아카이브 요약
이 페이지의 역할
연세초록빛치과의원의 네이버 블로그 원문을 보존한 아카이브 페이지입니다. 치아 정보글 카테고리의 임플란트 관리가 더욱 중요한 이유! 생활 습관으로 달라질 수 있는 보철의 수명 : 당산 치과 글을 통해 병원의 한국어 정보 제공 방식과 진료 관련 안내 톤을 확인할 수 있습니다.
원문 검증
필요하면 원문 블로그와 병원 프로필로 바로 이동해 문맥을 다시 확인할 수 있습니다.
출처 아카이브 열기아카이브된 블로그 글
연세초록빛치과의원 · Naver Blog
안녕하세요, 당산 치과 보존과 전문의 김민영입니다. 자연치는 치주 인대를 통해 치아와 잇몸이 연결되어 있어, 저작력을 분산시키고 충격을 완화하는 역할을 하는 반면, 임플란트 는 인공 치아 뿌리가 뼈에 직접 결합되어 이로 인해 치주인대와 같은 완충 조직이 없어 강한 압력에 더 취약할 수 있습니다. 따라서...
게시일
2026년 2월 6일
원문 기준으로 확인된 발행일입니다.
카테고리
치아 정보글
원문 블로그 카테고리를 정리해 함께 표시합니다.
이미지 수
5
현재 아카이브에 연결된 이미지 수입니다.
아카이브 요약
연세초록빛치과의원의 네이버 블로그 원문을 보존한 아카이브 페이지입니다. 치아 정보글 카테고리의 임플란트 관리가 더욱 중요한 이유! 생활 습관으로 달라질 수 있는 보철의 수명 : 당산 치과 글을 통해 병원의 한국어 정보 제공 방식과 진료 관련 안내 톤을 확인할 수 있습니다.
원문 검증
필요하면 원문 블로그와 병원 프로필로 바로 이동해 문맥을 다시 확인할 수 있습니다.
출처 아카이브 열기안녕하세요, 당산 치과 보존과 전문의 김민영입니다.
자연치는 치주 인대를 통해
치아와 잇몸이 연결되어 있어,
저작력을 분산시키고
충격을 완화하는 역할을 하는 반면,
임플란트 는 인공 치아 뿌리가
뼈에 직접 결합되어
이로 인해 치주인대와 같은 완충 조직이 없어
강한 압력에 더 취약할 수 있습니다.
따라서 임플란트 를 건강하게 유지하기 위해서는
지속적인 관리가 필수입니다.
자연치와는 구조에서 차이를 보이며
자연치는 앞서 당산 치과 에서
말씀드린 것과 같이
치주인대라는 조직을 통해
잇몸과 결합되어 있습니다.
이로써 저작을 할 때 일어나는 압력을
효과적으로 흡수하고 분산시킬 수 있어
저작 활동을 무리 없이 수행할 수 있습니다.

반면 임플란트 는 치조골에 직접 결합되는 구조로
이 과정에서 치주인대가 존재하지 않기 때문에
완충 역할을 하지 못합니다.
이는 저작력을 치조골이 직접적으로
받게 된다는 것을 의미하며,
과도한 압력이 가해지면 픽스처가
손상될 수 있는 위험을 증가시킵니다.
또한 치아와 같이 유연한 움직임을 가질 수 없으며
이로써 자연치의 기능을 완벽하게
대체하기에는 어려운 면이 있습니다.
따라서 당산 치과 는 이와 같은 차이점을 알고
관리에 더욱 힘을 써야 됨을 말씀드립니다.

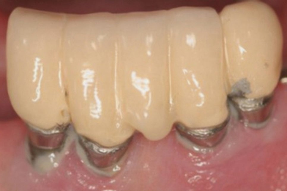
픽스처 주변 조직에 일어나는 염증으로
다음과 같은 원인에 의해 발생합니다.
<불량한 구강 위생>
주변에 쌓인 치태나 플라그는
염증을 일으키는 세균의 서식지가 됩니다.
이를 제대로 제거하지 않으면
세균이 주변 조직에 침투하여
염증을 일으킬 수 있습니다.
따라서 치간칫솔과 같은
구강 위생 용품을 사용해
청결하게 관리를 해주어야 됩니다.
<흡연>

이는 잇몸의 혈액 순환을 방해하고,
면역 체계를 약화시켜
염증 반응을 악화시킬 수 있습니다.
이처럼 흡연을 하는 사람들은 실패율이 높아지므로
당산 치과 는 금연하는 것을 권해 드립니다.
<과도한 압력>
과한 힘이 가해지면 주변 치조골이 손상될 수 있으며
이를 방지하기 위해서는 교합 조정이 필요하며
정기 검진을 통한 꾸준한 관리가 이루어져야 됩니다.
<치주질환>
기존에 치주염을 앓았던 환자에게
염증이 일어날 위험이 더 높습니다.
따라서 픽스처를 심기 전에는
치주질환 치료가 선행되어야 됩니다.
불규칙한 식습관
균형 잡힌 식사를 하지 않으면
구강 건강에 악영향을 미칠 수 있습니다.
특히 당분이 많은 음식을 자주 먹거나
영양소가 부족한 식단은
구강에도 영향을 미칠 수 있기 때문에

칼슘, 비타민D, 철분과 같은
영양소가 풍부한 음식을 섭취하는 것이 좋습니다.
이갈이
밤에 이를 갈거나 과한 저작력을
사용하는 습관은 큰 부담을 주게 되어
픽스처와 치조골이 손상될 수 있습니다.
더불어 심한 경우 픽스처가 찢어져
재수술이 필요한 경우도 있으므로
당산 치과 는 습관을 개선하는 것을 권해 드립니다.
임플란트 는 자연치와는
다른 특성을 가지고 있기 때문에
주의가 필요합니다.
올바른 관리와 건강한 생활 습관을 유지하면
오랜 기간 건강하게 사용할 수 있으나,
문제가 일어났을 때 빠르게 대처하는 것도
수명을 늘리는 데 중요한 역할을 합니다.
통증, 부기, 고름의 증상이 생겼을 때
이를 무시하고 방치를 하게 된다면
주변 치조골과 잇몸에도 영향을 미치기 때문에
즉시 내원하여 검사를 받고
필요한 치료를 받는 것을 권해 드립니다.
문제가 초기 단계에서 해결된다면
보철에는 크게 영향을 받지 않으며
건강한 상태로 다시 회복될 수 있습니다.

그러나 치료 시기를 놓치면
복잡한 치료가 필요하거나
심한 경우, 픽스처를 교체해야 될 수도 있습니다.
따라서 6개월마다 정기 검진을 받아
문제를 조기에 발견해 빠르게 대처를 해야 됩니다.
오늘 당산 임플란트 치과 에서 준비한
소식은 여기까지랍니다.
여러분에게 유익한 글이 되었길 바라며
다음에도 양질의 정보를
공유해 드릴 것을 약속드리며
지금까지 보존과 전문의 김민영이었습니다.
감사합니다.