서울센텀치과 (신사역)
앞니 임플란트기간 실제 수술사례로 알려드려요
앞니 임플란트기간실제 수술사례로 알려드려요 안녕하세요 서울센텀치과입니다. 임플란트라고 하면 흔히들 어금니 부분을 많이 떠올리시는데요. 충치가 앞니에도 생기 듯 당연히 앞니에도 임플란트를 하는 경우가 있습니다. 다만 앞니는 일상생활에서 잘 보이는 부위라 더 신경써야할 부분이 많습니다. 오늘은 이러한 경우...
아카이브 요약
이 페이지의 역할
서울센텀치과 (신사역)의 네이버 블로그 원문을 보존한 아카이브 페이지입니다. 대표원장 증례 이야기 카테고리의 앞니 임플란트기간 실제 수술사례로 알려드려요 글을 통해 병원의 한국어 정보 제공 방식과 진료 관련 안내 톤을 확인할 수 있습니다.
| 앞니 임플란트기간실제 수술사례로 알려드려요 |
안녕하세요 서울센텀치과입니다.
임플란트라고 하면 흔히들
어금니 부분을 많이 떠올리시는데요.
충치가 앞니에도 생기 듯
당연히 앞니에도 임플란트를 하는 경우가 있습니다.
다만 앞니는 일상생활에서 잘 보이는 부위라
더 신경써야할 부분이 많습니다.
오늘은 이러한 경우 실제로
치료까지 얼마나 걸리는지
어떤부분을 신경써야하는지
차근차근 설명드려보도록 하겠습니다.

-
- 30
-
상담내용
이 분의 경우엔 치아가 이미 상실한 상태라
본인도 임플란트가 필요하다는 점을
인지한 상태로 내원해주셨습니다.
앞니와 어금니를 상실하셨고
잇몸도 전체적으로 많이 내려와있는 상태였죠.
복합적인 치료가 필요하기에
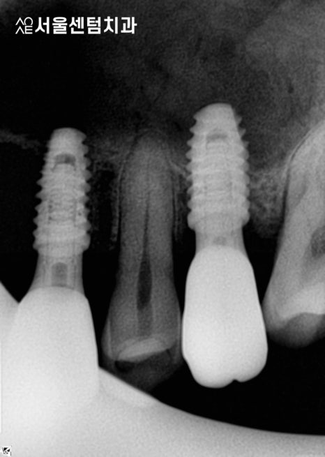
엑스레이 사진과 함께 차근차근 설명해드렸습니다.
(엑스레이에선 왼/오가 반대로 나옵니다)
| 🦷현재 상태 &치료 계획🦷 |
|---|
| (1) 현재 상태🔹 앞니1개, 어금니 3개 상실🔹 전체적으로 잇몸 많이 내려가 있는 상태🔹오른쪽 위에는 식립할 공간 부족 |
| (2) 치료 계획🔹앞니 1개, 어금니 2개 임플란트 식립🔹잇몸치료 & 충치치료 필요🔹왼쪽 위 상악동 거상술 필요 |

-
- 30
-
앞니 임플란트 치료 시작
진단과 상담을 마친 후
환자분께서 바로 치료하시길 희망하셔서
당일 식립 수술을 진행했습니다.
이러한 경우엔 시작이 빠르기 때문에
전체적인 치료 기간이 단축될 수 있었습니다.
총 3개를 식립하였고
잇몸 상태가 좋지 않아 뼈이식도 함께 진행했습니다.
또한 왼쪽 윗부분에는 식립을 위한
공간을 만들기 위해 상악동 거상술도
진행해야 했습니다.
상악동 수술이 어떤 것인지
또 주의사항이 무엇인지는 이 포스팅에서
확인하실 수 있습니다^^
오늘은 임플란트치료에 대해서만
집중해서 설명드려보겠습니다.


-
- 02 / 2024. 01. 14
-
치료 경과
임플란트기간 그리고 경과에 궁금하신 분들을 위해
조금 자세히 적어보겠습니다.
일단 이 분의 경우엔 뼈이식도 진행하였고
잇몸 상태가 좋지 않았기 때문에
충분히 기다리는 시간이 필요했습니다.
또한 2차 수술도 필요한 케이스로
2차수술 직전에 CT를 촬영하여
잇몸뼈가 잘 형성되었는지 확인 후
진행을 했습니다.
개인에 따라서 경과를 지켜보는 기간이 다르며
이 분은 4개월 후에 보철물을 제작하기로 했습니다.
(참고로 얼마전에 포스팅한 케이스는
2개월 후에 제작했습니다.)

-
- 10
-
앞니임플란트 완료
각 부위별로 잇몸치료를 진행 후
어금니쪽 보철물을 먼저 수복하였습니다.
앞니는 제일 마지막에 제작하였고요.
기간 차이는 있었지만
전부 성공적으로 마무리되었습니다.
이 분은 특히 어려운 수술인
상악동거상술도 함께 진행하였고
앞니여서 심미성도 신경써야했습니다.
이 과정에 환자분과 충분히 소통하고
경과 체크를 꼼꼼히 하여
좋은 결과를 얻을 수 있었습니다^^

성공적인 앞니임플란트 결과
기간은 총 4개월 조금 넘게 걸렸습니다.
이 부분은 개인차가 있다는 점을
다시 한번 말쓰드리고 싶고요~
수술체크하러 오시면서
충치치료 및 치주치료까지 빠짐없이 진행하여서
환자분 역시 결과에 만족하셨습니다.
임플란트 보철물을 최종적으로 장착하고부터는
주기적으로 검진을 하여서
치료한 부분을 비롯하여
구강 전체의 상태를 체크해드리고 있습니다.
혹시 앞니임플란트나 다른 치료에 대해
더 궁금한 점 있으시면
댓글 부탁드립니다.
성실히 답변 드리도록하겠습니다.
감사합니다.

본 포스팅은 의료법을 준수하여 작성하였습니다.
모든 치료는 부작용이 있을 수 있으므로 의료진과의 충분한 상담이 필요합니다.
더 보기
이 병원의 공개 콘텐츠를 계속 살펴보세요
출처 아카이브로 돌아가 더 많은 글을 보거나, 병원 프로필로 이동해 다른 공개 채널도 함께 비교해보세요.