아카이브 요약
이 페이지의 역할
서울센텀치과의원 신사역의 네이버 블로그 원문을 보존한 아카이브 페이지입니다. 임플란트 카테고리의 치과 임플란트 근심 걱정 놓기 위한 고려 사항 4가지 글을 통해 병원의 한국어 정보 제공 방식과 진료 관련 안내 톤을 확인할 수 있습니다.
원문 검증
필요하면 원문 블로그와 병원 프로필로 바로 이동해 문맥을 다시 확인할 수 있습니다.
출처 아카이브 열기아카이브된 블로그 글
서울센텀치과의원 신사역 · Naver Blog
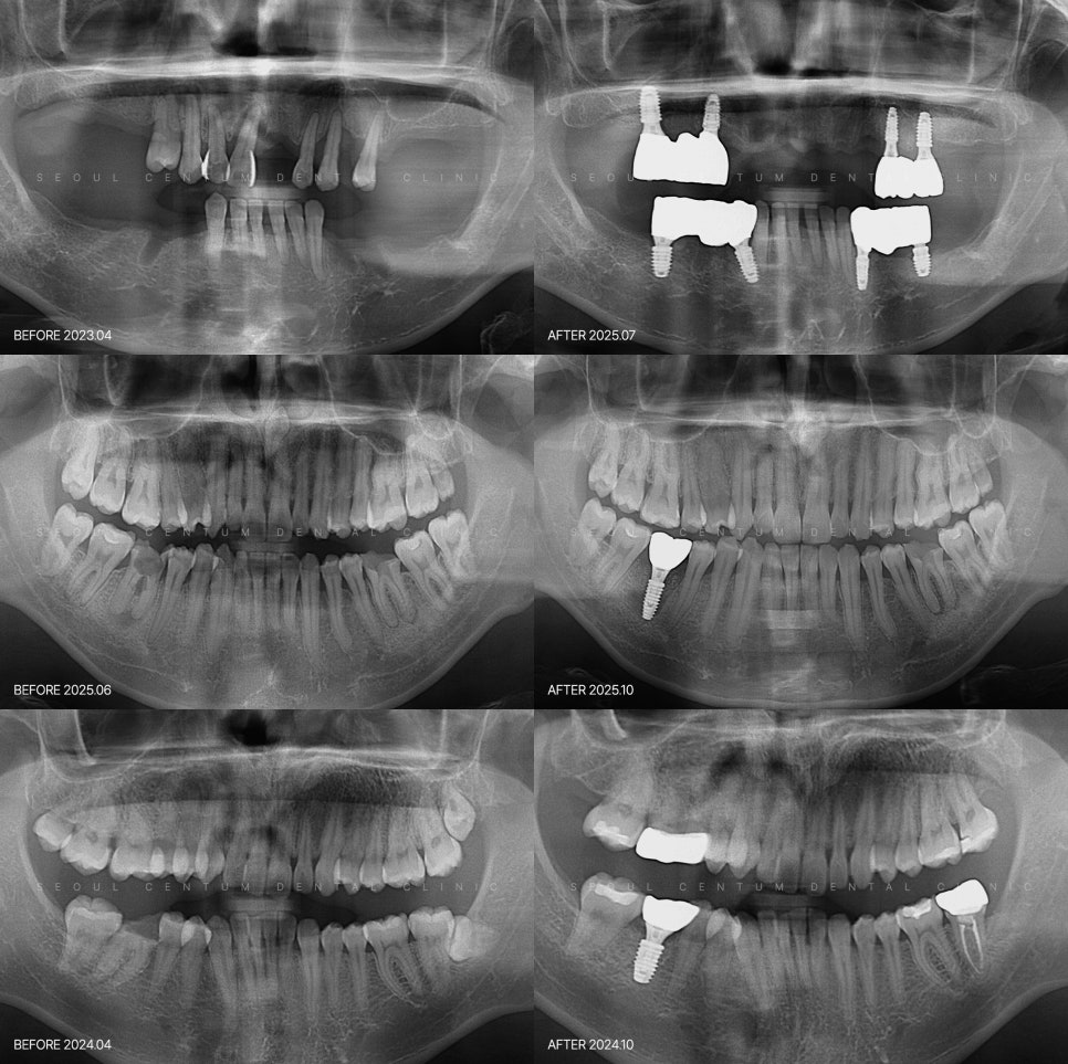
임플란트 결정을 앞두고 짚어봐야 할 점이 있다? 치아가 빠진 자리를 어떻게 관리할지 고민하는 과정에서 임플란트를 떠올리는 경우가 많은데요. 치아가 없으면 보기에도 그다지 좋지 않지만 음식을 섭취할 때의 불편함이 가장 클뿐더러 나중에는 잇몸과 주변 치아까지 변화가 생길 수 있기 때문에 하루빨리 진행하면 좋습니다. 단,...
게시일
2026년 1월 27일
원문 기준으로 확인된 발행일입니다.
카테고리
임플란트
원문 블로그 카테고리를 정리해 함께 표시합니다.
이미지 수
7
현재 아카이브에 연결된 이미지 수입니다.
아카이브 요약
서울센텀치과의원 신사역의 네이버 블로그 원문을 보존한 아카이브 페이지입니다. 임플란트 카테고리의 치과 임플란트 근심 걱정 놓기 위한 고려 사항 4가지 글을 통해 병원의 한국어 정보 제공 방식과 진료 관련 안내 톤을 확인할 수 있습니다.
원문 검증
필요하면 원문 블로그와 병원 프로필로 바로 이동해 문맥을 다시 확인할 수 있습니다.
출처 아카이브 열기임플란트 결정을 앞두고 짚어봐야 할 점이 있다?
치아가 빠진 자리를
어떻게 관리할지 고민하는 과정에서
임플란트를 떠올리는 경우가 많은데요.

치아가 없으면 보기에도 그다지 좋지 않지만
음식을 섭취할 때의 불편함이 가장 클뿐더러
나중에는 잇몸과 주변 치아까지
변화가 생길 수 있기 때문에
하루빨리 진행하면 좋습니다.
단, 현재 구강 상태를 바탕으로
장기적인 안정성을 고려해 치료하는 과정으로
접근하는 것이 필요하죠.
지금 치과 임플란트를 고민하시는 분들께
도움이 될만한 정보를 몇 가지 준비해 봤으니
한 번씩 읽어보셨으면 좋겠습니다.
구강 구조와 뼈 상태는 치료 범위와 방법을 좌우합니다.

임플란트는 잇몸뼈에
인공치근을 고정하는 방식이기 때문에
잇몸뼈의 두께와 밀도는 치료 가능 여부와
범위를 결정하는 중요한 기준이 됩니다.
치아를 상실한 기간이 길어질수록
뼈 흡수가 점차 진행되어
식립이 까다로워질 수 있어요.
이 경우 골이식이나 상악동 거상술 같은
보조 술식이 필요해질 수 있기 때문에
치료를 계획할 시 현재 뼈 상태를
정확히 파악하고
그에 따른 필요한 과정이 무엇인지
미리 설명을 들어봐야겠죠?
전신 건강 상태와 약물 복용 이력 고려

아무래도 절개를 봉합하는 과정이 있다 보니
출혈이 발생하기 때문에
전신 건강 상태는 치료 시
변수로 작용한다고 보시면 됩니다.
저희 환자분들께도 복용 중인 약이나
앓고 계신 질환이 있는지,
그로 인해 수술하신 적이 있는지 등을
사전에 여쭤보곤 하는데요.
고혈압, 골다공증, 당뇨처럼
전신 질환이 있는 경우에는
회복 속도나 감염 위험에
영향을 줄 수 있거든요.
특히 항응고제나 면역 억제제를 복용 중이라면
출혈 관리와 회복 과정에 대한
더 세심한 계획이 필요하고요.
그 정도로 건강 상태는
매우 중요하다는 걸 잊지 마시고
약물 복용 여부를
의료진에게 숨김없이 알리시길 바라요.
식립 위치와 보철물 선택도 결과를 좌우합니다.

치과 임플란트는 위치에 따라
요구되는 조건이 달라져요.
어금니처럼 저작력이 집중되는 부위는
픽스처의 직경, 식립 각도 등을
신중히 고려해야 하며
앞니 부위는 바로 보이기 때문에
색상과 투명도, 잇몸 라인과의 조화가
더욱 중요한 요소로 작용합니다.
교합의 균형과 힘의 분산,
주변 치아와의 상호작용까지
함께 생각하면서 맞춤 설계되어야
안정적인 결과를 기대할 수 있습니다.
어떤 치과를 선택하느냐도 중요한 기준

완성도는 치료 자체뿐 아니라
이를 진행하는 치과의 진단 시스템과
관리 체계에도 크게 영향을 받습니다.
파노라마 엑스레이와 3D CT 등의
장비를 활용한 정밀 진단이 가능한지,
개인별 구강 구조에 적합한
치료 계획을 수립하는지,
치과 임플란트 이후 정기적인 검진과
사후 관리가 체계적으로 이루어지는지도
확인해 볼 필요가 있습니다.
또한 의료진의 임상 경험이
가장 중요한 요소가 되기 때문에
이를 포함한 위 조건을 확인하면서
신중히 결정해야 합니다.
치료 시기와 식립 계획은 유연하게 결정될 수 있습니다.
언제 식립해야 하는지에 대해
명확한 공식이 정해져 있는 건 아닙니다.
발치 후 염증이 없고 뼈 상태가 양호하다면
즉시 식립을 고려할 수 있습니다만
염증이 있고 잇몸 회복이 덜 되었을 때는
회복 기간을 충분히 가진 뒤
진행하는 편이 낫습니다.
이처럼 개인의 구강 상태와 회복 조건에 따라
시기와 방법이 달라져야 하므로
맞춤형 접근이 필요하답니다.

한 번의 결정으로 장기간 사용해야 하기에
구강 구조와 전신 건강, 식립 위치, 보철물 선택,
그리고 어떤 치과에서 받을지까지
모든 요소가 서로 연결되어
결과에 영향을 준다는 점 안내드렸는데요.

막연한 걱정보다는 충분한 상담을 통해
자신에게 맞는 계획을 안내받아야
불편함이 줄어들고
만족도가 상승하는 방편이 되겠습니다.
더군다나 하루라도 일찍 진행할수록
추가 술식을 진행할 가능성이
낮아질지도 모르니까요.
치료 전 고려 사항들을 이해하고 준비하면
치과 임플란트에 대한 부담도
한결 줄어들 것이니
너무 늦지 않게 치아의 빈자리를
임플란트로 대체해 보셨으면 합니다.
40대 임플란트 치료 증례도 확인해 보세요.
신경치료 크라운의 수명을 늘리기 위한 방법은?