아카이브 요약
이 페이지의 역할
연세초록빛치과의원의 네이버 블로그 원문을 보존한 아카이브 페이지입니다. 치아 정보글 카테고리의 당산동 치과 원데이 화이트닝, 미백 치약보다 효능 확실한 이유는?! 글을 통해 병원의 한국어 정보 제공 방식과 진료 관련 안내 톤을 확인할 수 있습니다.
원문 검증
필요하면 원문 블로그와 병원 프로필로 바로 이동해 문맥을 다시 확인할 수 있습니다.
출처 아카이브 열기아카이브된 블로그 글
연세초록빛치과의원 · Naver Blog
안녕하세요, 당산동 치과 보존과 전문의 김민영입니다. 여러분은 치약을 고를 때 어떤 기준으로 고르시나요? 저는 충치 예방을 위해서 꼭 불소가 다량 함유된 것을 고르는데, 올리*영이나 마트에 갔을 때 흔히 보이는 "누렁니를 밝게 만들어 드립니다" 홍보하고 있는 치약을 고르는 분이 꽤 많더라고요, 그런데 막상 후기...
게시일
2025년 12월 19일
원문 기준으로 확인된 발행일입니다.
카테고리
치아 정보글
원문 블로그 카테고리를 정리해 함께 표시합니다.
이미지 수
7
현재 아카이브에 연결된 이미지 수입니다.
아카이브 요약
연세초록빛치과의원의 네이버 블로그 원문을 보존한 아카이브 페이지입니다. 치아 정보글 카테고리의 당산동 치과 원데이 화이트닝, 미백 치약보다 효능 확실한 이유는?! 글을 통해 병원의 한국어 정보 제공 방식과 진료 관련 안내 톤을 확인할 수 있습니다.
원문 검증
필요하면 원문 블로그와 병원 프로필로 바로 이동해 문맥을 다시 확인할 수 있습니다.
출처 아카이브 열기안녕하세요,
당산동 치과 보존과 전문의 김민영입니다.
여러분은 치약을 고를 때
어떤 기준으로 고르시나요?
저는 충치 예방을 위해서
꼭 불소가 다량 함유된 것을 고르는데,
올리*영이나 마트에 갔을 때
흔히 보이는 "누렁니를 밝게 만들어 드립니다"
홍보하고 있는 치약을 고르는 분이 꽤 많더라고요,
그런데 막상 후기를 찾아보면,
효능이 뚜렷하지 않아 원하는 만큼
밝아지지 않는다는 말이 많습니다.
그 이유는 제품력에 있기보단
핵심 성분의 농도가 낮기 때문입니다.
당산동 치과 에서 이에 대해
자세히 설명해 드리겠습니다.
옥시크린 아시나요?
얼룩진 흰옷을 산소 방울로 희게 만들어주는
세탁 세제로 유명하죠.
이와 비슷한 원리로 핵심 성분인 "과산화수소"가
치아 겉면에 있는 착색물질을 탈락시켜
본래 색을 되찾게 만들어주는 게
화이트닝 과정의 원리랍니다.
그런데 치약은 의약외품으로 분류되기에
핵심 성분인 과산화수소 농도가 일정 부분
규제되어 있습니다.
위생 관리나 질병 방지를 위한
목적으로 만든 제품이기 때문에
3%로 규제되어 있습니다.
반면 병의원에서 원데이 화이트닝 시 사용하는
제품은 의약품이므로 15%로 규제되어 있죠.
핵심 성분이 들어가 있는 용량이 다르기에
효능도 차이를 보일 수밖에 없습니다.
당산동 치과 에서 원데이 화이트닝을 통해
어떻게 개선할 수 있는지 설명해 드리겠습니다.

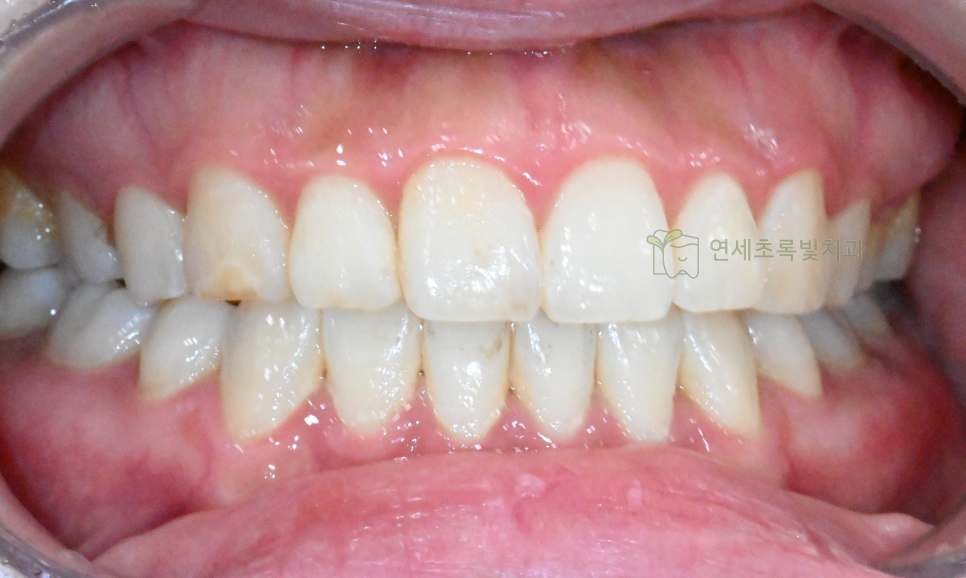
본래 치아 색이 누런 편은 아니었으나,
군데군데 얼룩진 모습이 관찰되고 있습니다.
치아 색이 균일하지 못하기에
심미가 저하되고 있었죠.
이렇게 변색된 이유는 외인성 착색 때문이랍니다.
제일 바깥쪽에 있는 겉질인 법랑질이
카레나 커피 등으로 인하여 착색되어
이렇게 색이 누렇게 변한 것이죠.

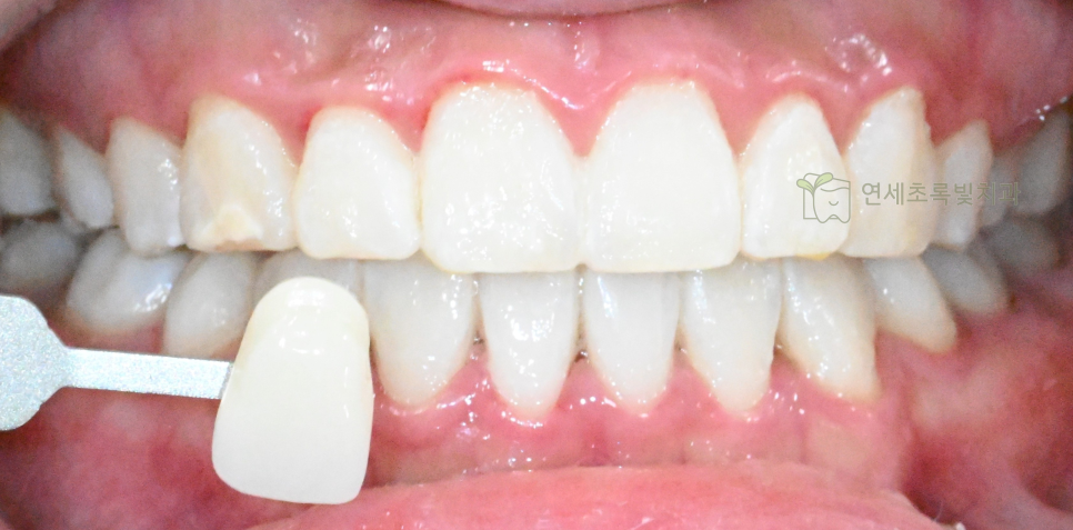
이런 경우, 원데이 화이트닝을 거치면
본래의 색을 되찾아 밝아집니다.
군데군데 누렇게 변색된 부분이 밝아지며
약제 도포 3회 만에 A1 색상을 되찾았습니다.
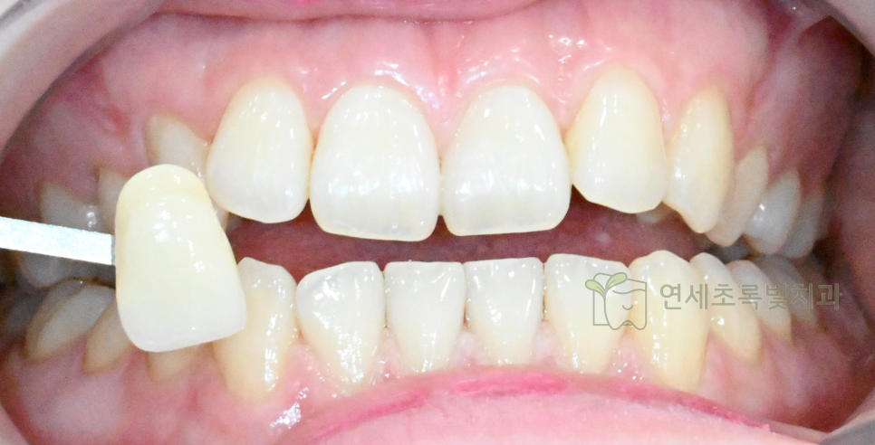
당산동 치과 에서 준비한 예시 자료
하나를 더 보여드리겠습니다.

해당 케이스 역시 살짝 누렇게
변색된 느낌이 들고 있습니다.
사람마다 피부 톤이 다르기 때문에
화장품 선택 시 도움이 되도록 17호, 21호 등
숫자로 구분하는 것과 같이
치아의 색상도 달라 채도와 명도를
알파벳과 숫자로 구분합니다.
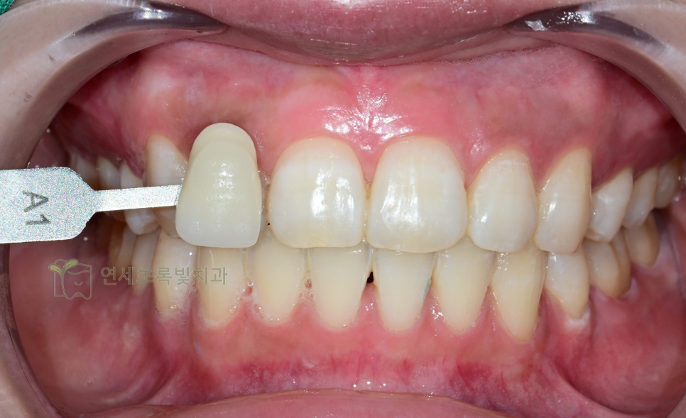
원데이 화이트닝 전에는 A2로
측정되었던 예시 케이스.

미백제를 3회 반복해서 도포한 결과,
A1으로 밝아졌습니다.

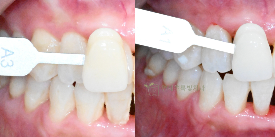
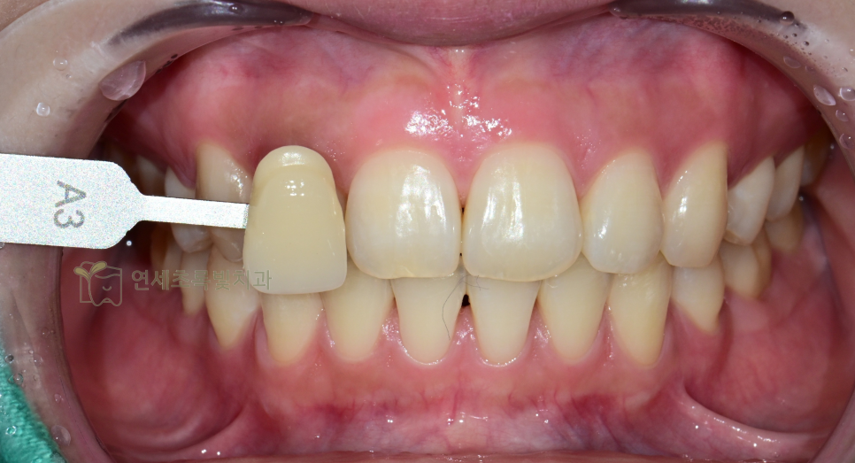
해당 케이스 역시 A3로
다소 어두운 톤을 갖고 있습니다.
원데이 미백을 통해서 A1으로
밝은 본래 색을 되찾았죠.

앞서 당산동 치과 에서 보여드린 예시 케이스보다
더 어두운 A3를 띠고 있습니다.

약제를 3회 도포해 줌으로써
밝은 A1까지 색을 되돌릴 수 있었습니다.
전후 차이가 매우 또렷하죠?
약제에 들어있는 과산화수소라는
핵심 성분이 충분하게 흡수되어
착색 물질을 탈락시켰기 때문에
이렇게 좋은 결과를 만들 수 있는 것이랍니다.
이 시림이 심하다고 들었는데..
과산화수소는 강한 산화력을 띄고 있기에
잇몸이나 연조직에 닿으면 이 시림이나
통증이 생겨날 수 있습니다.
그래서 시술 전 레진(Dam)으로
충분히 격리시킨 후 미백을 진행하며,
끝난 후 일시적으로 이 시림이
심하게 느껴질 수 있으나
수일 이내 이 시림 증상이
자연스럽게 완화됩니다.
더불어 치아 미백 이후 커피나, 담배, 카레 등
다시 색소가 있는 물질과 맞닿아
다시 변색될 우려가 있습니다.
그렇기에 상태를 주기적으로 체크하며
꾸준히 리터치를 받아야 되죠.
오늘 당산동 치과 에서는 미백 치약이
왜 효능이 눈에 띄지 않는지,
전문가 과정을 통해 어떤 변화를
만들 수 있는지 공유드렸습니다.
관련하여 궁금증이 있던 분에게
도움이 되었길 바라며 글 마치겠습니다.
지금까지 보존과 전문의 김민영이었습니다.
감사합니다.