 해소되어, 윗니가 아랫니를 덮는 양(수직피개)이 정상 범위로 돌아왔습니다. 처음 내원하셨을 때 윗니가 아랫니를 거의 완전히 덮고 있던 것과 비교하면 정말 큰 변화입니다.

윗니와 아랫니 각각 역시 매우 예쁘게 배열된 모습을 확인하실 수 있습니다.

치료 후 윗니 배열 – 깔끔하게 정리된 모습

아랫니도 역시 고르게 정리되어 있는 모습
위쪽 작은어금니 발치 공간을 이용한 후방이동으로 앞니 돌출감도 해소되었습니다. 환자분이 가장 고민하셨던 '토끼이빨' 인상이 사라지고, 입술 돌출감도 개선되어 자연스러운 스마일라인이 완성되었습니다.
Before & After 비교 및 총평
이번 케이스는 비수술 교정만으로도 심한 과개교합을 충분히 해결할 수 있다는 것을 보여주는 대표적인 사례입니다. 전후 사진을 비교해 보시면 그 변화를 확실히 느끼실 수 있습니다. 우선 아랫니를 완전히 덮고 있던 윗니가 올라가면서 이를 다문 모습이 확연히 예뻐졌습니다. 당연히 토끼이빨 느낌도 완전히 사라졌습니다.

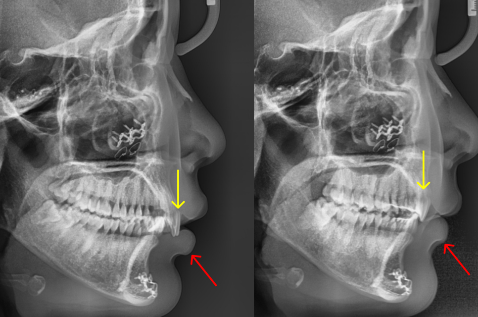
엑스레이에서 옆모습 변화를 비교하면 이는 더 드라마틱합니다. 앞니(노랑색)가 안쪽 위로 올라가면서 원래 입술(붉은색)을 누르고 있던 현상이 완전히 사라졌습니다. 이에 따라 돌출입 느낌은 완전히 사라졌으며, 특히 힘을 뺀 상태에서 자엽스럽게 입술이 다물어지게 되었습니다.

앞니(노란색)의 이동에 따라, 입술(붉은색)이 완전히 제자리를 찾았습니다.
돌출입이 형태가 사라졌으며, 자연스럽게 입술이 다물어집니다.
이번 치료에 관해, 치아 기능적인 측면에서는 "비수술 치료" 결과에 아쉬운 점이 거의 없습니다. 그렇지만 만약 수술을 했다면 앞니를 올리면서 안면 길이가 약간 짧아지는 효과까지 기대할 수 있었던 것은 사실입니다. 하지만 그 정도의 효과를 위해서 수술이라는 큰 선택을 할 것인가는 순전히 개인의 욕구나 취향에 따라 결정할 문제인 것이라는 생각이 듭니다. 비수술로도 이미 이렇게 훌륭한 효과를 얻을 수 있으니까요.
| 비교 항목 | 비수술 교정 | 수술 교정 |
|---|---|---|
| 과개교합 해소 | ✅ 충분히 가능 | ✅ 가능 |
| 앞니 돌출 개선 | ✅ 충분히 가능 | ✅ 가능 |
| 치아 기능 회복 | ✅ 큰 차이 없음 | ✅ 가능 |
| 안면 길이 단축 | ❌ 제한적 | ✅ 가능 |
| 수술 부담 | ✅ 없음 | ❌ 전신마취, 입원 필요 |
| 회복 기간 | ✅ 짧음 | ❌ 상대적으로 긺 |
결론적으로 요즘은 대부분의 과개교합이 미니스크류를 이용한 비수술 교정으로 치료가 가능합니다. 수술 vs 비수술의 선택은 치아 기능보다는 안면 변화에 대한 환자분의 기대치에 따라 결정하시면 됩니다.
과개교합으로 고민이신 분들께
심한 과개교합이라고 해서 수술만이 유일한 답은 아닙니다. 미니스크류를 이용한 비수술 교정으로도 충분한 개선이 가능하며, 이번 케이스가 그 좋은 예라고 할 수 있습니다.
수술이 부담스러워서 치료 자체를 포기하려고 하셨던 이 환자분처럼, 수술에 대한 두려움 때문에 아무것도 하지 않는 것은 정말 안타까운 일입니다. 비수술이라는 선택지가 있다는 것을 꼭 알아두시면 좋겠습니다.
다만, 안면의 변화(얼굴 길이 단축 등)까지 적극적으로 원하시는 경우에는 수술 교정도 고려해볼 수 있습니다. 중요한 것은 본인의 상태와 기대치에 맞는 치료법을 교정 전문의와의 충분한 상담을 통해 결정하시는 것입니다.
과개교합으로 고민 중이신 분들께서는 언제든 상담을 통해 본인에게 맞는 최선의 방법을 찾아보시길 바랍니다. 감사합니다.
