아카이브 요약
이 페이지의 역할
연세초록빛치과의원의 네이버 블로그 원문을 보존한 아카이브 페이지입니다. 치아 정보글 카테고리의 앞니 임플란트 왜 잇몸이 내려앉아 보이나요? : 영등포구청 치과 글을 통해 병원의 한국어 정보 제공 방식과 진료 관련 안내 톤을 확인할 수 있습니다.
원문 검증
필요하면 원문 블로그와 병원 프로필로 바로 이동해 문맥을 다시 확인할 수 있습니다.
출처 아카이브 열기아카이브된 블로그 글
연세초록빛치과의원 · Naver Blog
안녕하세요, 영등포구청 치과 보존과 전문의 김민영입니다. 임플란트는 상실된 치아를 대처하는 데 있어 우수한 치료로 알려져 있습니다. 불과 몇 년 전만 해도 어렵고 난이도 높은 시술이라 알려져 있었기 때문에 경제적인 틀니를 택하는 분도 많았는데, 요즘에는 의치를 거의 진행하지 않는 추세죠. 또한 치의학의 발전으로 치...
게시일
2025년 11월 5일
원문 기준으로 확인된 발행일입니다.
카테고리
치아 정보글
원문 블로그 카테고리를 정리해 함께 표시합니다.
이미지 수
5
현재 아카이브에 연결된 이미지 수입니다.
아카이브 요약
연세초록빛치과의원의 네이버 블로그 원문을 보존한 아카이브 페이지입니다. 치아 정보글 카테고리의 앞니 임플란트 왜 잇몸이 내려앉아 보이나요? : 영등포구청 치과 글을 통해 병원의 한국어 정보 제공 방식과 진료 관련 안내 톤을 확인할 수 있습니다.
원문 검증
필요하면 원문 블로그와 병원 프로필로 바로 이동해 문맥을 다시 확인할 수 있습니다.
출처 아카이브 열기안녕하세요, 영등포구청 치과 보존과 전문의
김민영입니다.
임플란트는 상실된 치아를 대처하는 데 있어
우수한 치료로 알려져 있습니다.

불과 몇 년 전만 해도 어렵고 난이도 높은 시술이라
알려져 있었기 때문에 경제적인 틀니를 택하는 분도 많았는데,
요즘에는 의치를 거의 진행하지 않는 추세죠.
또한 치의학의 발전으로 치유 기간을 거치지 않고
이를 뽑은 직후 바로 나사를 심는 것도 가능해졌습니다.
이를 뽑은 후 즉시 나사를 심을 경우에는
골 자체의 구조를 활용하여 초기 고정력을 확보하고,
좋은 위치를 선정하는데 큰 도움도 받을 수 있습니다.
무엇보다 중요한 건 치료 기간 자체가
단축되기에 많은 이가 선호하죠,
특히 심미와 직결되어 있는 앞니에서
주로 사용하게 됩니다.
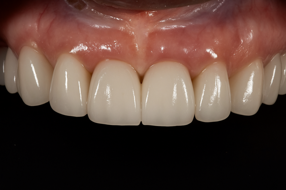
앞니 임플란트 뭐가 중요할까?
자연치의 기능을 회복시키는 것과 더불어
심미적인 영역까지 개선해 주어야
추후 문제를 만들거나 콤플렉스가 되어
환자의 스트레스가 되지 않습니다.
전치부에서 심미적인 결과를 만들기 위해서는
주변 연조직의 형태(치경부 위치, 치간 유두 높이 및 형태,
협측 함몰 정도 등)를 이를 뽑기 전 상태 그대로
보존하는 것에 크게 의존합니다.
그런데 생각보다 보존이 어렵죠.
그 이유를 영등포구청 치과 에서 설명해 드리겠습니다.
발치와 협측의 얇은 치조골은 대부분
속상골(Bundle bone)로 이루어져 있기 때문에
이를 뽑고 난 후 자연스럽게 소실됩니다.
이로 인하여 결과적으로 치조골의 협설적 폭경과
수직적인 감소가 발생하게 됩니다.

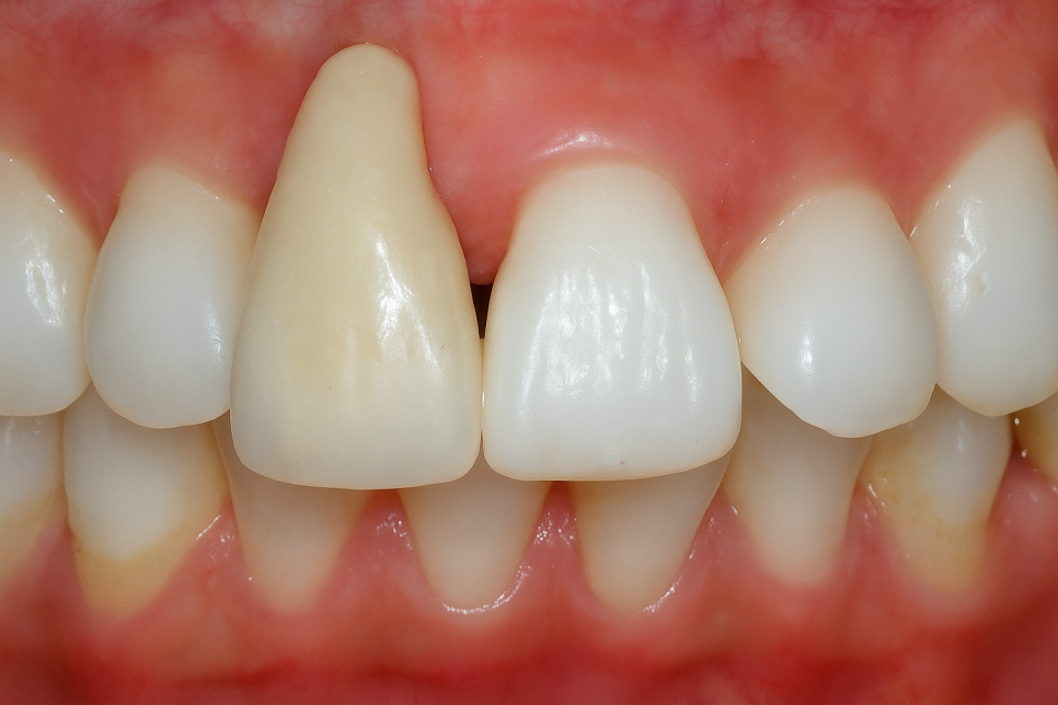
뼈가 내려앉아 충분한 양이 확보되지 않으면
그만큼 잇몸이 내려앉아 보일 수밖에 없고,
이는 심미와 직결되어 문제를 만들 수 있는
요소가 될 수 있습니다.
그렇기 때문에 골소실을 최소화하여
현상태를 그대로 보존하는 것이
정말 중요한 포인트가 되는 것이죠.
이에 대해 영등포구청 치과 에서 조금 더
자세히 설명해 보도록 하겠습니다.
치조제의 변화

이를 뽑고 바로 픽스처를 심는 케이스에서
픽스처처와 발치와 사이 공간이 2mm 이하로 유지되면
굳이 골이식을 추가로 하지 않더라도
골 유착이 안정적으로 진행됩니다.
그러나 골이식을 동반하지 않고 발치 후 즉시 식립에 들어가면
필연적으로 치조골 흡수로 이어집니다.
10명의 환자에게서 15개의 단근치를 뽑고
즉시 심었던 한 연구를 보면,
나사를 심을 당시와 비교하여
6개월의 치유 기간을 거친 후 이차 수술을 시행할 당시
치조정에서의 협설폭경 의 변화는
10.5±1.5 mm에서 6.8±1.3 mm로 크게 감소했습니다.
또 다른 연구에서는 즉시 나사를 심을 경우와
발치 후 6주에서 8주 후 지연 식립한 경우에 관해서도 보고했습니다.
즉시 심은 군에서는 수술 시 협설 폭이 10±1.522 mm에서
이차 수술 시 8.1±1.334 mm로 감소하였으며,
지연 식립을 한 군에서는 8.86±2.356 mm에서
이차 수술 시 5.8±1.265 mm로 감소했습니다.
이들의 연구에 의하면 지연 식립 당시에
치조제의 흡수는 이미 진행된 상태이지만,
나사를 심은 이후에도 일정 정도
치조골이 더 내려앉는 것을 알 수 있습니다.
앞서 영등포구청 치과 에서 소개해 드린
연구를 바탕으로 정리해 보면,
이를 뽑고 난 후 바로 나사를 심었을 때
뼈가 수평적으로 내려앉아 심미적인 측면에서
치은 퇴축 같은 합병증을 야기할 수 있으나,
발치와 내 골이식을 시행하거나
차페막을 사용해 줌으로써
뼈가 내려앉는 것을 어느 정도
현저하게 줄일 수 있습니다.
연조직의 변화
치조골의 흡수가 잇몸 변화와
직결되어 있으며,
이는 임플란트 주변 치은연의 퇴축과 안정에도
큰 영향을 미치게 됩니다.
영등포구청 치과 에서 찾은 연구에서는
골조직 흡수는 이를 뽑고 바로 심는 것과
지연 식립에서 어느 정도 차이를 보였으나,

잇몸은 픽스처의 삼차원적인 식립 위치가
더욱 중요한 영향을 미쳤습니다.
또한 치조골 이식을 동반하지 않으면
단기간 연조직 퇴축 양은 평균적일 수 있으나,
장기적으로 추가적은 퇴축이 꾸준히
생겨날 수 있기 때문에 안정성을 저해시킵니다.
정리해 보면,
시기는 개인별로 차이가 있겠으나,
뼈가 흡수되지 않도록 최대한 유지해 주고
잇몸이 내려앉지 않고 안정될 수 있도록 해주어야

앞니 임플란트 기능뿐만 아니라 심미까지
되살릴 수 있습니다.
말로 풀어보면 꽤 간단해 보일 수 있으나,
치조제의 흡수를 막고 기존 상태를 유지하는 건
꽤 어려운 테크닉이 필요합니다.
그렇기에 보존적인 측면에서 전문적인
솔루션을 제시할 수 있는 곳에서 치료를 받는 게
예후에 큰 영향을 미친다 생각합니다.
앞니 임플란트를 앞두고 계신 분에게
영등포구청 치과 의 글이 도움이 되었길 바랍니다.