아카이브 요약
이 페이지의 역할
연세초록빛치과의원의 네이버 블로그 원문을 보존한 아카이브 페이지입니다. 치아 정보글 카테고리의 당산동 치과 신경치료 실패 후 치근단 절제술 Feat.미세 현미경 글을 통해 병원의 한국어 정보 제공 방식과 진료 관련 안내 톤을 확인할 수 있습니다.
원문 검증
필요하면 원문 블로그와 병원 프로필로 바로 이동해 문맥을 다시 확인할 수 있습니다.
출처 아카이브 열기아카이브된 블로그 글
연세초록빛치과의원 · Naver Blog
안녕하세요, 보존과전문의 김민영입니다. 치아를 손으로 쥐고 있는 모습을 보시면 아주 작은 것을 알 수 있습니다. 그 안에는 매우 여러 요소들이 있죠. 신경치료 단계에서는 작은 통로를 형성하여 작은 내부 구조를 제거하고 소독하여 청결을 도모하는 단계를 거쳐야 된답니다. 그래서 비교적 까다롭고 섬세한 작업이 필요한...
게시일
2025년 10월 17일
원문 기준으로 확인된 발행일입니다.
카테고리
치아 정보글
원문 블로그 카테고리를 정리해 함께 표시합니다.
이미지 수
7
현재 아카이브에 연결된 이미지 수입니다.
아카이브 요약
연세초록빛치과의원의 네이버 블로그 원문을 보존한 아카이브 페이지입니다. 치아 정보글 카테고리의 당산동 치과 신경치료 실패 후 치근단 절제술 Feat.미세 현미경 글을 통해 병원의 한국어 정보 제공 방식과 진료 관련 안내 톤을 확인할 수 있습니다.
원문 검증
필요하면 원문 블로그와 병원 프로필로 바로 이동해 문맥을 다시 확인할 수 있습니다.
출처 아카이브 열기안녕하세요, 보존과전문의 김민영입니다.

치아를 손으로 쥐고 있는 모습을 보시면
아주 작은 것을 알 수 있습니다.
그 안에는 매우 여러 요소들이 있죠.
신경치료 단계에서는 작은 통로를 형성하여
작은 내부 구조를 제거하고 소독하여
청결을 도모하는 단계를 거쳐야 된답니다.
그래서 비교적 까다롭고 섬세한 작업이 필요한데,
이 과정에서 도움을 주는 것이 미세현미경이랍니다.
맨눈으로 봤을 때 잘 안 보이는 곳까지
크게 확대해서 보여주기 때문에
다양한 보존 진료 시 유용하게
사용되고 있습니다.
이렇게 세밀한 요소까지 체크를 했음에도
수많은 부근관이 존재하는 복잡한 구조를 갖고 있어
간혹 염증이 재발하는 케이스가 있습니다.
오늘 당산동 치과 에서는 신경치료에 실패했을 때
시도해 볼 수 있는 [치근단 절제술]에 관련된
정보를 공유해 보려 합니다.

치근단 병소가 심화되어
신경치료만으로 개선이 어렵다 판단될 경우,
치아 뿌리 끝 3mm 가량을 잘라내고
그 자리에 생체친화적인 MTA를 사용해서
역충전을 함으로써
긍정적인 차도를 유도하는 것을
치근단 절제술(Apocoectomy)이라 부릅니다.
이 과정이 여간 쉬운 게 아니기 때문에
신중을 기여해야 된답니다.
또한 질환이 심화된 케이스에 시행하는 만큼
무조건 성공할 수 있는 것이 아니므로
발치를 염두에 두고 진료에 들어가는 게 좋으며
부종, 출혈, 감염, 멍 등 여러 부작용이
함께 나타날 수 있다는 점을
꼭 인지하시는 게 좋습니다.
그럼 어떤 케이스에서 시도해 볼 수 있는지
어떤 단계를 거치게 되는지
.
.
당산동 치과 에서 준비한 자료를 보면서
자세하게 설명해 드리려 합니다.

사진을 보시면 잇몸에 볼록하게 여드름이
올라온 것을 알 수 있습니다.
대개 이러한 양상을 보이는 이유는
치아 뿌리에 커다란 염증이 생겨나
심화되면서 볼록한 여드름이
잇몸에 올라오는 것이랍니다.
눈으로 보는 것만으로는 정확하게
문제를 파악하기 어렵기 때문에
방사선사진을 찍어 내부가 어떤 상태인지
체크해 보는 과정을 거칩니다.

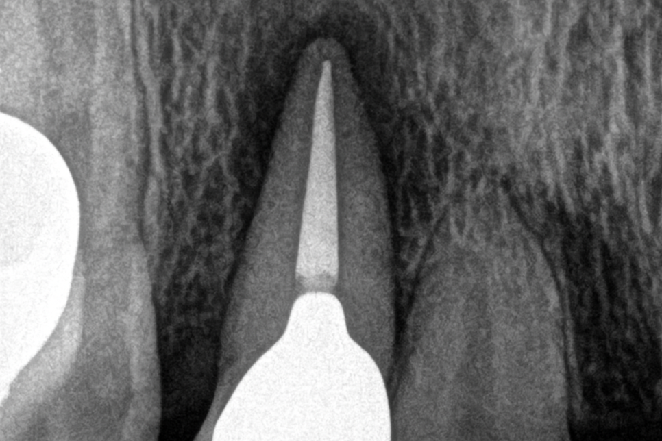
당산동 치과 사진을 보시면 내부 조직이 온전히 제거되어
재료가 채워져 있는 모습이 확인되고 있습니다.
이로써 일전에 신경치료를 받았음을
알 수 있는데 그 후 예후가 불량합니다.
뿌리 끝을 자세히 보시면 치아 주변으로
검게 투과 양상이 뚜렷하게 증가하고 있습니다.
염증이 생겨났기 때문에 검게 보이는 것인데
꽤 넓은 영역에 농덩어리가 생겨나
단순히 재신경치료에 들어간다 해서
긍정적인 차도를 이끌어내긴 어렵다 생각됩니다.
이런 케이스에 적용해 볼 수 있는 게
치근단절제술이랍니다.
외과적으로 뿌리 끝 3mm가량을
절제해 줌으로써 세균이 들어와 감염되는
통로 자체를 제거해 주는 것이죠.
이때 아주 미세한 요소 하나까지
관찰해야 되기 때문에
원내 현미경이 있다면 적극
활용해 볼 수 있습니다.
그 과정을 당산동 치과 에서
간략하게 설명해 드리겠습니다.

먼저 잇몸을 박리하고 치조골을 삭제하여
기구가 들어갈 수 있는 통로를 형성해 줍니다.
이후 염증을 긁어내 깨끗한 환경을
조성하게 됩니다.
일련의 단계를 거쳐 치아 뿌리가 드러나면
끝부분 3mm 정도를 절제해 줍니다.
이후 내부에 충전되어 있는 재료를
긁어내서 제거합니다.
이로써 생체친화적인 재료인 MTA를
충전해 줄 공간이 확보되었습니다.

밀폐를 얻어낼 수 있도록
현미경으로 꼼꼼하게 관찰하며
역충전 단계를 거칩니다.
도구를 사용해서 재료를 다지듯이 밀어 넣고
코튼 롤을 적셔서 외형을 다듬어줍니다.
충전 작업이 마무리된 후, 골 흡수로 인하여
뼈 이식이 필요하다면 추가로 진행해 주고
절개 부위를 닫아줍니다.
이후 경과는?
술 후 흡연이나 음주를 멀리하고
청결하게 구내를 관리해 주면서
경과를 지켜보게 됩니다.

염증을 긁어내 깨끗한 환경이 조성되어
점차 치유되면 당산동 치과 사진처럼
잇몸 여드름이 사라지고 다시 안정된
상태를 보여주게 됩니다.
오늘은 자연치를 보존하는 방법 가운데 하나인
치근단 절제술과 관련된 정보를 공유해 봤습니다.
제가 준비한 소식이 유익하셨길 바라며
글 마치도록 하겠습니다.
지금까지 당산동 치과 김민영이었습니다.
감사합니다.