아카이브 요약
이 페이지의 역할
연세초록빛치과의원의 네이버 블로그 원문을 보존한 아카이브 페이지입니다. 치아 정보글 카테고리의 자연치 보존을 방해하는 C형 근관 : 당산동 치과 신경치료 글을 통해 병원의 한국어 정보 제공 방식과 진료 관련 안내 톤을 확인할 수 있습니다.
원문 검증
필요하면 원문 블로그와 병원 프로필로 바로 이동해 문맥을 다시 확인할 수 있습니다.
출처 아카이브 열기아카이브된 블로그 글
연세초록빛치과의원 · Naver Blog
세면대 아래 배관을 자세히 보시면, 굴곡져 있는 부분이 있죠. 여기에 머리카락이나 수많은 이물질이 침착되고 끼어 물이 잘 내려가지 않을 때가 있습니다. 유난히 이런 불편이 잦은 이유는 배관이 굴곡져 있다는 특징 때문이죠. 이러한 특징을 닳은 [C형 근관]에 대한 이야기를 나눠보려 합니다. 말 그대로 치아 뿌리가...
게시일
2025년 11월 21일
원문 기준으로 확인된 발행일입니다.
카테고리
치아 정보글
원문 블로그 카테고리를 정리해 함께 표시합니다.
이미지 수
6
현재 아카이브에 연결된 이미지 수입니다.
아카이브 요약
연세초록빛치과의원의 네이버 블로그 원문을 보존한 아카이브 페이지입니다. 치아 정보글 카테고리의 자연치 보존을 방해하는 C형 근관 : 당산동 치과 신경치료 글을 통해 병원의 한국어 정보 제공 방식과 진료 관련 안내 톤을 확인할 수 있습니다.
원문 검증
필요하면 원문 블로그와 병원 프로필로 바로 이동해 문맥을 다시 확인할 수 있습니다.
출처 아카이브 열기
세면대 아래 배관을 자세히 보시면,
굴곡져 있는 부분이 있죠.
여기에 머리카락이나 수많은 이물질이 침착되고 끼어
물이 잘 내려가지 않을 때가 있습니다.
유난히 이런 불편이 잦은 이유는 배관이
굴곡져 있다는 특징 때문이죠.
이러한 특징을 닳은 [C형 근관]에 대한 이야기를 나눠보려 합니다.
말 그대로 치아 뿌리가 곧게 뻗어 있는 게 아니라
끝으로 갈수록 휘어져 C자 모양처럼 보이는
독특한 형태의 신경을 말하는데,
이러한 특징을 갖고 있는 탓에 신경치료 시에
자연치 보존을 방해하곤 합니다.
왜 C자 모양을 갖고 있으면 신경치료를 방해하는지에 대해
당산동 치과 에서 집중 분석해 보겠습니다.

근관은 매우 다양하게 생겼습니다.
당산동 치과 에서 준비한 사진을 보시면 그 다양성이 한눈에 이해되시죠?
대개 뿌리가 곧게 뻗어져 나가는 반면,
C자 모양으로 만곡되어 있는 케이스는
치수가 서로 얽혀 있어 감염된 부위를 깨끗하게
소독하는 단계가 어렵습니다.
치근이 협측이나 설측면에서 제대로 분리되어야 되는데,
융합되어 하나처럼 보이거나 백악질의 침착 혹은 상피근막의
융합 실패를 원인으로 꼽아볼 수 있습니다.
그래서 'C'자 모양으로 연결된 구조를 갖게 되는데,
위치마다 형태 변화가 잦습니다.
그래서 횡단면을 보면 C자, 리본형, 원통형 등
매우 다양한 모양이 관찰되죠.
특히나 아시아인에게는 21.5%, 서구권에서는 2.7%
발현된다 보고되고 있으며,
하악 제2대구치에서 호발하는 것으로 알려져 있습니다.
C형 근관이라해서 무조건 문제가 생겨나는 건 아닙니다.
치아의 구조에서 나타나는 형태 이상일뿐,
일상생활에서는 별다른 문제로 이어지지 않습니다.
다만, 신경치료가 까다롭고 재발율이 높기에
자연치 보존을 방해할 수도 있다는 점 때문에
종종 이로 인하여 발치 확률이 높아지곤 합니다.
일반적으로 신경치료를 할 때는
[감염 해소]를 얼마나 잘하느냐에 따라
성공률이 좌우됩니다.
매우 복잡하게 생겼기 때문에 추후 세균이 다시 들어와
재감염될 우려가 높기 때문에
초반에 신경을 탐색하여 놓치지 부분이 없어야 되는데
C형 근관은 탐색부터 원활하지 않습니다.


당산동 치과 에서 준비한 사진처럼
서로 연결되어 있거나 넓게 펼쳐져 있는 형태를 갖고 있기에
입구를 찾는 것부터 어렵습니다.
또한 뿌리 안쪽 상아질의 두께가 얇거나
매우 납작하게 형성되어 있어서
기구가 닿지 않는 부분이 생겨납니다.
그럼 당연하게 소독하는 과정이 어렵겠죠.
그럼 어떻게 해야 될까요?
C형 근관의 형태 특성상 진료 성공률이 낮고
재발 가능성이 높다 해서 무조건 발치를 해야 되는 건 아닙니다.
자료를 통해 내부를 파악하고 신중을 기여함으로써
어느 정도 구조의 한계를 극복할 수 있는데,
이 과정에서 어떤 포인트에 주목해야 되는지
당산동 치과 에서 설명해 드리겠습니다.

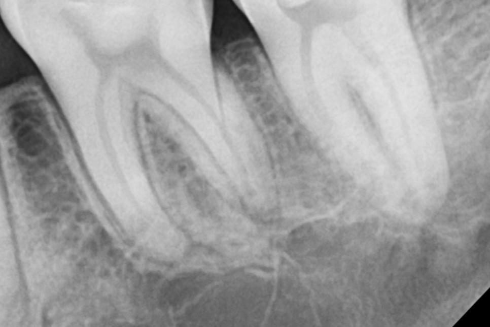
당산동 치과 에서 준비한 사진에서 보이는
두 개의 치아 가운데 하나는 C형 근관입니다.
이 사진 하나만으로는 이를 판단하긴 어렵습니다.
내부를 삼차원적인 자료로 꼼꼼히 확인해 주어야지
어느 부근에서 만곡되는지 혹시 세미콜론(;)처럼 끊어져 있지는 않는지,
치수강저(pulp chamber floor)의 형태는 어떠한지, 입구(orifice)는 어디인지 등
사전에 여러 요소를 파악하고 진료에 들어갈 수 있습니다.
꼼꼼하게 치아의 구조를 파악해 준 이후,
탐침이나 파일 등 기구를 사용해서 신경을 찾는데 집중합니다.
이때 너무 강제로 입구를 넓히게 되면 천공될 수 있습니다.
특히 상아질 두께가 얇을 때는 더욱 위험하죠.
매우 미세한 내부를 파악해야 되므로
이 과정에서 미세 현미경을 사용하면
더욱 세밀하고 정교한 작업이 가능합니다.
이후 입구를 찾았다면 내부를 소독하게 되는데,
앞서 설명드린 것처럼 기구가 도달하기 어려운 지점이
생겨날 수 있으므로 파일링 과정에서 여러 방법을 사용하여
소독 용액이 깊게 도달할 수 있도록 합니다.

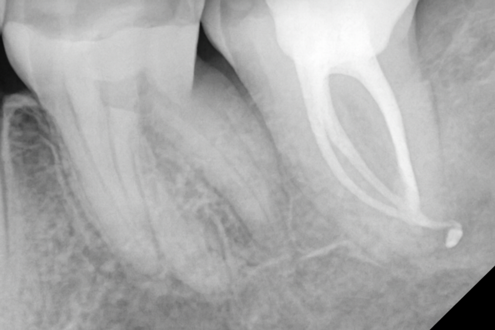
이후 감염이 해소되는 양상이 관찰되면
당산동 치과 에서 준비한 예시 사진처럼
내부를 생체친화적인 재료로 충전하게 되는데,
이때도 신중을 기여해야 됩니다.
밀봉이 잘 되어야 추후 세균 감염이 다시 생겨날
우려가 적어지기 때문에
충전재를 사용하여 밀폐를 얻어내는데 집중합니다.
해부학적 구조로 인하여 C형 근관의
진료의 한계가 있는 것은 사실이나,
그렇다고 무조건 자연치 보존이 어려워
발치로 이어지는 것은 아닙니다.
긍정적인 예후를 만들기 위해서는
복잡한 내부를 이해하고 철저히 준비한다면
해부학적 구조의 한계도 극복할 수 있죠.
이러한 과정이 원활히 이뤄지려면
개인적으로 '의료진 선택'이 중요하다 생각합니다.
기존에 비슷한 케이스를 해소한 이력이 있는지
보존과 전문의인지 체크해 봐야
보다 전문적인 개선 과정을 제시해 줄 수 있기 때문이죠.
오늘 당산동 치과 에서 준비한 정보는 여기까지랍니다.
유익한 소식이 되었길 바라며 글 마치겠습니다.
지금까지 김민영이었습니다, 감사합니다.