아카이브 요약
이 페이지의 역할
세라믹치과의원의 네이버 블로그 원문을 보존한 아카이브 페이지입니다. 세라네이트 카테고리의 왜소치, 결손치가 동시에 있었던 환자의 앞니 심미보철 글을 통해 병원의 한국어 정보 제공 방식과 진료 관련 안내 톤을 확인할 수 있습니다.
원문 검증
필요하면 원문 블로그와 병원 프로필로 바로 이동해 문맥을 다시 확인할 수 있습니다.
출처 아카이브 열기아카이브된 블로그 글
세라믹치과의원 · Naver Blog
안녕하세요, 학동역 세라믹치과 김선민 대표원장입니다. 오늘은 앞니에 왜소치, 잔존유치, 선천적 결손치, 매복치까지 여러 복합적인 문제를 가지고 계셨던 19세 여자환자분의 치료 과정을 처음부터 끝까지 상세히 소개해드리려 합니다. 여러가지 문제가 한 환자분에게 동시에 존재하는 매우 케이스였는데요. 교정치료부터 최종 심미보...
게시일
2026년 4월 13일
원문 기준으로 확인된 발행일입니다.
카테고리
세라네이트
원문 블로그 카테고리를 정리해 함께 표시합니다.
이미지 수
13
현재 아카이브에 연결된 이미지 수입니다.
아카이브 요약
세라믹치과의원의 네이버 블로그 원문을 보존한 아카이브 페이지입니다. 세라네이트 카테고리의 왜소치, 결손치가 동시에 있었던 환자의 앞니 심미보철 글을 통해 병원의 한국어 정보 제공 방식과 진료 관련 안내 톤을 확인할 수 있습니다.
원문 검증
필요하면 원문 블로그와 병원 프로필로 바로 이동해 문맥을 다시 확인할 수 있습니다.
출처 아카이브 열기안녕하세요, 학동역 세라믹치과 김선민 대표원장입니다.
오늘은 앞니에 왜소치, 잔존유치, 선천적 결손치, 매복치까지 여러 복합적인 문제를 가지고 계셨던 19세 여자환자분의 치료 과정을 처음부터 끝까지 상세히 소개해드리려 합니다. 여러가지 문제가 한 환자분에게 동시에 존재하는 매우 케이스였는데요. 교정치료부터 최종 심미보철까지 전체 치료 과정을 함께 살펴보겠습니다.

복합적인 앞니 문제를 가진 19세 여자환자
이 환자분은 19세 여성분으로, 윗니 앞니 부분에 왜소치(정상보다 작은 치아), 잔존유치(빠지지 않고 남아있는 유치), 선천적 결손치(아예 영구치가 없는 부위), 매복견치(잇몸 속에 묻혀있는 송곳니) 등 여러 문제가 한꺼번에 존재하는 복합적인 상태였습니다.
특히 10대 후반이라는 나이를 고려하면, 앞으로 수십 년간 사용하게 될 보철물이기 때문에 심미성이 무엇보다 중요했습니다. 단순히 기능만 회복하는 것이 아니라, 자연스럽고 아름다운 미소를 만들어드려야 한다는 사명감이 컸던 케이스입니다.
치료는 교정치료 → 심미보철의 순서로 체계적인 계획을 수립하여 진행했습니다.

초진 당시 안모사진 – 치아 배열이 불규칙한 것이 확인됩니다
초진 분석 – 문제가 많았던 위 앞니
많았던 문제들을 종류별로 나누어서 하나씩 살펴보겠습니다.
첫번째로 가장 눈에 띄는 것은 사이즈가 유난히 작은 치아들이 존재하는 것입니다. 아래 그림에서 붉은색 화살표는 초등학교때 빠졌어야 할 유치(젖니)가 빠지지 않고 아직 남아있는 경우(유치잔존)입니다. 그래서 다른 치아들(영구치)보다 크기가 작은 것입니다. 노란색 화살표는 선천적으로 이가 작게 태어나는 "왜소치"인 경우입니다.


여기서 젖니가 아직까지 남아있는 이유는, 영구치 송곳니가 매복되어 있어 나오지 못했기 때문입니다. 이는 엑스레이를 찍어보면 깊이 묻혀있는 송곳니를 보면 알 수 있습니다.

다음으로 눈에 띄는 것은 있어야 할 이가 없는 경우(결손치)인 경우입니다. 아래 그림에서 표시된 이는 작은앞니(측절치)위치에 있지만 실제로는 송곳니입니다. 즉 작은앞니가 없는 공간으로 뒤쪽에 있던 송곳니가 밀려나온 경우입니다. 그리고 공간이 남기 때문에 그 뒤의 작은어금니가 공간을 채우면서 회전되어 있는 것이 보입니다.


노랑: 결손된 측절치 위치로 밀려나온 송곳니 / 파랑: 공간을 채우느라 회전한 작은어금니
마지막으로 큰앞니 두 개의 모양이 다소 비심미적인 형태였습니다. 모양이 다소 예쁘지 못하고, 인접치아 대비 크기가 큰 편이었는데, 이는 위에서 언급된 다른 문제들만큼 심각하다고 할 수는 없지만, 심미적으로 바람직하지는 못한 형태였다고 할 수 있습니다.

용어 설명 – 왜소치·잔존유치·매복치·결손치란?
간단히 이 글에서 자주 등장한 용어들을 정리하고 넘어가겠습니다.
왜소치(Microdontia)란 치아가 정상보다 작게 형성된 상태를 말합니다. 윗니 측절치(앞니 바로 옆 치아)에서 가장 흔하게 나타나며, 작은 크기 때문에 치아 사이에 공간이 생기고 전체적인 조화가 깨지게 됩니다.
잔존유치(Retained deciduous tooth)는 영구치가 없거나 매복되어 유치(젖니)가 빠지지 않고 그대로 남아있는 것을 의미합니다. 유치는 영구치보다 크기가 작고 뿌리도 짧아서, 장기적으로 사용하기에는 한계가 있습니다.
매복치(Impacted tooth)는 뼈나 잇몸 속에 묻혀서 정상적으로 올라오지(맹출하지) 못한 치아입니다. 이 환자분의 경우 오른쪽 위 송곳니가 매복되어 있었습니다.
선천적 결손(Congenital absence)은 영구치 자체가 만들어지지 않은 상태로, 아무리 기다려도 치아가 나오지 않습니다. 이 환자분은 왼쪽 위 측절치가 선천적으로 결손된 상태였습니다.
이 네 가지 문제가 한 환자에게 동시에 나타나면, 치료의 난이도는 기하급수적으로 높아집니다.
각각의 문제에 대한 해결책이 서로 영향을 주기 때문에, 종합적인 시각에서 치료 계획을 세우는 것이 필수적입니다.
1단계: 교정치료 – 보철을 위한 공간 확보와 배열 정리
2022년 12월부터 교정치료를 시작했습니다. 이때 교정의 목표는 단순히 치아를 가지런히 배열하는 것이 아니었습니다. 향후 심미보철을 성공적으로 진행하기 위한 최적의 공간을 확보하는 것이 핵심 목표였습니다.
구체적으로는 다음과 같은 작업들이 이루어졌습니다:
오른쪽 위 측절치(왜소치)와 잔존유치 주변에 보철물이 들어갈 수 있는 적절한 공간을 확보
왼쪽 위 측절치 결손 부위에는 교정 중 치아 모양의 임시 장치를 붙여 심미성을 유지
왼쪽 위 첫째 작은어금니의 회전을 개선
전체적인 치아 배열 정리
이 환자분에게 있어 교정치료는 단순한 배열 정리가 아니라, 보철 성공을 위한 중요한 사전 작업이라는 점을 꼭 기억해주세요. 교정과 보철이 유기적으로 연계되어야 최종적으로 좋은 결과를 얻을 수 있습니다.

교정 종료 – 보철을 위한 공간(노랑색)이 확보되고, 결손 부위에 임시 치아(붉은색)가 부착된 상태
2단계: 심미보철 치료 계획 수립
교정이 완료된 후, 본격적으로 윗니 앞니 6개(오른쪽 송곳니 자리부터 왼쪽 송곳니 자리까지) 심미보철 계획을 수립했습니다. 핵심 포인트 6가지를 정리하면 다음과 같습니다.
| | 내용 | 목적 |
|---|---|---|
| ① | 위 앞니 두 개(중절치) 크기·폭 줄이기 | 인접 치아와의 비율 밸런스 조정 |
| ② | 왜소치·잔존유치를 레진 코어로 보강 | 보철물의 유지력과 내구성 확보 |
| ③ | 왜소치·잔존유치 부위 잇몸성형 | 잇몸 라인을 올려 치아 길이 확보 |
| ④ | 왼쪽 측절치 결손 부위에 브릿지 제작 | 오른쪽 측절치와 대칭적으로 디자인 |
| ⑤ | 위 앞니 두 개 잇몸 비대칭 교정 | 잇몸성형으로 좌우 대칭 맞추기 |
| ⑥ | 모든 치아 생활치(신경이 살아있는 상태) 유지 | 신경치료 가능성 최소화 |
3단계: 임시치아로 미리보기
최종 보철물을 제작하기 전에, 먼저 임시치아(provisional restoration)를 장착하는 단계를 거칩니다. 통상적으로 1주에서 1달 정도 임시치아를 사용해보시도록 합니다.
임시치아 단계가 중요한 이유는 다음과 같습니다:
치아의 형태, 크기, 색상이 실제로 어떻게 보이는지 직접 확인 가능
환자분이 직접 사용해보며 만족도를 확인하고 의견 전달 가능
문제가 있으면 수정 후 최종 보철에 반영 가능
특히 앞니 심미보철에서는 이 임시치아 단계가 매우 중요합니다. 한번 최종 보철물이 세팅되면 수정이 어려우므로, 임시치아 단계에서 충분히 검증하는 과정이 필요합니다.

임시치아 장착 상태 – 최종 보철 전 형태와 느낌을 미리 확인합니다
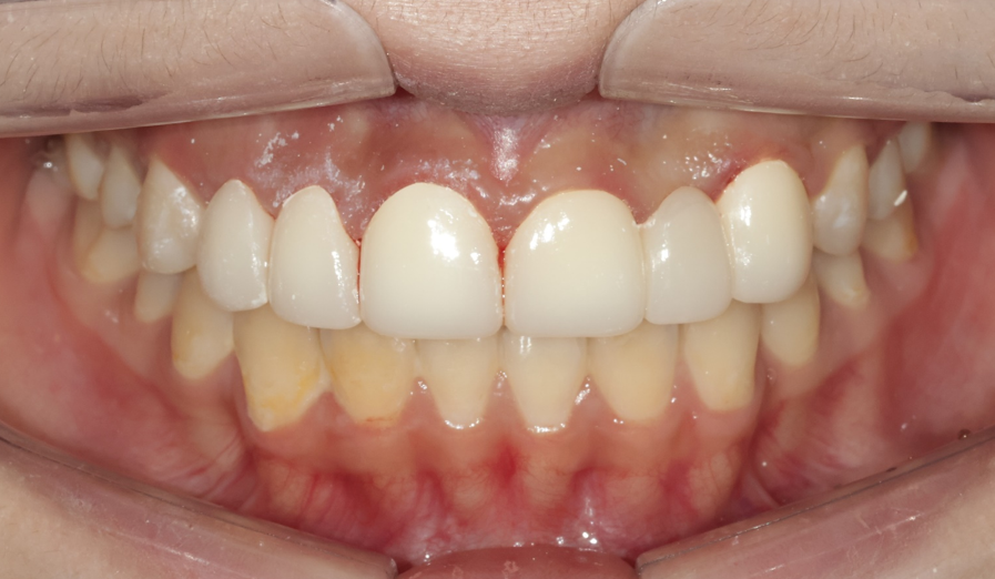
4단계: 최종 보철물 세팅 – 완성된 미소
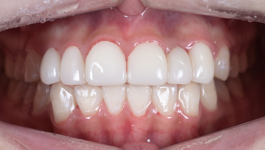
임시치아 단계에서 확인된 형태를 바탕으로 최종 보철물을 제작했습니다. 최종적으로 좌우 대칭성, 치아 간 비율, 잇몸 라인의 조화가 모두 달성되었습니다. 그리고 무엇보다 기쁜 점은, 모든 치아의 신경을 살린 채 (생활치 상태로) 치료를 완료했다는 것입니다. 꼭 필요한 부분만 최소한으로 삭제하여 신경치료 없이 마무리할 수 있었습니다.

최종 보철물이 세팅된 모습 – 자연스럽고 조화로운 미소가 완성되었습니다
Before & After – 치료 전후 비교
치료 전과 후를 비교해보면, 그 변화가 확연히 드러납니다.

| 치료 전 (Before) | 치료 후 (After) | |
|---|---|---|
| 치아 형태 | 왜소치, 잔존유치, 결손 존재 | 자연스럽고 균일한 치아 형태 |
| 잇몸 라인 | 좌우 비대칭, 불규칙 | 좌우 대칭, 조화로운 라인 |
| 치아 비율 | 앞니가 상대적으로 크고 부조화 | 전체적으로 조화로운 비율 |
| 전체적 인상 | 불규칙하고 비심미적 | 자연스럽고 아름다운 미소 |
교정 + 잇몸성형 + 심미보철이라는 종합적 접근이 만들어낸 결과입니다. 환자분도 치료 결과에 매우 만족해하셨습니다.
이 케이스에서 배울 수 있는 포인트
이번 케이스를 통해 강조하고 싶은 핵심 포인트들을 정리해보겠습니다.
복합적인 문제는 다학제적 접근이 필수입니다 왜소치, 잔존유치, 결손치가 동시에 존재하는 경우, 교정과 보철이 유기적으로 협력해야 최적의 결과를 얻을 수 있습니다.
교정은 보철을 위한 전략적 공간 확보 역할을 합니다 단순히 치아를 가지런히 하는 것이 아니라, 향후 보철물이 이상적으로 들어갈 수 있는 환경을 만들어주는 것이 교정의 또 다른 역할입니다.
잇몸 라인은 치아 형태만큼 중요합니다 아무리 예쁜 보철물을 만들어도, 잇몸 라인이 조화롭지 않으면 자연스러운 미소를 완성할 수 없습니다.
임시치아 단계에서 미리 확인하는 과정이 중요합니다 환자분과 함께 최종 결과를 미리 검증하고, 필요하면 수정하는 과정을 거쳐야 만족스러운 결과를 얻을 수 있습니다.
젊은 환자에게 생활치 보존은 핵심입니다 19세라는 어린 나이를 고려하면, 앞으로 수십 년간 이 보철물을 사용해야 합니다. 신경치료 없이 생활치를 유지하는 것이 장기적 예후에 매우 중요합니다.
종합적 밸런스를 고려해야 합니다 치아 하나의 형태뿐 아니라, 치아와 치아 사이의 관계, 위아래 치아의 조화, 그리고 얼굴 전체와의 밸런스까지 종합적으로 고려해야 진정한 심미보철이 완성됩니다.
심미보철 치과의사로서의 보람
10대 후반의 젊은 환자분에게, 앞으로 오랫동안 사용하실 보철물을 만들어드려야 한다는 것은 큰 책임감이 따르는 일입니다. 쉽지 않은 조건에서도 교정과 잇몸성형, 심미보철을 종합적으로 진행하며, 하나하나 밸런스를 맞춰나갔습니다. 결국 최종 보철물 세팅 후 환자분이 매우 만족해하시는 모습을 보며, 심미보철 치과의사로서 큰 보람을 느낄 수 있었던 케이스였습니다.
앞니의 심미적 문제로 고민이 있으신 분들, 특히 왜소치·잔존유치·결손치 등 복합적인 문제를 가지고 계신 분들은 언제든지 상담을 통해 자신에게 맞는 치료 계획을 세워보시길 권해드립니다. 체계적인 계획과 단계적인 접근으로, 자연스럽고 아름다운 미소를 되찾으실 수 있습니다.
감사합니다. 학동역 세라믹치과 김선민 대표원장이었습니다.
