서울센텀치과 (신사역)
40대 임플란트 치료 케이스 상악동거상술 골이식까지
40대 임플란트 치료 케이스 4개 치료 한 경우 안녕하세요 서울센텀치과 이현섭 원장입니다. 오늘은 40대 초반의 환자분의 여러개 임플란트를 진행한 케이스를 소개하려고 해요. 총 4개의 부위에 임플란트를 식립했는데 특히 많은 분들이 고민하시는 상악동거상술, 골이식을 함께 진행을 했던 사례인데요. 치료과정마다 어떤...
아카이브 요약
이 페이지의 역할
서울센텀치과 (신사역)의 네이버 블로그 원문을 보존한 아카이브 페이지입니다. 임플란트 카테고리의 40대 임플란트 치료 케이스 상악동거상술 골이식까지 글을 통해 병원의 한국어 정보 제공 방식과 진료 관련 안내 톤을 확인할 수 있습니다.
40대 임플란트 치료 케이스 4개 치료 한 경우
안녕하세요 서울센텀치과 이현섭 원장입니다.
오늘은 40대 초반의 환자분의 여러개
임플란트를 진행한 케이스를 소개하려고 해요.
총 4개의 부위에 임플란트를 식립했는데
특히 많은 분들이 고민하시는 상악동거상술,
골이식을 함께 진행을 했던 사례인데요.
치료과정마다 어떤점을 고려하면서 치료했는지
어떻게 진행을 했는지 차근차근 설명 드릴게요.
40대의 임플란트 치료 계획
이번에 내원하신 환자분은 나이가
40대 초반으로 오른쪽 위쪽 어금니 부분과
왼쪽 아래 첫번째 큰어금니
총 4개의 임플란트가 필요했어요.
오른쪽 위쪽 어금니 같은 경우는
두번째 작은어금니, 첫번째 큰어금니,
두번째 큰 어금니 총 3개였죠.
오른쪽 위 두번째 작은 어금니는
이미 치아가 결손 되었지만 골량은
충분히 있는 상황이었어요.
오른쪽 위 첫번째의 큰 어금니는 치아가 없었고
상악동 거상술이 부분적으로 필요했죠.
오른쪽 위 두번째 큰 어금니는 발치가
필요한 상황이었고 발치와 함께
골이식이 꼭 들어가야 하는 상황이었습니다.
왼쪽 아래의 첫번째 큰 어금니는
치아가 이미 없었고 인접한 치아에서의
경사가 관찰되는 상황이었죠.
특히 오른쪽 위 첫번째 어금니 같은 경우
잔존골 높이가 약 7.5mm로 측정되어
상악동 거상술 없이는 힘든 케이스였는데요.

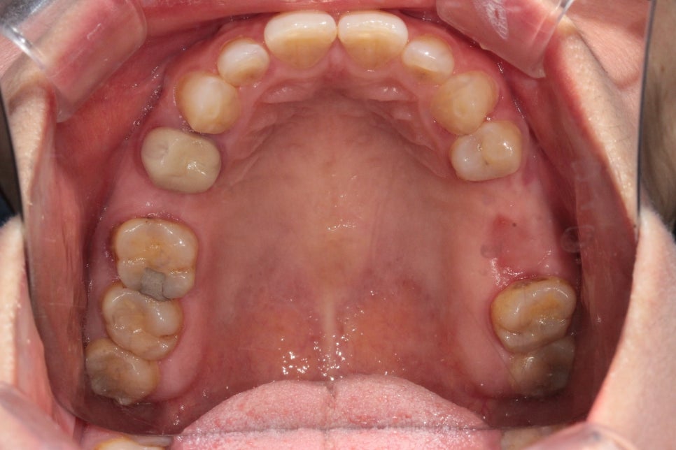
위쪽 치아 교합면 사진
반면 바로 옆 두번째 작은 어금니 부위는
11.4mm의 충분한 골 높이가
확보가 되어있었고요.

아래쪽 치아 교합면 사진
수술전 검사 및 골평가
정확한 진단을 위해서는 파노라마 촬영과
CBCT 촬영을 진행을 했는데요.
이 과정이 꼭 필수적인 이유는
육안으로 보이지 않는 뼈의 상태와
신경의 위치, 상악동까지의 거리 등을
정밀하게 파악 할 수 있기 때문입니다.

오른쪽 위 첫번째 큰 어금니 부위 CT
검사 결과를 정리해보면
오른쪽 위 두번째 작은 어금니는
골높이가 11.4mm로
임플란트 식립에 충분합니다.

오른쪽 위 두번째 작은어금니 부위
오른쪽 위 첫번째 큰 어금니의 경우
잔존골이 약 7.5mm 밖에 되지 않아
상악동 거상술이 필수입니다.

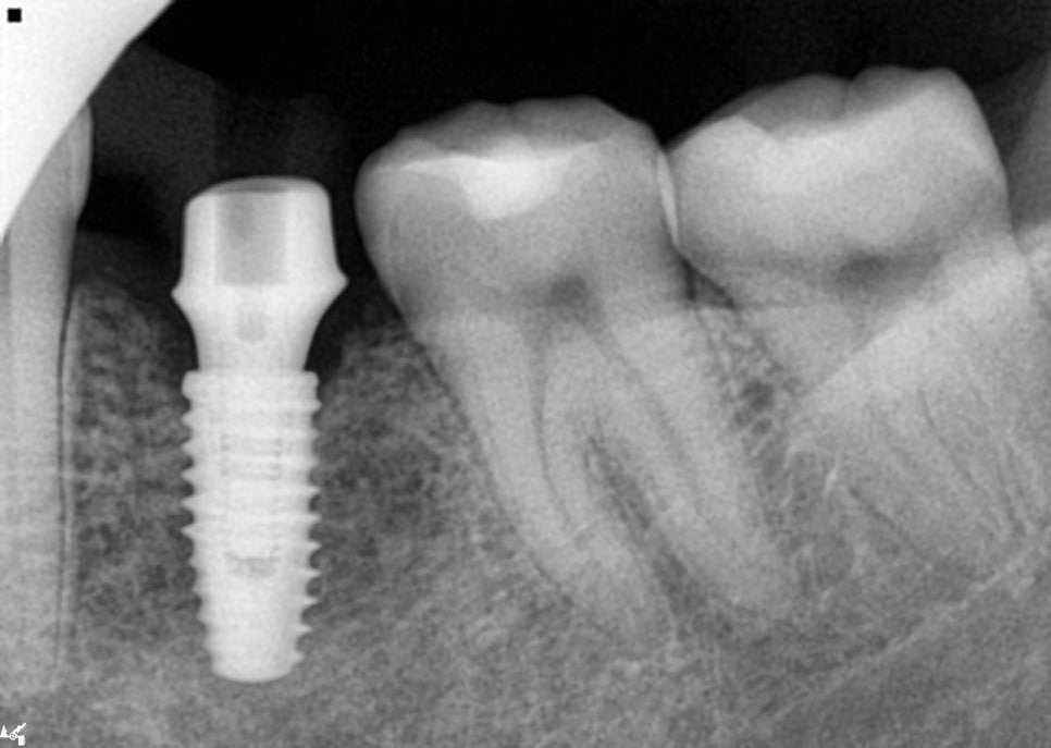
아래 왼쪽 첫번째 큰 어금니 부위
왼쪽 아래 첫번째 큰 어금니는
바로 인접한 치아가 앞쪽으로 기울어져
있는것을 확인 할 수 있었습니다.

치료시작 전 전체 치아 사진
이렇게 꼼꼼한 검사를 통해
치아 하나하나에 대한 상황을 상세하게
파악을 진행 할 수 있습니다.
임플란트 식립 및 골이식
모든 검사를 하고나서 환자분께
설명을 드리고 나서 4개의 부위를
모두 하루에 할 수 있었던 케이스라
하루에 식립을 끝내기로 상의했습니다.
여러번에 나누어서 할 수도 있지만
환자분의 상황과 전신건강 상태를
고려했을 때 한번에 진행하는것이
더 효율적이라고 판단이 되었기 때문에
한번에 진행을 하기로 했습니다.
상악동 거상술을 시행한 부분을 보면
오른쪽 위 첫번째와 두번째 큰 어금니 부위는
크레스탈 접근법(crestal approach)을
이용한 상악동 거상술을 진행했습니다.

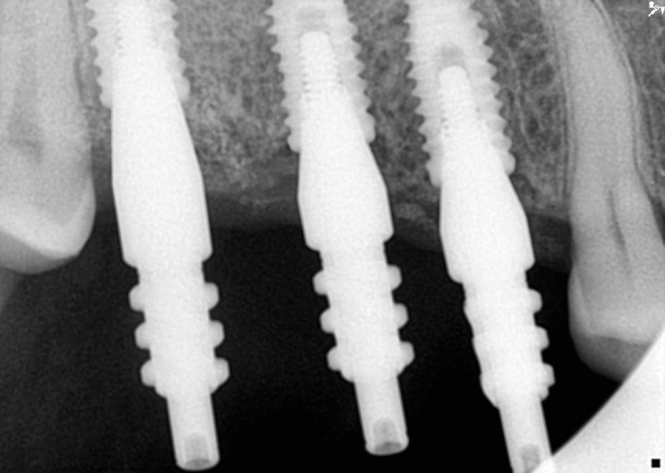
위쪽 3개 임플란트 식립 완료
임플란트 식립하는 구멍을 통해 상악동막을
거상을 하는 방식인데요.

아래쪽 임플란트
매우 정밀하게 진행을 해야합니다.
측방 접근법에 비해서는 침습자체가 적고
회복이 빠르다는 장점이 있습니다.
각 임플란트 부위마다 적절한 골이식재를
사용했고 인접 치아의 장축과 평행하게
정확한 각도로 식립하는 것이 중요하거든요.
초기에 고정력도 다행히도 양호하게
진행이 된 편이라 힐링 어버트먼트를
장착한 채로 골유착을 기다리기로
환자분에게 말씀드렸습니다.
골유착 기간 및 치유과정
임플란트 식립 후에는 골유착의
시간이 필요한 법인데요.
당초 처음에 세웠던 치료계획은
상악은 5개월, 하악은 3개월을
기다렸다가 진행을 하는 것이었어요.
일반적으로는 위 턱뼈가 아래의 턱 뼈보다
밀도가 낮은 편인데요.
그래서 시간도 더 훨씬 많이 필요하거든요.
이 기간동안 정기적으로 치과에
내원을 해주시는 것은 필수이고요.
임플란트 안정도 지수인 ISQ 측정 등을
통해서 골유착 상태를 체크합니다.
다행히 모든 부위에서 골유착이
예상보다는 더 양호하게 진행이 되어
다행인 부분이었어요.
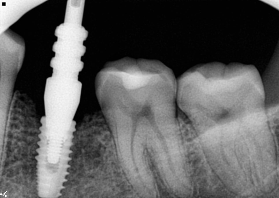
2차 수술 및 인상채득
식립을 진행한 후 벌써 3개월이 지났습니다.

아래쪽 인상 채득 모습
아래쪽 임플란트 부위에서
인상을 채득했는데요.

위쪽 인상 채득
이외인 점이 발견이 되었습니다.
원래 같으면 위쪽같은 경우 골유착이
아직 진행이 안되었을 확률이 높은데
생각보다 골유착 상태가 훨씬 양호해
당초 계획보다 2개월 더 일찍
인상채득을 진행할 수 있었습니다.
이렇게 2개월이나 빨리 진행이 된 이유는
과연 무엇일까요?
환자분의 건강상태도 양호한 편이었고
수술 후에도 제가 말한 주의사항을
꼼꼼히 지켜주신 편이거든요.
정말 군더더기 없는 관리를 해주신
환자분이라 더 기억에 남네요.
커스텀 어버트먼트 제작 및 장착
인상 채득을 한 후에는 개별 맞춤형
커스텀 어버트먼트를 제작했는데요.
기성어버트먼트도 있기는 하지만
환자분마다 잇몸의 형태와 임플란트 각도가
다르기 때문에 맞춤제작시에
환자분에게 더 유리한 제작이라고
말씀드릴수가 있겠습니다.

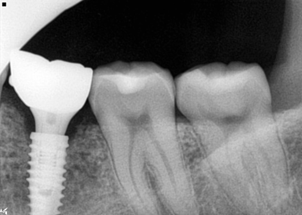
아래쪽 어버트먼트 장착
특히 이번처럼 여러개의 치아를
한번에 하게 되는 경우에는
각각의 각도, 깊이를 모두 고려해
최종적인 보철물이 자연스럽게
원래 치아처럼 나올 수 있게 설계하는것이
매우 중요한 부분이랍니다.

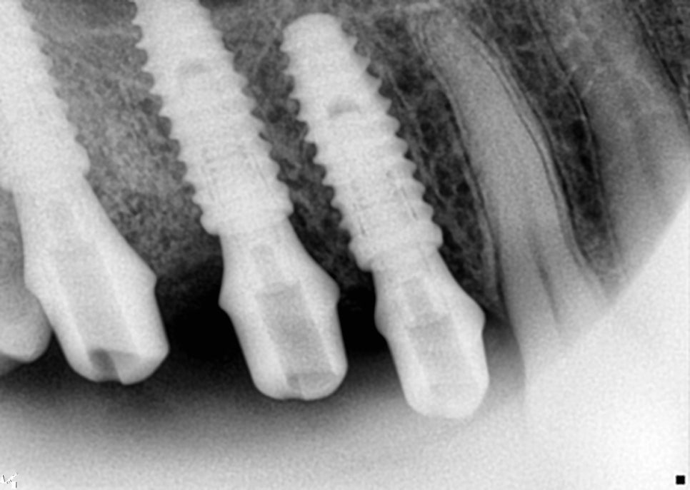
위쪽 3개 어버트먼트 장착 완료
어버트먼트는 장착 후에는 반드시
방사선 사진으로 체결 상태를
더블체크 해야합니다.
눈으로 잘 된것처럼 보이지만
그렇지 않을 수 있기때문에
꼼꼼하게 확인을 해야하기 때문이죠.
최종보철 수복 및 완료
드디어 이 긴 치료의 마지막 단계
최종 크라운을 제작하고
장착을 하는 과정인데요.
이 단계에서는 여러가지를 체크를 해야합니다.
최종보철시 위 아래의 치아가 편안하게
맞물리게 되었는지
옆 치아와 자연스럽게 닿는지
색상과 형태가 자연스러운지
방사선으로 최종확인까지 해야합니다.
특히나 교합조정은 정말 세밀하게
진행을 해야하거든요.

아래쪽 보철 완
너무 높으면 맞닿을 때 불편할 수 있고
너무 낮으면 제대로 된 기능을
못할 수 있기 때문에 미세한 조정은
불가피한 부분이에요.

최종완성 4개 부위 임플란트 모두 성공적으로 마무리
인접한 치아와의 접촉점도
너무 꽉 끼거나 헐거우면 절대 안되고요.
끝날때까지 끝난게 아니다
임플란트는 보철물만 올렸다고
끝났다고 보기 어렵습니다.
자연치아와는 다르기에 유지관리가
매우 중요한 치료중에 하나인데요.
첫 6개월은 3개월에 한번씩은
내원을 해서 검진해주셔야 하고요.
이후 6개월마다 정기검진 및 구강위생관리를
철저히 해주어야 합니다.
최근 현재까지 임플란트 주위에 골 소실 없이
안정적인 예후를 보여주고 계신데요.
앞으로도 정기적인 검진을 통해
장기적으로도 계속 체크를 할 예정입니다.
이번 케이스 같은 경우는
상악동거상술, 골이식, 다수 임플란트를
동시에 진행한 복합적인 치료였는데요.
체계적인 장기 치료 계획과
주의할점을 철저하게 지켜주신
환자분의 적극적인 협조로
예상된 치료기간보다 빠르게 잘 마무리한
케이스기도 했습니다.
임플란트 치료를 고민하고 계신다면
정확한 진단과 개인의 뼈 높이 등을
모두 고려한 맞춤형 치료계획을
잘 세우는 곳으로 선택하시는 게 중요합니다.
골량이 부족하다고 해서 임플란트를
포기하실 필요도 없습니다.


BEFORE / AFTER
골이식과 상악동거상술과 같이 진행한다면
틀니가 아닌 자연치가 유사한 임플란트
얼마든지 하실 수 있습니다.
40대 초반에도 치아가 없어지는 경우가
종종 있는 편입니다.

임플란트에 대해서 궁금하시다면
언제든 편하게 찾아와
상담 받아보시길 바랍니다.
서울센텀치과 신사역치과 이현섭
대표원장이었습니다. 감사합니다.
발치 후 임플란트
임플란트 순서 어디부터?
더 보기
이 병원의 공개 콘텐츠를 계속 살펴보세요
출처 아카이브로 돌아가 더 많은 글을 보거나, 병원 프로필로 이동해 다른 공개 채널도 함께 비교해보세요.