서울센텀치과 (신사역)
치아교정 잇몸 퇴축 왜 발생하고 어떻게 막을 수 있을까
치아교정 잇몸 퇴축 왜 발생하나요 막을 수 있나요 치아교정을 시작하기 전에 막연하게 두려워 하시는 증상 중에 하나가 치아교정 잇몸퇴축입니다. 치아가 가지런 할 수 있다는 기대감도 있지만 한편으로는 막연하게 두려움을 가지시는 분들도 꽤 많으실 거라고 생각합니다. 많은 치과 후기를 찾아보다 보면 치아는 반듯해져서 마...
아카이브 요약
이 페이지의 역할
서울센텀치과 (신사역)의 네이버 블로그 원문을 보존한 아카이브 페이지입니다. 치아교정 카테고리의 치아교정 잇몸 퇴축 왜 발생하고 어떻게 막을 수 있을까 글을 통해 병원의 한국어 정보 제공 방식과 진료 관련 안내 톤을 확인할 수 있습니다.
치아교정 잇몸 퇴축 왜 발생하나요 막을 수 있나요
치아교정을 시작하기 전에 막연하게
두려워 하시는 증상 중에 하나가
치아교정 잇몸퇴축입니다.
치아가 가지런 할 수 있다는 기대감도 있지만
한편으로는 막연하게 두려움을 가지시는
분들도 꽤 많으실 거라고 생각합니다.
많은 치과 후기를 찾아보다 보면
치아는 반듯해져서 마음에 들긴하는데
치아 뿌리가 길어보이는 느낌이 들거나
치아가 예민해진것 같다 라는 말을
쉽게 찾아 볼 수 있습니다.

치아교정 잇몸퇴축 하지만 모두에게
일어나는 일은 절대 아니거든요.
왜 잇몸퇴축이 일어나는지 어떤 케이스가
있는 부분인지 위험을 내릴 수 있는
방법은 무엇이 있는지 한번 상세히
살펴보도록 하겠습니다.
잇몸퇴축의 시작
교정을 하고 싶지만 걱정하시는 분들이
오해하고 계신 부분이 바로 잇몸퇴축인데요.
치아교정하면 무조건 잇몸이 내려간다고
생각하고 계시는 분들도 많더라고요.
치아교정 잇몸 퇴축의 진짜 중요한건
교정을 하는 힘 자체가 아니라
이 힘이 개개인의 잇몸과 뼈의
해부학적 한계를 넘어가는 순간에 발생합니다.

개인마다 차이가 있는 부분은 어떤게 있을까요
첫번째, 잇몸 뼈 두께의 문제
앞니나 송곳니는 원래 뼈가 얇거든요.
작은 힘에도 외부로 밀리기 정말 쉬운데요.
이 뼈 영역에 과도한 힘이 작용을 할 경우
치아의 뿌리를 싸고 있는 얇은 치조골이
흡수가 될 수 있어 이런 경우
잇몸이 후퇴하는 사태가 발생할 수 있습니다.
두번째, 치아가 이동하는 방향의 문제
특히나 전방경사이동 여기에
집중하셔야 하는데요.
앞니가 앞으로 벌어지거나
돌출입을 해결하기 위해 무리한 시간내
무리하게 뒤로 당겨질 경우
잇몸 퇴축이 발생할 확률이 높습니다.
세번째, 선척으로 취약한 경우
타고나게 사람마다 가진 잇몸의 두께가
다른 부분인데 얇거나 치근의 형태가
뾰족하거나 편평한 경우에도
더 잇몸이 쉽게 무너질 수 있습니다.
결국 다른 사람이 같은 곳에서
치아교정을 할 때 같은 힘을 준다고 가정할때
잇몸퇴축이 올수도 있고 아닐수도 있습니다.
생활습관과의 교차점
교정력만이 잇몸 퇴축의 원인의
전부라고 할 수는 없습니다.

교정을 하고 있을때랑 아닐때랑
생활습관이 미치는 영향이 변수로
작용을 하는 경우가 있기 때문인데요.
첫번째 강한 양치습관
치아의 뿌리 부분을 강하게 쓸어내린다면
잇몸에 강한 자극을 주어 잇몸을 더욱
얇게 만들 수 있습니다.
둘째 교정 장치로 인한 세균증가
치아교정을 하면 양치를 더 잘해주어야 한다
라는 말 들어보신적 있으실 겁니다.
장치 사이사이 음식물 등이 끼일 수 있어
세균이 더 증가할 수 있는데요.
이때 관리를 잘 해주지 못할 경우
염증이 생길수도 있고 잇몸 두께가 약해지는
일로 이어질 수 있습니다.
셋째 이갈이 이를 앙무는 습관
이갈이는 교정을 안할때에도 치아건강에
영향을 줄 수 있고 교정시에 더 영향을
줄 수 있는데요 치아 뿌리를 흔들어
잇몸 퇴축이 발생할 수 있습니다.
개인적인 호르몬의 변화도 있을 수 있는데
40대에서 60대 이상의 환자는
잇몸의 변화가 더 두드러지게 보일 수 있어요.
폐경, 호르몬변화, 면역감소로 인해
잇몸 자체의 회복 탄성을 떨어뜨릴 수 있기
때문에 그럴 수 있습니다.
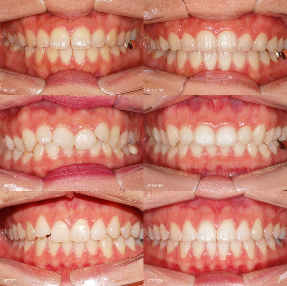
실제 잇몸퇴축과 대응
교정중에 잇몸퇴축을 말하시는 분들의
양상은 여러가지가 있는데요.

그와 함께 서울센텀치과에서는
어떻게 진행하는지도
꼼꼼하게 체크를 해볼게요.
치아의 뿌리가 노출이 되고 있는것 같다
말씀을 주시는 분들이 있는데
치아가 길이가 길어진 것 같다 라는
말씀을 많이 합니다.
치아가 시리거나 잇몸의 통증이 느껴진다고
말씀을 주시는 분들도 있습니다.
이렇게 다양한 증상을 호소하시는데요.
이때 할 수 있는 방법은
여러가지 방식이 있습니다.
교정력을 시간을 두고 천천히 조절하며
이동을 천천히 해보는 방법인데요.
힘의 크기를 낮추어서 치아 뿌리의 손상을
방지하면서 잇몸이 회복을 할 수 있는
시간도 함께 주는겁니다.
치아교정은 무조건 빨리한다고 좋은게 아닌
결국은 치아와 잇몸의 건강을 둘 다
가져가야하는 치료이기 때문입니다.
잇몸에 통증이나 치아 시림을 느끼시는 경우
치아교정이 끝난 뒤에 염증관리, 스케일링
관리를 통해 회복을 하는 방식이 있습니다.
건강하게 하는 치아교정의 원칙
잇몸퇴축에 대해서 이야기하다보니
이미 겁을 먹으신 분들도 있을겁니다.

하지만 제대로 교정을 하는 곳에서
진행을 한다면 걱정하지 않아도 되는
문제라고 말씀드릴 수 있습니다.
핵심 원칙 첫번째, 교정 전
정확한 분석은 필수적입니다.
개개인의 잇몸 뼈의 두께도 다르고
치아 뿌리의 위치도 다르기에 사전에
교정시작에 앞서 이를 잘 체크한다면
문제 없이 진행 가능합니다.
치아교정시에도 힘을 너무 많이 준다고 해서
교정기간이 줄어들지 않는데요.
오히려 작고 강하게 지속적으로 힘을 주면
안정적으로 치아가 이동할 수 있습니다.
교합을 지속적으로 고려한 이동도
중요한 부분인데요.
이동 중에도 교합이 최대한 맞을 수 있도록
이동을 하는 것이 중요합니다.
특히 40대 이상에서 치아교정 치료를
선택하시는 경우도 꽤 있는데 이 때
잇몸의 상태를 잘 체크하고
치아교정을 진행하는 것이 중요합니다.
교정 중에 치과에서 잘 체크하고
치료과정 계획을 잘 짜는것도
너무 중요한 일이만 대상자가 집에 귀가하여
치아 관리를 잘 해주는 것도 중요합니다.
치실과 치간칫솔 워터픽 등을 활용해
구강관리를 소홀히 하지 않는 것
매우 중요한 부분이에요.
결국 치아교정 잇몸 퇴축은
치아교정이 나쁘다 영향을 준다 라기보다는
교정이 개개인의 잇몸의 한계점을
건드렸을 때 발생할 수 있습니다.
이 부분을 넘지 않도록 치아교정을
진행할 수 있는 곳이라면 문제 없이
치아교정치료를 마칠 수 있습니다.
가장 중요한 기준 단 하나
내잇몸이 괜찮은 안에서의 변화인가를
기준으로 보시면 됩니다.

교정은 평생 얼굴의 느낌과
치아 저작 기능을 결정할 수 있는 치료입니다.
치아가 가지런해졌지만
다른 문제가 생긴다면 안되니까요.
치아교정을 고민하거나 치아교정을 하다가
잇몸이 걱정이 된다면 꼭 중간에
상태를 점검하는 것도 중요합니다.
서울센텀치과는 치아교정과 전문의가 있어
정밀한 분석을 통해 개개인의
치아 뿐만 아닌 잇몸상태까지 고려해
치아교정치료 계획을 세웁니다.

치아교정 잇몸 퇴축때문에 고민하고 계셨다면
정밀하고 개개인에 맞춘 상담으로
받아보고 결정해보시기를 바랍니다.
사랑니 당일발치 가능한 조건?
임플란트 가격비교사이트 기준 정리
더 보기
이 병원의 공개 콘텐츠를 계속 살펴보세요
출처 아카이브로 돌아가 더 많은 글을 보거나, 병원 프로필로 이동해 다른 공개 채널도 함께 비교해보세요.