아카이브 요약
이 페이지의 역할
서울센텀치과의원 신사역의 네이버 블로그 원문을 보존한 아카이브 페이지입니다. 임플란트 카테고리의 발치 후에 들어가는 임플란트 시기 어떤 기준으로 결정이? 글을 통해 병원의 한국어 정보 제공 방식과 진료 관련 안내 톤을 확인할 수 있습니다.
원문 검증
필요하면 원문 블로그와 병원 프로필로 바로 이동해 문맥을 다시 확인할 수 있습니다.
출처 아카이브 열기아카이브된 블로그 글
서울센텀치과의원 신사역 · Naver Blog
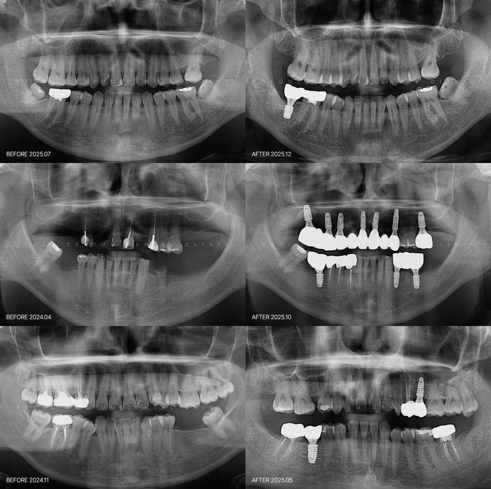
자연치가 있던 자리의 공백을 어떻게 채울지 고민이 필요합니다. 갖가지 이유로 치아 상태가 많이 좋지 않으면 발치를 하는 편이 나은데요. 그 이후 빈 공간을 복구하는 건 구강 건강을 유지하는 데 꼭 필요합니다~ 내버려두면 잇몸뼈 흡수나 교합 불균형 등이 진행될 수 있거든요. 이 때문에 발치 후 임플란트 시기를 앞...
게시일
2026년 1월 13일
원문 기준으로 확인된 발행일입니다.
카테고리
임플란트
원문 블로그 카테고리를 정리해 함께 표시합니다.
이미지 수
7
현재 아카이브에 연결된 이미지 수입니다.
아카이브 요약
서울센텀치과의원 신사역의 네이버 블로그 원문을 보존한 아카이브 페이지입니다. 임플란트 카테고리의 발치 후에 들어가는 임플란트 시기 어떤 기준으로 결정이? 글을 통해 병원의 한국어 정보 제공 방식과 진료 관련 안내 톤을 확인할 수 있습니다.
원문 검증
필요하면 원문 블로그와 병원 프로필로 바로 이동해 문맥을 다시 확인할 수 있습니다.
출처 아카이브 열기자연치가 있던 자리의 공백을 어떻게 채울지 고민이 필요합니다.

갖가지 이유로 치아 상태가 많이 좋지 않으면
발치를 하는 편이 나은데요.
그 이후 빈 공간을 복구하는 건
구강 건강을 유지하는 데 꼭 필요합니다~
내버려두면 잇몸뼈 흡수나
교합 불균형 등이 진행될 수 있거든요.
이 때문에 발치 후 임플란트 시기를
앞당기는 것을 고려하는 경우가 많습니다만
언제 되는지는 상황에 따라
달라질 수 있다는 점!
임플란트가 자연치와 비슷한 기능을
끌어올릴 수 있고
심미성 측면에서도 도움이 되나
맞춤 절차가 시행되어야
이상 없이 오래 쓸 수 있답니다.
발치 후 임플란트 시기 상관없이 바로 할 수 있을까요?

바로 원하시는 환자분들이 많은데
모든 경우에 가능한 건 아니라고 볼 수 있어요.
염증이 남아있거나 잇몸뼈 손상이 심한 등
적절하지 않은 상황일 시에는
충분한 회복 기간이 필요해서랍니다.
반면 염증이 거의 없고 뼈 상태가 양호하다면
같은 날에 진행할 수도 있고요.
해당 단계에서의 판단이 이후 치료 안정성에
직접적인 영향을 미치기 때문에
각자의 구강 구조에 맞춘 계획이
성립되어야 합니다.
구강 구조가 식립 시기를 결정
임플란트는 뼈에 고정되는 구조물이므로
치조골의 상태는 매우 중요한 요소입니다.

발치 후 시간이 지나면
자극을 받지 못한 치조골이 점차 흡수되고
높이와 두께가 줄어들게 돼요.
이렇게 되면 식립 각도나 깊이를
제대로 확보하기 어려워지겠죠?
그래서 '기다렸다가 하는 것'보다
'곧바로 식립하는 것'이
오히려 성공률이 높을 때도 있어요.
구강 상태를 기반으로 시기와
수술 방식이 정해진다고 보시면 되겠네요.
발치와 식립 사이 기다리는 시간의 의미

곧바로 진행하지 않는 경우에는
위에서 언급한 것처럼
잇몸과 뼈가 회복하는 시간을 가져요.
이 기간 동안 픽스처가 뼈와 결합되면서
다음 단계로 진입하기 좋은 환경이 형성되죠.
대게 수주에서 수개월의 시간이 필요하며
개인의 회복 속도와 전신 상태에 따라
차이가 발생한답니다.
이 기다림의 시간은
치료를 미루는 과정이라기보다는
다음 단계를 더 안정적으로
준비하는 과정에 가까워요.
장기적으로 봤을 때 결과에
긍정적인 영향을 주는 구간이므로
상황에 따라 고려할 필요가 있습니다^^
발치 후 임플란트 시기 선정을 위해 고려되는 요소들
치료 계획을 세울 때는 뼈 상태뿐 아니라
교합 방향, 인접 치아와의 거리,
잇몸 두께까지 함께 체크해요.
특히 어금니 부위는 저작이
강하게 작용하기 때문에
구조적 안정성이 더욱 중요하게 평가됩니다.

이러한 요소들을 종합해
식립 위치와 각도가 결정되며
필요시 골이식이나 상악동 거상술 같은
보조 술식이 포함되기도 합니다.
장기적인 안정성을 확보하는 데 필요하거든요.
때문에 첫 단계부터
정확한 분석과 진단이 선행돼야 해요.
보철물 장착 전까지의 관리도 중요합니다.
식립 이후에는 무리한 저작을 피하고
위생 관리에 신경 써야 합니다.
최종 보철물 체결 전까지 임시 보철을 사용한들
교합력 부담이 과하게
가해지지 않도록 주의가 필요해요.
이때의 관리는 치과 내에서의 점검뿐 아니라
집이나 야외에서도 주의 깊게 이루어져야 하며
청결한 상태를 유지하는 게 핵심이랍니다.
정기적인 내원을 통해 회복 상태를 확인하고
작은 문제라도 조기에 알리는 행동은 이후
보철 단계까지의 흐름을
안정적으로 이어가는 데 도움 되니
불편한 점이 있으면 가만히 있기보다는
꼭 치과에 알리시는 걸 권해드립니다.

치아를 발치했다는 사실보다 더 중요한 건
'그 이후를 어떻게 보완하느냐?'가
오늘의 핵심 내용이 되겠습니다.
비어있는 자리를 방치하면
인근 치아가 이동하는 등
공간에 변화가 생기면서
난이도가 높아질 수 있으므로
적절한 시점에 치료 방향을 정해야 합니다.
이미 치아가 빠진 곳도 마찬가지고요.
개인의 구강 생태와 회복 조건에 따라
접근 방식이 달라지니
충분한 상담과 진단을 받으시는 게 좋아요.
치료 전 과정을 이해하고 준비한다면
기능과 안정성을 모두 고려한 결과를
기대할 수 있을 겁니다.
전치부 앞니 심미보철치료의 중요성
임플란트 절차 과정이 궁금하다면?
