아카이브 요약
이 페이지의 역할
연세초록빛치과의원의 네이버 블로그 원문을 보존한 아카이브 페이지입니다. 치아 정보글 카테고리의 선유도역 치과 임플란트 수명은 잇몸이 결정한다?! Ft. 부착치은 글을 통해 병원의 한국어 정보 제공 방식과 진료 관련 안내 톤을 확인할 수 있습니다.
원문 검증
필요하면 원문 블로그와 병원 프로필로 바로 이동해 문맥을 다시 확인할 수 있습니다.
출처 아카이브 열기아카이브된 블로그 글
연세초록빛치과의원 · Naver Blog
안녕하세요, 보존과전문의 김민영입니다. 충치나 치주염이 심해져 내 치아를 발치하게 되었다면? 그 역할을 대신하기 위한 무언가 필요합니다! 그 대안으로 흔히 "임플란트"를 떠올리시는데, 오늘은 수명을 결정하는 부착치은에 대해 설명해 드리려 합니다. 여러분의 이해를 돕기 위해 잇몸에 대한 설명부터 선유도역 치과 에서...
게시일
2025년 12월 16일
원문 기준으로 확인된 발행일입니다.
카테고리
치아 정보글
원문 블로그 카테고리를 정리해 함께 표시합니다.
이미지 수
7
현재 아카이브에 연결된 이미지 수입니다.
아카이브 요약
연세초록빛치과의원의 네이버 블로그 원문을 보존한 아카이브 페이지입니다. 치아 정보글 카테고리의 선유도역 치과 임플란트 수명은 잇몸이 결정한다?! Ft. 부착치은 글을 통해 병원의 한국어 정보 제공 방식과 진료 관련 안내 톤을 확인할 수 있습니다.
원문 검증
필요하면 원문 블로그와 병원 프로필로 바로 이동해 문맥을 다시 확인할 수 있습니다.
출처 아카이브 열기안녕하세요, 보존과전문의 김민영입니다.
충치나 치주염이 심해져 내 치아를 발치하게 되었다면?
그 역할을 대신하기 위한 무언가 필요합니다!
그 대안으로 흔히 "임플란트"를 떠올리시는데,
오늘은 수명을 결정하는 부착치은에
대해 설명해 드리려 합니다.
여러분의 이해를 돕기 위해
잇몸에 대한 설명부터 선유도역 치과 에서
해드리도록 하겠습니다.
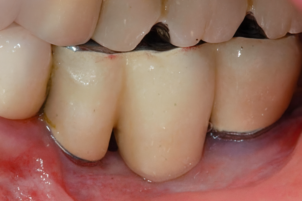
부착치은이란?
다 똑같은 거 아닌가? 생각하실 수 있으나,
다릅니다!
치아와 제일 가까운 곳을 한번 손으로 만져보시면
어느 정도 움직임이 있을 겁니다.
유동성이 있기 때문에 치주낭이라는 주머니가 있죠.

조금 더 윗쪽을 만져보면 아래쪽과 달리
움직임이 없을 겁니다.
이 부분을 [부착치은]이라 부릅니다.
그리고 여길 넘어 더 윗쪽으로 올라가면
다시 말랑한 부분이 있는데
점막이라 부르고 있습니다.
유동성이 있는 곳과 점막 사이,
이 부분이 부착치은인데
충분한 양이 없으면 수명에 영향을 줍니다.
그 이유에 대해서 선유도역 치과 에서
자세히 설명해 드리겠습니다.
Q. 어떤 역할을 하나요?
앞서 설명드린 부착치은은
"방패"와 같은 역할을 합니다.
뼈와 치아에 단단하게 붙어
안정성과 보호를 제공하는 조직이라,
세균이나 박테리아 등이 침투되지 않도록
1차 방어를 도맡고 있습니다.
첫째, 단단하게 부착되어 임플란트나 치아 주변
구조물을 지지하여 움직임을 최소화하여
'안정성'을 제공합니다.
둘째, 외부 자극이나 세균으로부터
'보호'해줍니다.
셋째, 단단한 잇몸이기 때문에
음식이나 칫솔질 같은 기계적인 자극으로부터
'보호'합니다.
넷째, 잇몸이 내려앉는 퇴축을 예방하며
심미를 증진시켜줍니다.
그래서 오랫동안 건강하기 위해서는
충분한 양이 확보되어야 됩니다.

그런데 발치 후 치조골이 흡수되거나,
염증이 오래 자리를 잡고 있어 골조직이 내려앉는 등
여러 이유로 인하여 잇몸이 소실되면,
보호막 역할을 할 조직이 부족해져
쉽게 세균이 침입하여
염증에 취약한 상태가 될 수밖에 없습니다.
앞서 선유도역 치과 에서 말씀드린 상황에 이르면,
칫솔질이나 음식을 먹는 과정에서 생겨난
작은 충격에도 쉽게 상처가 생겨나고
이 시림이나 통증 같은 증상이 나타나겠죠.
그래서 자연치나 임플란트로
오래 건강하게 유지하려면,
충분한 양을 확보해야 됩니다.
Q. 얼마나 있어야 충분한 걸까요?

The width of the attached gingiva — Much ado about nothing? / journal of dentistry 38 (2010)
관련된 한 논문을 선유도역 치과 에서 준비해 봤습니다.
여러 논문을 리뷰해서 정리한 건데,
이 가운데 한 논문에서는 2mm 이상이
필요하다는 연구도 있었습니다.
또한 이 외 다른 논문에서 몇몇 저자는
1mm 이하가 되어도 충분하다 말하는 반면
다른 이들은 각화 조직의 높이가
3mm는 넘어야 된다 말하고 있습니다.
더불어 높이뿐만 아니라 분포가 균일하게
어느 정도 확보되어야 된다 하는 이들도 있었죠.
만약 이보다 적다면 근단변위판막술이라는
수술을 통해 어느 정도 양을 확보해 주어야 됩니다.
Q. 근단변위판막술은 뭔가요?


이 수술은 잇몸의 위치를 바꿔
유동성이 있던 부분을 뼈와 붙어 단단하게
만들어주는 과정입니다.
움직임이 있는 부분을 아래로 끌어와
단단하게 각화 되도록 유도함으로써
방패 역할을 해줄 부위를
충분히 확보하는 과정을 말하죠.
까다로운 과정이 요구되기 때문에
의료진의 경험과 실력이 중요한 수술이죠.

오늘 선유도역 치과에서는 임플란트의
수명을 좌우하는 요소에 대해 설명해 드렸습니다.
나무나 식물이 건강하게 자라나려면
토양이 비옥하고 볕이 잘 들어야 되는 것처럼
임플란트도 건강한 환경이 뒤받쳐줘야 된답니다.
오늘 제가 공유해 드린 내용도 유익하셨길 바라며
글 마치도록 하겠습니다.
지금까지 선유도역 치과 보존과 전문의
김민영이었습니다, 감사합니다.
