아카이브 요약
이 페이지의 역할
연세초록빛치과의원의 네이버 블로그 원문을 보존한 아카이브 페이지입니다. 치아 정보글 카테고리의 연세초록빛 치과 , 치아 진료 시 환자들이 궁금해하는 질문: 엑스레이(X-ray) 촬영은 왜 필요할까? 글을 통해 병원의 한국어 정보 제공 방식과 진료 관련 안내 톤을 확인할 수 있습니다.
원문 검증
필요하면 원문 블로그와 병원 프로필로 바로 이동해 문맥을 다시 확인할 수 있습니다.
출처 아카이브 열기아카이브된 블로그 글
연세초록빛치과의원 · Naver Blog
안녕하세요, 연세초록빛 치과 입니다. 치아 진료를 받을 때 맨 처음에 하는 일은 엑스레이 촬영입니다. 모든 사람들이 한 번씩은 구강 사진을 찍어본 경험이 있을 텐데요. 겉으로 보기에는 멀쩡해 보이는 곳을 굳이 찍어야 되나, 의문을 가져보신 적이 있으신가요? 우리 입속은 생각보다 훨씬 복잡한 구조로 이루어져 있습니다...
게시일
2025년 9월 16일
원문 기준으로 확인된 발행일입니다.
카테고리
치아 정보글
원문 블로그 카테고리를 정리해 함께 표시합니다.
이미지 수
10
현재 아카이브에 연결된 이미지 수입니다.
아카이브 요약
연세초록빛치과의원의 네이버 블로그 원문을 보존한 아카이브 페이지입니다. 치아 정보글 카테고리의 연세초록빛 치과 , 치아 진료 시 환자들이 궁금해하는 질문: 엑스레이(X-ray) 촬영은 왜 필요할까? 글을 통해 병원의 한국어 정보 제공 방식과 진료 관련 안내 톤을 확인할 수 있습니다.
원문 검증
필요하면 원문 블로그와 병원 프로필로 바로 이동해 문맥을 다시 확인할 수 있습니다.
출처 아카이브 열기안녕하세요,
연세초록빛 치과 입니다.
치아 진료를 받을 때 맨 처음에 하는 일은
엑스레이 촬영입니다.

모든 사람들이 한 번씩은
구강 사진을 찍어본 경험이 있을 텐데요.
겉으로 보기에는 멀쩡해 보이는 곳을
굳이 찍어야 되나,
의문을 가져보신 적이 있으신가요?
우리 입속은 생각보다
훨씬 복잡한 구조로 이루어져 있습니다.
눈에 보이는 부분은
전체 구조의 일부에 불과하기 때문에,
뿌리 부분이나 잇몸뼈(치조골) 속은
겉으로는 전혀 알 수 없습니다.

자연치 바깥쪽 층은 법랑질이라 불리는
단단한 조직으로 덮여 있습니다.
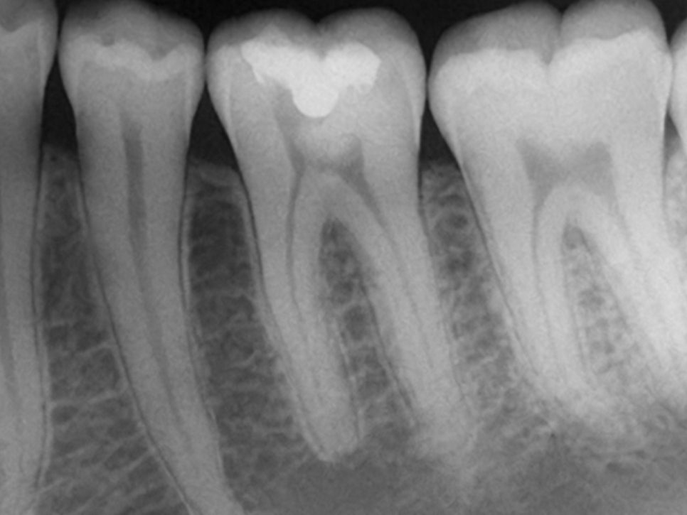
연세초록빛 치과 에서 준비한 사진을 보면
법랑질 속으로는 상아질과 치수가 있으며
겉보기에 건강해 보이더라도 이 부위에서는
이미 문제가 진행되고 있을 수 있습니다.
특히 충치(우식) 초기 단계에는
전혀 드러나지 않는 경우가 많습니다.

옆면(인접면)이나 씹는 면(교합면)의
깊은 홈 부분에서 시작되면
깊게 진행될 때까지
육안으로 찾아내기 어렵습니다.
이런 숨어있는 충치들은 엑스레이를 통해
조기에 찾을 수 있어
간단한 치료로 해결할 수 있게 됩니다.

또한 뼈 속에 숨어있는 염증이나,
뿌리 끝부분의 감염도
엑스레이를 통해서만 확인이 가능합니다.
이런 병변들은 증상이 나타나기 전까지는
환자분도 모르는 경우가 대부분입니다.
따라서 주기적으로 정기 검진을 받는 것이
무엇보다 중요하다는 것을 알 수 있습니다.

우리 입속에는 사랑니를 포함한
32개의 영구치가 있고,
각각은 서로 다른 모양과
크기를 가지고 있습니다.
연세초록빛 치과 에서 간단히
설명해 드리자면
앞니는 음식을 자르는 역할을,
송곳니는 찢는 역할을,
어금니는 갈아서 부수는 역할을 담당합니다.
이들이 제대로 기능하기 위해서는
뿌리가 뼈에 단단하게 고정되어 있어야 됩니다.
이때 X-ray를 통해 뿌리의 길이와 모양,
고정력을 평가할 수 있으며

매복 사랑니와 같이 아직 맹출되지 않았을 때는
자리 잡고 있는 방향과 위치도 확인할 수 있어
향후 일어날 수 있는 문제들을
미리 예측하고 대비할 수 있습니다.
진료는 정밀하게 이루어져야 되며
특히 임플란트나 발치를 하기 전에는
사전에 정확한 해부학적 구조를
파악하는 것이 중요합니다.

예를 들어, 아래턱 어금니 근처에는
신경이 지나가는 관이 있습니다.
이 구조물의 정확한 위치를 모르고
치료를 진행한다면 합병증이 일어날 수 있습니다.
따라서 X-ray 통해 이런 구조물들의 위치를 미리 알고
안전한 치료 계획을 수립할 수 있습니다.
또한 연세초록빛 치과 는
치료 후 염증이 잘 치유되고 있는지,
임플란트가 뼈와 잘 붙어가고 있는지를
평가하는 데 사용합니다.

전체 구강을 한눈에 보고 싶을 때는
파노라마 엑스레이를 찍습니다.
이는 머리 주위를 돌면서 찍는 방식으로
모든 치아와 턱뼈 상태를 확인할 수 있으며,
사랑니의 위치나 턱관절, 부비동 질환도
같이 관찰할 수 있습니다.
다만 이는 왜곡이 있을 수 있으므로
한 개의 치아를 자세히 보고 싶을 때는

작은 필름을 물고 2-3개의 치아만 찍어
해당 부위 및 주변 조직 상태를 알 수 있습니다.
많은 사람들이 방사선 노출에 대해 걱정하시는데,
이때 사용되는 양은 평소 자연적으로 받는
방사선과 비교해 보면 훨씬 낮은 수준입니다.

연세초록빛 치과 에서 준비한 자료를 보면
파노라마와 CT 모두 유럽 왕복 시 받는
우주 방사선보다 낮은 수치임을 알 수 있습니다.
또한 촬영 시간도 전에 비해 짧아졌기 때문에
환자분의 부담을 최소화하면서도
더 선명한 이미지를 얻을 수 있게 되었습니다.
임산부나 어린이는 주의가 필요하나,
반드시 필요한 경우에만
최소한으로 촬영을 시행하며
납 앞치마와 같은 보호 장비를 사용해
다른 부위로의 노출을 차단할 수 있습니다.
겉으로는 아무 문제가 없어 보여도
숨어있는 초기 병변들을 찾을 수 있기 때문에
6개월~1년에 한 번 정도는
검진을 받아보는 것을 권해 드립니다.
특히 과거에 충치나
잇몸 질환을 경험했거나 흡연을 하는 분들은
구강 내 문제가 생길 위험이 높기 때문에
더 자주 검사를 받는 것이 좋습니다.
진료 시 엑스레이 촬영을 하는 이유는
단순히 관례적인 검사가 아닙니다.
눈으로 볼 수 없는 내부와
주변 조직을 정확히 파악해
알맞은 치료 방법을 결정하기 위한
진단 도구임을 말씀드립니다.
따라서 검진을 미루지 마시고
주기적으로 받으시길 바랍니다.
오늘 제가 알려드린 내용이
도움이 되셨길 바라며
저의 설명은 여기서 마치도록 하겠습니다.
지금까지 연세초록빛 치과 였습니다.
감사합니다.