아카이브 요약
이 페이지의 역할
연세초록빛치과의원의 네이버 블로그 원문을 보존한 아카이브 페이지입니다. 치아 정보글 카테고리의 선유도역 치과 임플란트 성공을 방해하는 요소 ft. 하중부하, 픽스처 표면 처리 및 흡연 글을 통해 병원의 한국어 정보 제공 방식과 진료 관련 안내 톤을 확인할 수 있습니다.
원문 검증
필요하면 원문 블로그와 병원 프로필로 바로 이동해 문맥을 다시 확인할 수 있습니다.
출처 아카이브 열기아카이브된 블로그 글
연세초록빛치과의원 · Naver Blog
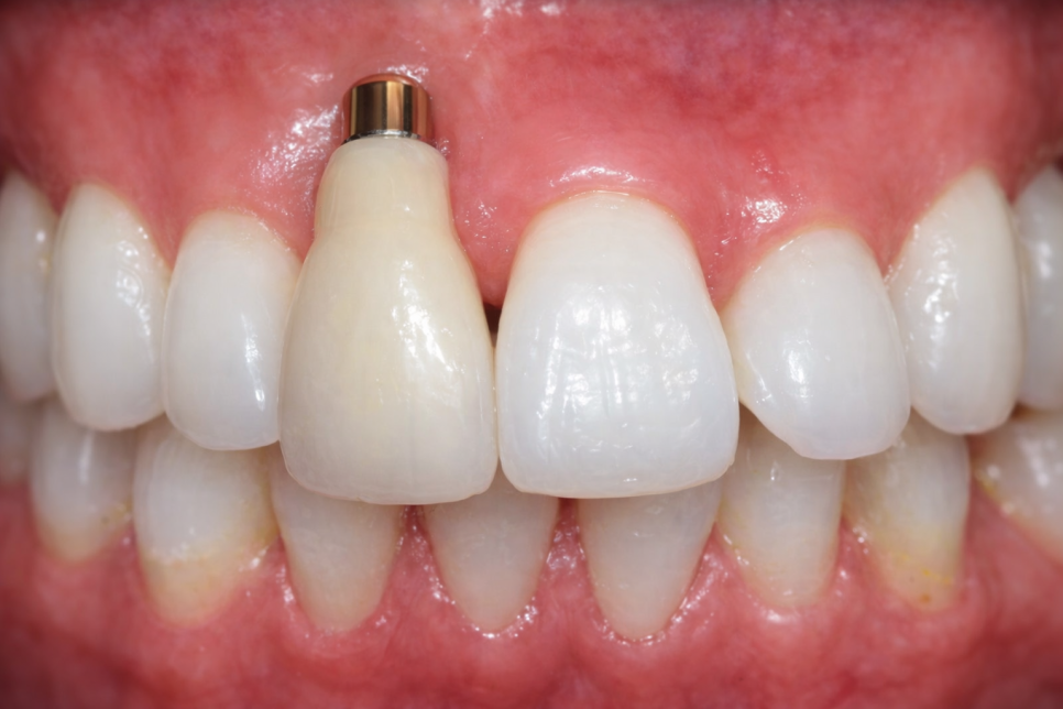
안녕하세요, 선유도역 치과 보존과전문의 김민영입니다. 자연치를 뽑은 후, 80%가량 기능을 재건할 수 있는 방안인 임플란트. 간혹 치료 후, 혹은 수술 이후 재식립이 필요한 케이스가 있습니다. 그 이유는 유착 실패나 주위염 등 매우 다양한 요인이 있는데요. 오늘 선유도역 치과 에서는 이와 관련된 이야기를 나눠보...
게시일
2026년 1월 7일
원문 기준으로 확인된 발행일입니다.
카테고리
치아 정보글
원문 블로그 카테고리를 정리해 함께 표시합니다.
이미지 수
5
현재 아카이브에 연결된 이미지 수입니다.
아카이브 요약
연세초록빛치과의원의 네이버 블로그 원문을 보존한 아카이브 페이지입니다. 치아 정보글 카테고리의 선유도역 치과 임플란트 성공을 방해하는 요소 ft. 하중부하, 픽스처 표면 처리 및 흡연 글을 통해 병원의 한국어 정보 제공 방식과 진료 관련 안내 톤을 확인할 수 있습니다.
원문 검증
필요하면 원문 블로그와 병원 프로필로 바로 이동해 문맥을 다시 확인할 수 있습니다.
출처 아카이브 열기안녕하세요, 선유도역 치과 보존과전문의 김민영입니다.
자연치를 뽑은 후, 80%가량 기능을
재건할 수 있는 방안인 임플란트.
간혹 치료 후, 혹은 수술 이후
재식립이 필요한 케이스가 있습니다.
그 이유는 유착 실패나 주위염 등
매우 다양한 요인이 있는데요.
오늘 선유도역 치과 에서는 이와 관련된
이야기를 나눠보려 합니다.
임플란트 성패를
가르는 요인은?
자연치는 잇몸뼈 속에 묻혀 있는
뿌리를 통해 지지를 얻어내죠.
이와 마찬가지로 임플란트도
뿌리를 대신해 픽스처라는 나사 심어
유지를 얻어냅니다.

이 과정에서 중요한 건 [골 유착]입니다.
브레네막 박사가 토끼 다리에
티타늄 재질의 깡통을 끼워
실험을 진행했는데,
이후 시간이 지난 뒤 깡통을 빼내려고 하니
빠지지 않았습니다.
이때 처음 골 유착이란 개념을 발견하여
정형외과나 구강 등 여러 영역에서
활발하게 사용 중이죠.
자연치를 대신하기 위해서는
안정적인 치유를 거쳐 골 유착을 확보해야 되는데,
간혹 이 과정이 원활하게 이뤄지지 않아
치료 과정이 길어지고 복잡해지는
케이스가 있습니다.
선유도역 치과 에서 성공을 방해하는
대표적인 세 가지 요소에 대해
설명해 드리겠습니다.
"수술 이후 바로 보철 올릴 수 있어요."라는 말 들어보셨죠?
이를 [즉시 하중 부하]라고 부릅니다.
식립 후 바로 심미나 기능 일부를 개선할 수 있어
환자의 불편을 줄일 수 있는 방안이긴 하나,

무리하게 즉시 크라운을 씌웠을 때
되려 악영향을 줄 수 있습니다.
선유도역 치과 에서 준비한 논문 일부에
기인하여 설명해 드리겠습니다.
시기에 따라 조기 실패(Early failure)와
지연 실패(Delayed failure)로 분류할 수 있는데,
식립 후 수주~수개월 이내 실패했다면,
조기 실패로 분류됩니다.
그 원인으로는 외상으로 인한 골괴사,
세균감염, 초기 안정성 부족,
임플란트 조기 부하가 있습니다.
기능 부하를 가한 후 골 유착 확립 및
안정적인 상태를 유지하지 못한 경우,
지연 실패로 분류되며
이는 감염 및 과도한 부하(overload)로
인하여 발생한다.
제가 찾은 논문을 통해 알 수 있듯
시기를 적절하게 조절하지 못하여
픽스처 치유 단계에서 과도한 하중이
가해지면 치유가 방해될 수 있습니다.
치조골과 유착이 잘 되도록
회사나 제품마다 나사의 표면
처리 방식이 조금씩 다릅니다.

실제 강릉원주대 연구팀이 4063명의 환자를 대상으로
진행한 연구를 선유도역 치과 에서 살펴보니,
표면 처리 유형에 따라 수술의 성패가
나뉜다는 결과가 있었습니다.
더불어 절삭 방식을 달리하여
거친 표면을 갖도록 형성한 나사가
유의하게 높은 생존율을 보였죠.
환자의 연령이나 성별, 전신질환 등
숙주 관련 요인(Host related factor)이
임플란트 성패에 중요한 영향을 미칩니다.

특히 흡연의 경우에는 치유 기간은 물론
치료 이후 유지 시기에도 중요한 인자죠.
흡연자의 경우, 임플란트 생존율이
76.7%밖에 안되는데,
비흡연자는 93%를 기록했습니다.
또한 담배를 태울 경우,
재수술 위험이 4.1배 더 높았죠.
오늘 선유도역 치과 에서 소개 드린 내용은
관여하는 요인의 일부인데요,
가볍게 여겼던 부분이 생각보다 관련 깊죠?
마지막으로 정리해 보겠습니다.

너무 이르게 픽스처 상부로 보철이 들어가면
과도한 힘이 전달되어 치유를 방해할 수 있습니다.
심미나 기능을 빠르게
회복하는 것도 중요하지만
수술 이후 무리하게 보철을 씌우면
되려 악영향을 줄 수 있죠.
나사의 표면을 어떻게 처리하느냐,
형태를 어떻게 부여하느냐에 따라
치유 단계 유착 속도나 정도에
영향을 줍니다.
환자의 연령이나 성별, 전신질환, 흡연 등
숙주 관련 요인(Host related factor)이
임플란트 성패에 중요한 영향을 미칩니다.
흡연 혹은 음주와 같은 자가 관리는
환자 스스로 조절이 가능한 부분이죠.
이 외 요소는 환자가 체크하기 어렵습니다.
그렇기에 전문의와 원활한 소통이 중요합니다.
현재 구내 상태가 어떤지,
어떤 방안이 유리한지 등
원활한 소통 하에 치료에 대한 전반적인
요소가 결정되어야 된답니다.
선유도역 치과 에서 준비한 소식은 여기까지랍니다.
유익한 정보가 되었길 바라며 글 마치겠습니다.
지금까지 김민영이었습니다. 감사합니다.