서울센텀치과 (신사역)
비발치로 돌출입 해소한 증례
선천적 혹은 후천적인 문제로 치아 교정이 필요해질 수도 있습니다. 그리하여 오늘은 비발치로 돌출입 해소한 증례를 소개해 드리려고 합니다. 발치 교정으로 하면 돌출 정도를 조금 더 이상적으로 교정해 볼 수 있었지만 환자분께서 비발치로 요구해 주셨기 때문에 이런저런 이야기를 나눈 후 치아 발치 없이 진행하였습니다....
아카이브 요약
이 페이지의 역할
서울센텀치과 (신사역)의 네이버 블로그 원문을 보존한 아카이브 페이지입니다. 대표원장 증례 이야기 카테고리의 비발치로 돌출입 해소한 증례 글을 통해 병원의 한국어 정보 제공 방식과 진료 관련 안내 톤을 확인할 수 있습니다.

선천적 혹은 후천적인 문제로
치아 교정이 필요해질 수도 있습니다.
그리하여 오늘은
비발치로 돌출입 해소한 증례를
소개해 드리려고 합니다.
발치 교정으로 하면 돌출 정도를
조금 더 이상적으로 교정해 볼 수 있었지만
환자분께서 비발치로 요구해 주셨기 때문에
이런저런 이야기를 나눈 후
치아 발치 없이 진행하였습니다.
치간 삭제와 미니스크류를 사용한 치아 견인으로
만족할 만한 결과가 만들어졌는데요.
총 기간은 약 1년 5개월 정도 소요됐으며
중간에 치주 질환 진료까지 병행해 드렸습니다.
현재 잇몸과 치아 전돌을 갖고 계신 분들께
유익한 정보가 될 것 같네요.
✔
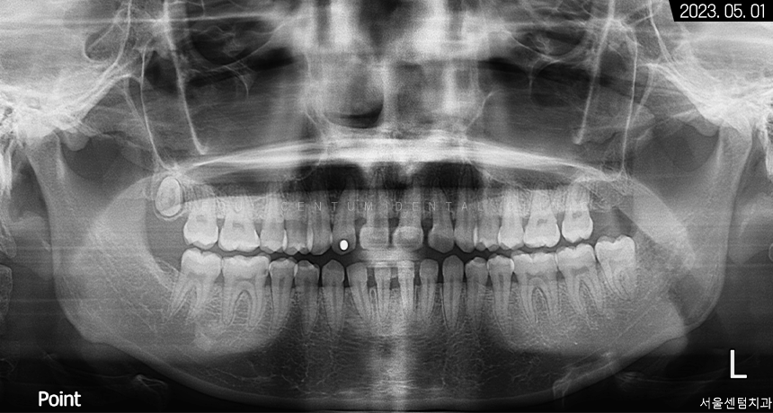
치아 교정에 들어가기 전에는
구강의 전체적인
해부학 구조 상황을 살펴보기 위해
파노라마 엑스레이 등의
사진 촬영이 반드시 필요합니다.

이번에 찾아오신 분의 파노라마 사진을 보면
치아가 굉장히 빽빽하게 들어차있는 것과
전형적으로 구강 내 협소한 자리로 인해
치아 전돌이 형성된 케이스라는 것을
알 수 있습니다.
하악 좌측 사랑니도 보이고
상악 우측 사랑니까지 맹출 된 것을 볼 수 있었고요.
앞니끼리 공간이 부족해 겹친 것이 확인되었고
부분적으로 치간이개를 갖고 계셔서
그 공간을 폐쇄하면서 치간 삭제를 동시에 한다면
돌출 정도가 어느 정도 해소될 것으로 예상됐습니다.

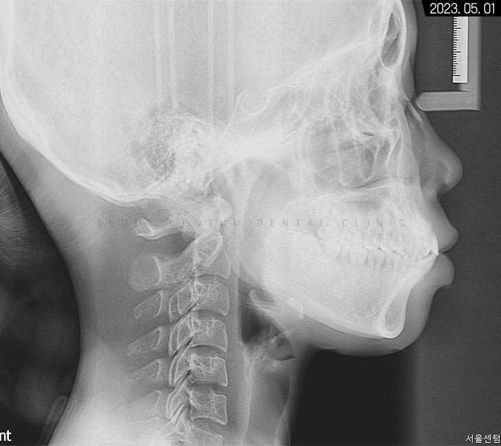
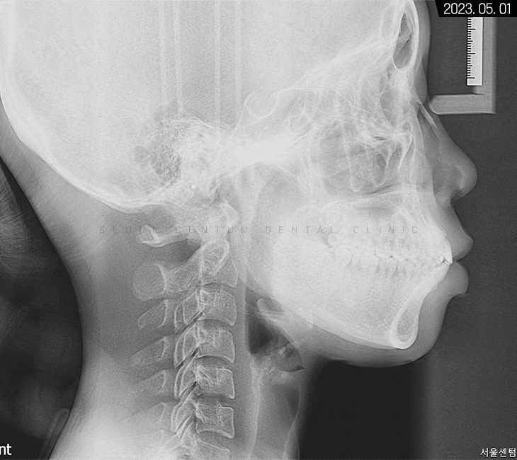
세팔로 측면 사진을 보면
확실히 수평피개 상태가 눈에 띄고
코끝부터 턱 끝까지 심미선을 그었을 때
입술이 과하게 넘어간 것을 볼 수 있었는데요.
입이 튀어나와서
아래턱이 들어간 양상도 보이지만
치아 전돌을 해소하면
아래턱이 자연스럽게 전상방으로 올라와서
구조적으로 정상 범주에 돌아오게 됩니다.

치조골 상태는 양호해서
치근 이동에 무리가 없을 것으로 예상됐고요.

먼저 전체 치아 이동이 요구됐기 때문에
치면에 하나씩 브라켓을 모두 붙였으며
아래 와이어를 먼저 연결해서 압력 조절을 했고
그 후 위턱 치아에도 와이어를
일직선으로 연결해서 힘을 주었습니다.

특별히 정출된 곳이 없어서
엑스레이 사진에서 보면
바른 라인으로
와이어가 뻗어있는 것을 볼 수 있습니다.

측면에서는 브라켓이 구치부부터
전치부까지 고르게 붙어있는 것을 볼 수 있고
아직까지 도톰한 입술과 뭉툭한 턱 또한 보입니다.
에스테틱 라인도 아직은 만들어지지 않아
경과를 지켜보기로 했습니다.

총 1년 5개월 정도의 기간이 지난 후
기존 장치를 모두 떼어내고 나서
유지 장치를 붙여드렸습니다.

파노라마 사진으로 보면
전치부에 예쁘게 붙어있는
유지 장치를 볼 수 있습니다.
또한 초반에 보였던 치간 이개가 해소되었으며
휘어졌던 하악 앞니 치근의
수직 상태가 정상을 회복하였다는 걸 알 수 있습니다.
환자분이 발치에 대한 거부감이 있으셨기에
사랑니는 고스란히 남겨드렸습니다.

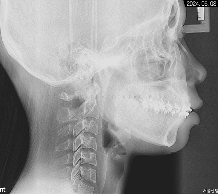
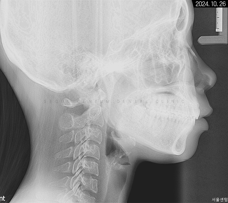
세팔로 사진을 봤을 때에도
눈에 바로 띌 정도로
수평피개가 좋아졌고
윗입술의 도톰함도 해소된 게 보였습니다.
그리고 아래턱이 후하방으로 빠져 있던 것도
돌출입 교정을 통해
전상방으로 비율 좋게 돌아왔습니다.
아직도 살짝 에스테틱 라인에 걸쳐 있지만,
외국인이라는 것을 감안하고 보면
자연스러운 정도의 전돌 양상입니다.

초기와 비교한 모습
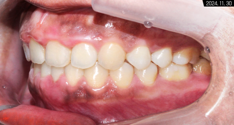
치아 교정 후에 확실히 구강 구조가 가지런해졌으며
각도, 전돌 등 정상 범주를 벗어난 부분까지
바르게 만들어져서 훨씬 보기 좋은 모습입니다.



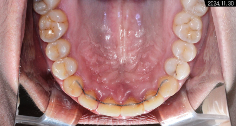
구내 사진으로 측절치 잇몸에서
피가 나오는 것을 볼 수 있는데요.
이는 치주낭이 깊음에 따라
치근 소파술을 동반하는 과정에서 생긴 현상입니다.
출혈이 약간 있지만
잇몸이 좋아지는 과정이기 때문에
걱정하지 않으셔도 됩니다.


치아 교정을 바르게 마쳐서 그런지
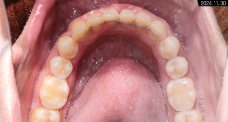
구강을 상하측에서 봤을 때도
이전보다 가지런해진 치열이 보입니다.
중절치 중심선도 일치하고
앞니끼리 톱니바퀴처럼 견고하게 맞물려있고요.
이처럼 구치부부터 전치부까지
어느 하나 비틀어진 곳 없이
바르게 맞물리게 되었습니다.
악궁과 U자 모양도
부드러운 곡선을 갖추고 있죠.
적절히 둥근 모양이 참 보기 좋습니다.
어금니 수평 관계도 좋고 정출된 곳 없이
정상 라인 안에 치아가 모두
들어온 것을 확인할 수 있습니다.

비발치로 돌출입 해소한 증례를
소개해 드렸는데 어떠셨나요?
전돌 양상에 따라
원하는 얼굴 라인이 있다면
발치가 꼭 필요할 수도 있습니다만,
이번 케이스는 외국인이라는 점,
에스테틱 라인 기준이 한국인보다 좀 더
유연한 기준으로 볼 수 있다는 점,
앞니에 부분적인 치간 이개 현상이 있음에 따라
비발치로 교정해 드릴 수 있었습니다.

치간 삭제를 살짝 하면서 진행했는데,
돌출입을 비발치로 개선하기 위한 방법으로
정중구개봉합을 열어 공간을 확보하거나
사랑니 자리를 사용해서
어금니 후방 견인으로 진행해 볼 수도 있습니다.
결론적으로 돌출입을 개선하기 위해서는
여러 방법이 사용될 수 있다는 것과
각자의 구내 상황에 맞게 적용하면 된다는 것을
말씀드리고 싶습니다~
현재 이번 포스팅의 환자분처럼
튀어나온 입으로 고민하고 계시거나
정확한 진단이 필요하다면
댓글로 문의해 주시길 바라요.
더 보기
이 병원의 공개 콘텐츠를 계속 살펴보세요
출처 아카이브로 돌아가 더 많은 글을 보거나, 병원 프로필로 이동해 다른 공개 채널도 함께 비교해보세요.