아카이브 요약
이 페이지의 역할
서울센텀치과의원 신사역의 네이버 블로그 원문을 보존한 아카이브 페이지입니다. 임플란트 카테고리의 어금니 임플란트 앞니보다 신중해야 한다? 숨은 진실 글을 통해 병원의 한국어 정보 제공 방식과 진료 관련 안내 톤을 확인할 수 있습니다.
원문 검증
필요하면 원문 블로그와 병원 프로필로 바로 이동해 문맥을 다시 확인할 수 있습니다.
출처 아카이브 열기아카이브된 블로그 글
서울센텀치과의원 신사역 · Naver Blog
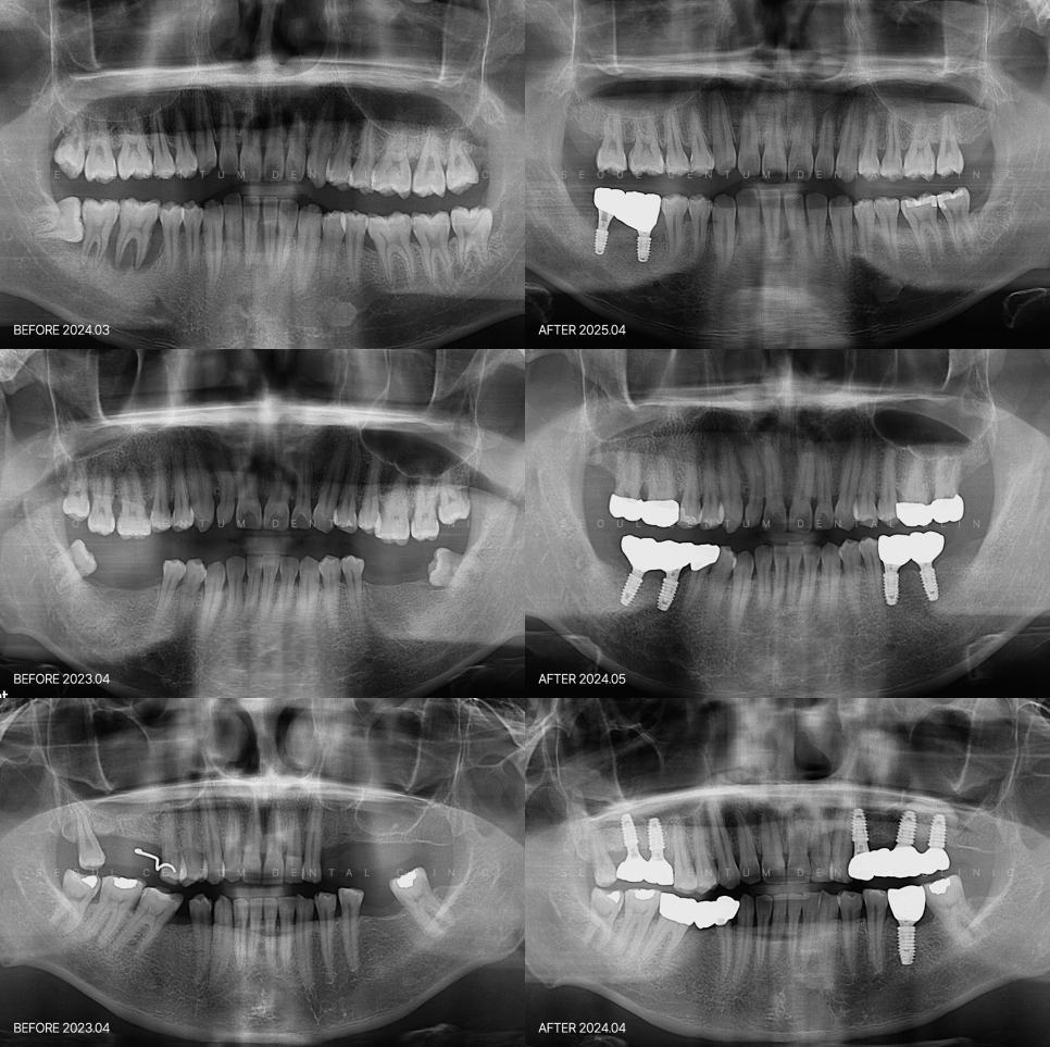
앞니보다 더 큰 부담을 견뎌야 하는 치아 입안에서 어금니는 가장 넓은 면적과 강한 힘을 담당하는 치아입니다. 음식을 잘게 분해하고 저작하는 압력을 분산시키는 역할을 하며 교합의 균형을 잡는 중심축으로 작용해요. 앞니가 음식물을 자르는 기능을 한다면 어금니는 분쇄 기능을 담당한다고 봐도 좋아요. 비중이 큰 치아를 상...
게시일
2025년 12월 23일
원문 기준으로 확인된 발행일입니다.
카테고리
임플란트
원문 블로그 카테고리를 정리해 함께 표시합니다.
이미지 수
7
현재 아카이브에 연결된 이미지 수입니다.
아카이브 요약
서울센텀치과의원 신사역의 네이버 블로그 원문을 보존한 아카이브 페이지입니다. 임플란트 카테고리의 어금니 임플란트 앞니보다 신중해야 한다? 숨은 진실 글을 통해 병원의 한국어 정보 제공 방식과 진료 관련 안내 톤을 확인할 수 있습니다.
원문 검증
필요하면 원문 블로그와 병원 프로필로 바로 이동해 문맥을 다시 확인할 수 있습니다.
출처 아카이브 열기앞니보다 더 큰 부담을 견뎌야 하는 치아
입안에서 어금니는 가장 넓은 면적과
강한 힘을 담당하는 치아입니다.
음식을 잘게 분해하고 저작하는
압력을 분산시키는 역할을 하며
교합의 균형을 잡는 중심축으로 작용해요.

앞니가 음식물을 자르는 기능을 한다면
어금니는 분쇄 기능을 담당한다고 봐도 좋아요.
비중이 큰 치아를 상실하면
저작 효율이 급격히 저하되며
턱관절에 과도한 하중이 전가될 수 있습니다.
이러한 이유로 어금니 임플란트는
구조적 안정성과 높은 내구성이
우선적으로 고려되어야 합니다.
어금니 상실이 구강 전체에 미치는 영향은?
빠진 상태를 오래 방치하면
단순한 불편함에 그치지 않는데요.

힘이 한쪽으로 쏠리면서 교합이 틀어지고
잔존하고 있는 반대편이나 양옆 치아에
마모가 점차 일어나다가 가속화될 수 있습니다.
또한 음식물이 제대로 분쇄되지 않아
소화 기능에도 영향을 주기도 하죠.
잇몸뼈 역시 자극을 받지 못함에 따라
서서히 흡수되는 일이 발생하기 때문에
방치하는 기간이 장기화될수록
치료 난이도가 높아질 가능성도 커집니다.
이런 상황을 고려하면 상실 후 적절한 시기에
어금니 임플란트를 계획하는 것이
구강 구조를 안정적으로 유지하는 데
도움이 된다고 볼 수 있어요.
견고해야 하는 이유가 있습니다.

앞니보다 몇 배 이상의
압력이 반복적으로 가해지기에
면적이 가장 넓은데요.
식립되는 임플란트의 경우
직경과 길이, 특징, 식립 각도까지
모두 정교하게 설계되어야
원래의 자연치 역할을
충분히 대신할 수 있어요.
구조적 안정성이 확보되지 않을 시에는
흔들리거나 파절로 이어질 수 있기에
초기 계획 단계부터 세밀한 접근이 필요합니다.
골 상태 확인도 함께 해야 합니다.
어금니는 위치상 잇몸뼈의 형태와 밀도가
개인차를 크게 보이는데요.
이 때문에 CT, 파노라마 엑스레이 등의 촬영으로
뼈의 두께와 높이, 신경과의 위치를
정확히 파악 후 진행합니다.

경우에 따라 골이식이나 상악동 거상술 같은
보조 술식이 필요할 수 있으므로
상담 과정에서 이를 권해드리기도 해요.
무조건적으로 권해드리지는 않고
필요한 상황에만 안내하고 있어요.
잇몸뼈가 충분하지 않다던가 약해
현재의 뼈로는 구조물 지탱이
어려운 등의 상황이요.
이러한 과정을 미리 하지 않으면
안정성에 문제가 생길 수 있어서
권해드리는 것이니
이해해 주셨으면 하는 바람입니다.
보철물 선택도 신중해야 하는 거 아시나요?
어금니 임플란트 위에 올라가는
보철물 역시 중요해요.
강한 저작력을 견뎌야 하기에
내마모성과 강도가 우수한 소재를
선택하는 것이 좋습니다.
심미적으로 적절한 걸 원한다면
지르코니아를 하시는 게 좋은데요.
강도가 높고 자연치와 색상도 비슷해
자주 사용되는 편이거든요.

종류는 이외에 금, PFM이 있고
각각의 장단점이 있으니
비교해 보고 선택하셔도 됩니다.
다만 보철물 높이나 형태가 조금만 어긋나도
교합이 불편하거나
턱관절에 부담이 될 수 있으니
정밀 체크 후 맞춤 제작이 필요해요.
어금니 임플란트 받은 당일부터 관리는 꼼꼼히
음식물이 쉽게 낄 수 있어 관리가 소홀해지면
주위염이 발생할 가능성이 상승할 수 있어요.
예방을 위해 갖가지 보조 도구를 활용해야 하고
초기에는 죽이나 두부 같은
부드러운 음식 위주로 식단을 구성하다가
상태가 어느 정도 좋아지면
일반식으로 식사해도 괜찮습니다.
마른 오징어처럼 강도가 있거나
껌처럼 달라붙는 음식, 자극적인 음식은
평소에도 좋지 않으니 삼가주시고요.
검진 시기를 놓치지 않고
교합 상태와 구조물의 마모 여부를
점검하는 것도 중요시 여겨야 합니다.
식립한지 몇 년이 지난 후에도
검진은 필요합니다.
어버트먼트가 풀리지는 않았는지
보철물에 금이 가지는 않았는지
상황을 알아야 적시에 대처할 수 있거든요.
치석이 자주 끼는 편일 때는
스케일링까지 받으시면 큰 도움이 될 거예요.

오늘 말씀드린 것처럼
파절 없이 오래오래 사용하기 위해
치료 전에는 뼈 상태와 교합 구조를
상세 진단받고 치료 후에는
위생에 많은 신경을 기울여 보셨으면 합니다.
한 개의 치아를 대신한다는 개념으로만
가볍게 생각하실 수 있으나
구강 내 전체 밸런스 회복을 위한 치료이므로
사전에 알맞은 플랜을 잡아야 한답니다.

핵심 역할을 하는 치아인 만큼
견고하고 정밀한 임플란트를
완성할 수 있어야 하니
치과 선택을 아무쪼록
신중히 하셨으면 좋겠습니다.
이갈이보톡스 가격만 보면 안 된다?
직장인 구강검진 2025년 지나기 전에 받아보세요