아카이브 요약
이 페이지의 역할
서울센텀치과의원 신사역의 네이버 블로그 원문을 보존한 아카이브 페이지입니다. 임플란트 카테고리의 임플란트하고 통증 기간 언제까지? 무조건 참는 게 답일까 글을 통해 병원의 한국어 정보 제공 방식과 진료 관련 안내 톤을 확인할 수 있습니다.
원문 검증
필요하면 원문 블로그와 병원 프로필로 바로 이동해 문맥을 다시 확인할 수 있습니다.
출처 아카이브 열기아카이브된 블로그 글
서울센텀치과의원 신사역 · Naver Blog
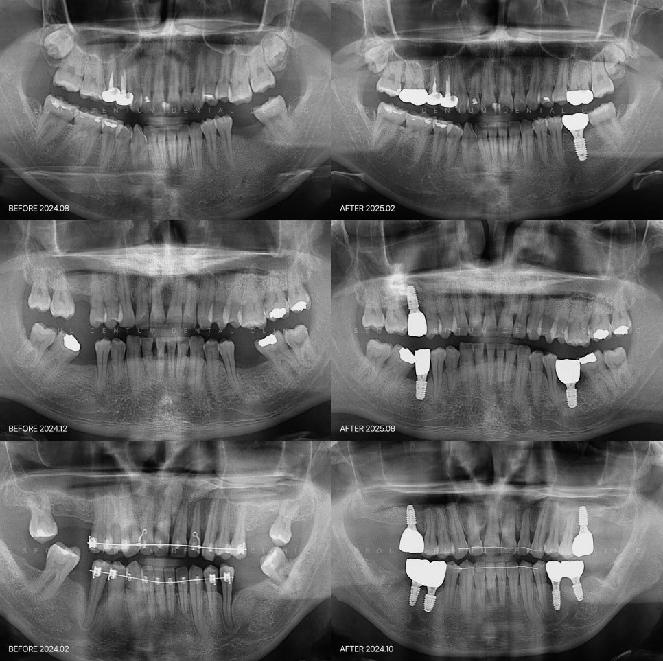
통증에 대한 막연한 걱정부터 줄여 나가야 합니다. 임플란트의 비용도 그렇지만 하고 나서 발생하는 통증이 심할 거라는 생각 때문에 받을지 말지 망설이는 분들도 계시더라고요. 여기에 민감하게 반응하는 것도 사실이죠. 당분간 생활할 때 불편감이 지속되니까요. 체계적인 절차에 따라 진행되는 치료라서 관리 가능한 내에서 발생하...
게시일
2026년 2월 10일
원문 기준으로 확인된 발행일입니다.
카테고리
임플란트
원문 블로그 카테고리를 정리해 함께 표시합니다.
이미지 수
7
현재 아카이브에 연결된 이미지 수입니다.
아카이브 요약
서울센텀치과의원 신사역의 네이버 블로그 원문을 보존한 아카이브 페이지입니다. 임플란트 카테고리의 임플란트하고 통증 기간 언제까지? 무조건 참는 게 답일까 글을 통해 병원의 한국어 정보 제공 방식과 진료 관련 안내 톤을 확인할 수 있습니다.
원문 검증
필요하면 원문 블로그와 병원 프로필로 바로 이동해 문맥을 다시 확인할 수 있습니다.
출처 아카이브 열기통증에 대한 막연한 걱정부터
줄여 나가야 합니다.
임플란트의 비용도 그렇지만
하고 나서 발생하는 통증이
심할 거라는 생각 때문에
받을지 말지 망설이는 분들도 계시더라고요.
여기에 민감하게 반응하는 것도 사실이죠.
당분간 생활할 때 불편감이 지속되니까요.

체계적인 절차에 따라 진행되는 치료라서
관리 가능한 내에서 발생하고
점점 개선되기 때문에
크게 걱정하지 않으셔도 되긴 해요^^
무조건 많이 아플 거라는 생각보다는
언제, 어떤 시점에 심하고 좋아지는지를
아는 게 불안을 줄이는 요령이 될 것 같아
관련 정보를 준비해 봤습니다.
3일차까지가 가장 심한 날

식립 직후 1시간 정도까지는
마취가 지속되기 때문에 비교적 괜찮으나
효과가 서서히 풀리기 시작하는
2~3시간 후부터
본격적으로 아프기 시작하는데요.
정도는 개수와 부위, 민감도 등에 따라
사람마다 다르게 겪을 수 있습니다.
누구는 버틸만하다 생각하다 생각하지만
또 다른 누군가는 눈물이 조금 날 정도로
힘들다 하시는 경우도 있기 마련입니다.
너무 우려하지 않으셔도 되는 게
처방된 진통제와 항생제를 꾸준히 복용하면
충분히 조절 가능한 수준이고
무리한 활동을 줄이면
부기도 훨씬 빠르게 가라앉습니다.
초반에 물려드리는 거즈도
지혈될 때까지 꽉 물어주셔야
회복에 도움이 됩니다.
다시 말해 3일차까지 가장 심하고
이후 점차 완화되는 경향을 보인다고
알고 계시면 될 것 같군요.
일주일차부터는 일상 복귀 가능

이 기간 정도면 부기가 꽤 많이 빠지고
아픔도 많이 줄어들어서
일상생활에 큰 지장이 없을 정도로
회복된다고 볼 수 있습니다.
물론 식사하거나 양치할 때는 불편할 수 있지만
가벼운 식사는 무리 없어요.
(*딱딱한 건 드시지 않아야 합니다)
남아 있더라도 진통제 없이
지낼 수 있을 만큼 거의 완화되고
시간이 더 지날수록
더욱 편하게 생활할 수 있습니다.
사람에 따라 임플란트 통증 기간이
더 축소되거나 증가할 수 있기도 해요.
일주일 이후에도 지속되면?
일반적으로는 위에서 말씀드린 것처럼
일주일 이내면 대부분의 증상이 해소되는데요.

이 기간이 지나서도 통증, 부종이 계속된다면
잇몸 염증 혹은 감염 등을 의심할 수 있으므로
치과에 방문해 상태를 확인하는 것이 좋아요.
교합치의 미적응처럼 별다른 이유가
아닐 가능성도 있으니
일단 검진받아보셨으면 하네요.
음주나 흡연, 수술 부위 자극 등이
회복을 지연시키는 요인으로 작용할 수도
있기에 주의사항을 잘 지켜주시기 바라요.
임플란트 통증 기간이 평균보다 길어질 경우
참기보다는 경과를 점검해 보는 편이
바람직하다고 볼 수 있죠~
식립 부위나 치료 난이도에 따라
달라지는 회복 속도
위치에 따라 차이가 있기도 합니다.

어금니 쪽은 저작력이 집중되는 부위이므로
회복하는 데 조금 더 시간이 걸릴 수 있고
상악동 거상술이나 골이식이 동반될 시
통증이나 부종이 더 클 수 있습니다.
앞니 부위, 뼈 상태가 양호한 경우에는
이틀 이내에 거의 사라지는 경우도 적지 않아요.
개개인의 구강 상태, 진행 방식,
생활 습관 외 여러 요인에 따라
편차가 발생할 수 있다는 거예요.
체질이나 건강 상태가
영향을 주기도 해요.
임플란트 통증 기간은 치료 자체의
영향도 있지만 환자의 전신 건강 상태나
체질에 따라 회복 반응이 달라지기도 한답니다.
당뇨나 고지혈증 등으로
약물을 복용하고 있으면
일반적인 회복 속도보다 느릴 수 있으며
감염 가능성도 상대적으로 높아집니다.
스트레스나 피로 누적도 영향을 줄 수 있고
면역력이 저하되어 있거나
구강 위생이 좋지 않은 경우에도
염증 반응이 커져 오래 지속될 수 있으니
치료 전부터 컨디션 관리를 해두어야 좋겠죠?

치료 후 어느 정도의 통증은
정상적인 회복 반응으로 간주돼요.
민감도는 사람마다 받아들이는 정도가 다르므로
무조건 참기보다는 이상 징후가 있다면
바로 치과에 가서 체크 받아보는 것이 좋습니다.
임플란트 통증 기간이라는 개념은
평균적인 기준일 뿐이라 참고만 하시면 되고
본인의 경과를 잘 관찰하고 관리하는 게
회복 관리 차원에서 더 중요해요.
심미성과 편안함을 갖추기 위한 방면으로
적절한 치료 계획과 관리보다
더 좋은 수는 없을 거예요.

어금니 깨졌을 때 통증 있는 경우 완화 방법
흔들리는 치아가 있을 때 치료받아야 하는 경우