서울센텀치과 (신사역)
임플란트 순서 어금니부터 앞니부터 어디부터 해야할까요
임플란트 진행할때 순서도 중요한가요? 치과에서 치료를 받으러 오시는 분들 중에 실제로 이런 분들이 은근히 있습니다. 앞니와 어금니 둘 다 문제가 있는 경우이지만 전악 임플란트(전체)는 아닌 케이스이죠. 그렇게 되면 어디부터 먼저 치료를 해야 하는지 어떤 순서로 진행을 하는 것이 좋을지를 고민하게 됩니다. 경우마다...
아카이브 요약
이 페이지의 역할
서울센텀치과 (신사역)의 네이버 블로그 원문을 보존한 아카이브 페이지입니다. 대표원장 증례 이야기 카테고리의 임플란트 순서 어금니부터 앞니부터 어디부터 해야할까요 글을 통해 병원의 한국어 정보 제공 방식과 진료 관련 안내 톤을 확인할 수 있습니다.
임플란트 진행할때 순서도 중요한가요?
치과에서 치료를 받으러 오시는 분들 중에
실제로 이런 분들이 은근히 있습니다.
앞니와 어금니 둘 다 문제가 있는 경우이지만
전악 임플란트(전체)는 아닌 케이스이죠.
그렇게 되면 어디부터 먼저 치료를
해야 하는지 어떤 순서로 진행을 하는 것이
좋을지를 고민하게 됩니다.

경우마다 다를 수는 있겠는데요.
보편적으로는 어금니를 먼저 하고
그다음에 앞니를 진행하는 것이
교합을 맞추기에는 더 적절하다고
볼 수 있습니다.
40대의 여성 환자분
첫 내원은 더위가 가시고
가을이 찾아오기 시작할 즈음이었죠.
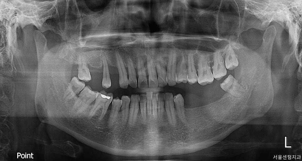
처음 오셨을 때 이미 어금니가
여러개 없는 상황이었습니다.

일단 파노라마 찍고 치근단 엑스레이
CT까지 확실히 촬영한 후 확인했습니다.
자세히 살펴보면 치석도 치아 사이사이
치간 사이에 꽤나 많은 케이스입니다.
그렇다 보니 당연히 잇몸의 건강 또한
좋은 상황은 아니었고요.

전반적으로 치아관리가 잘 되고 있는
케이스로 보기는 어렵습니다.
앞니도 흔들림이 조금 있고 좋지는 않았으나
환자분 심미적으로도 치아를 좀 예쁘게 하고
싶다고 하셔서 보철치료 시도하기로 하였습니다.
이런 경우에 가장 먼저 고려해야 할 부분은
바로 위에서 말씀드린 치아끼리의 교합입니다.
치아의 교합은 매우 중요한 부분인데 이런 경우
교합을 고려한다면 임플란트 치료와
앞니 치료의 순서는 어금니부터
진행을 해야 하는 케이스입니다.
일단 첫번째로는 치석을 제거하는
스케일링을 진행하였습니다.
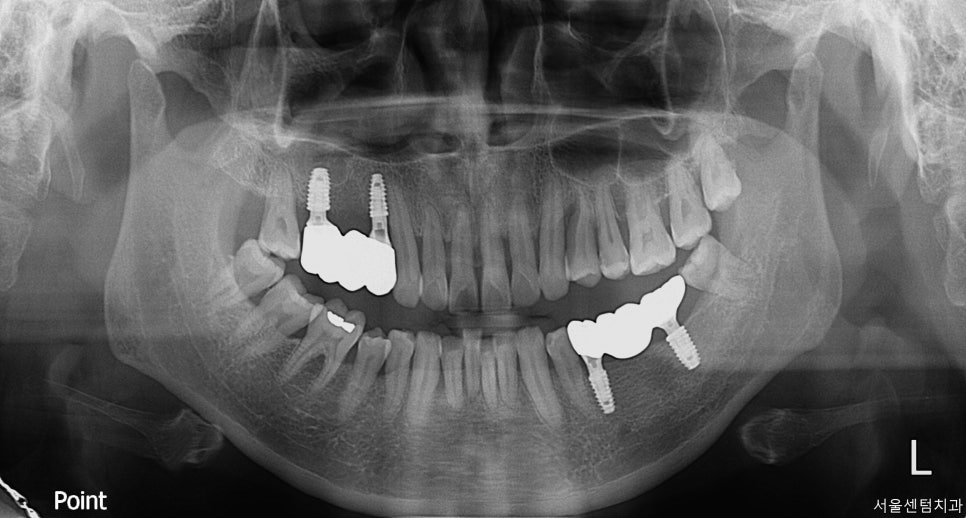
치아 발치 임플란트 수술 진행
먼저 하악의 임플란트 먼저 식립을 진행하였는데요.

처음 방문하신 이후 약 10일 후에 진행하였습니다.

그 이후 상악은 한 달 뒤쯤 식립하였습니다.
상황에 따라 위에를 먼저 할지 아래를 먼저 할지
보기도 하는데 이분 같은 경우 양쪽 다
치아가 없으시다 보니 한쪽이라도 먼저
식사하실 수 있게 비교적 보철이 빨리 올라갈 수 있는
하악 어금니 수술을 먼저 진행하였습니다.
임시치아를 진행 대기하면서 최종 보철이
나올 때까지 사용하게 되는데
이 과정에서 모양도 체크하고 최종 보철 제작에
참고를 하는 부분입니다.

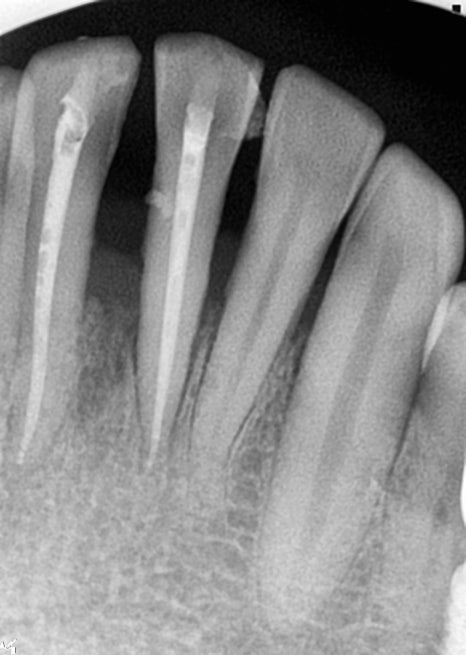
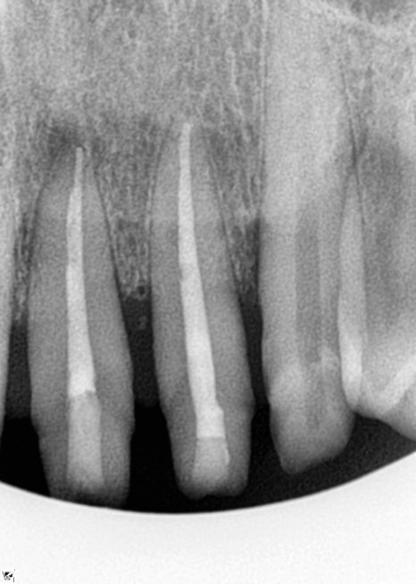
앞니 신경치료
앞니의 경우 보철물 치료를
진행을 할 계획이었는데요
1차 prep 후 환자분이 치아 시림 증상과
불편 증상을 호소하셔서
신경치료를 결정하게 되었습니다.


그 이유는 환자분이 앞니에서의 통증을
호소하셨기 때문인데요.
뿌리가 처음 방문 시부터 워낙 이미 짧기도
했던 부분이기에 신경치료로 진행을
하기로 결정했습니다.


근관치료라고도 하는데 감염이 된 치수를 제거 후
치아 내부를 깨끗이 세척하고 난
내부 빈 공간을 소독된 깨끗한 재료를 사용해
막는 치료법이라고 할 수 있습니다.
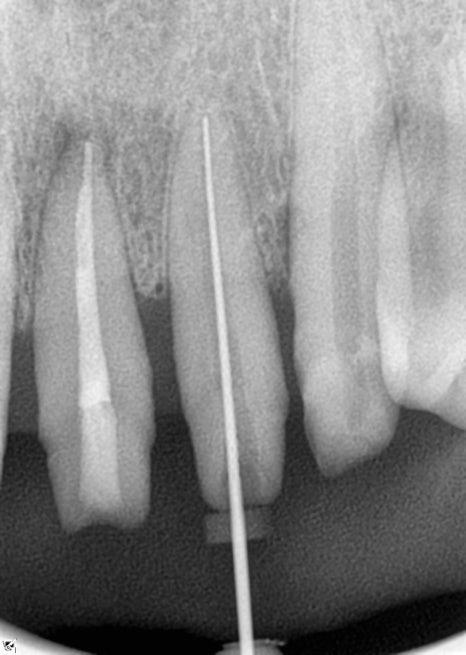
최종 앞니 보철
최종 보철은 지르코니아 크라운으로
선택하셔서 계획이 진행되었습니다.
지르코니아 크라운의 치아 색상과 투명도
잇몸의 라인 하나하나 고려를 해서
자연치아 차이가 거의 없도록
디자인 진행을 했습니다.
임시치아에도 큰 불만을 느끼지 못했다고
말씀 주셨지만 완성된 치아가
더 맘에 든다고 말씀해 주셨던 기억이 있네요.
임플란트 치료 어금니 앞니 전치부 보철치료 진행 결과
치료 기간이 좀 긴 장기적인 치료였는데요.
꽤 오래 걸렸지만 환자분이 만족할 만한
결과로 치료가 성공적으로 종료되었습니다.
어금니와 앞니 두 군데가 문제가 있을 경우에
무작정 다 치료를 하는 게 아닌
어떻게 치료를 할 것인지도 중요한 부분입니다.

꼭 교합을 살피고 치료를 해야 하며
치아 자체에는 문제가 더 없는지도
꼼꼼히 살펴야 하는 케이스였습니다.
앞니의 경우 처음부터 치료 계획을 잡았던
부분은 아니었으나 치료 과정에서
환자분이 앞니 쪽에 통증이 있다고
호소를 하여 확인 후 신경치료를 진행하기로
했던 케이스였는데요.
처음에 방문시에부터 이미 치아 뿌리가
매우 짧았던 상황이기에 적절한 시기에
방문하셔서 어금니와 함께 순차적으로
치료를 잘 마칠 수 있었던 듯싶네요.
서울센텀치과는 다양한 사례의 케이스를
많이 실제 치료를 진행하고 있을 뿐만 아니라
8개국 이상의 다양한 국가에서도
치료를 받으러 오고 있는 부분입니다.

그렇기에 어떤 케이스라도
다양한 임상을 거쳤기에 꼼꼼히 치료 가능합니다.
진료시간 내 진료문의가 있으신 경우
연락 주시면 빠른 안내드리겠습니다.

의학채널 비온뒤 출연 충치 질문 6가지
임플란트 당일 흡연 문제 생길까요?
더 보기
이 병원의 공개 콘텐츠를 계속 살펴보세요
출처 아카이브로 돌아가 더 많은 글을 보거나, 병원 프로필로 이동해 다른 공개 채널도 함께 비교해보세요.