아카이브 요약
이 페이지의 역할
연세초록빛치과의원의 네이버 블로그 원문을 보존한 아카이브 페이지입니다. 치아 정보글 카테고리의 수평 매복 사랑니 예방적 발치가 필요할 때는? 선유도역 치과 Ft. 인접치 우식 & 치조골 흡수 등 글을 통해 병원의 한국어 정보 제공 방식과 진료 관련 안내 톤을 확인할 수 있습니다.
원문 검증
필요하면 원문 블로그와 병원 프로필로 바로 이동해 문맥을 다시 확인할 수 있습니다.
출처 아카이브 열기아카이브된 블로그 글
연세초록빛치과의원 · Naver Blog
안녕하세요, 선유도역 치과 보존과 전문의 김민영입니다. 수평 매복 사랑니는 비정상적으로 맹출되어 인접한 제2대구치의 건강을 위협하는 주요 원인이 되곤 합니다. 대다수의 환자는 자각 증상이 나타난 후에야 내원하나, 통증이 발현된 시점에는 이미 인접치의 치관부 우식이나 원심측 치조골 흡수가 진행된 경우가 많습니다....
게시일
2026년 2월 12일
원문 기준으로 확인된 발행일입니다.
카테고리
치아 정보글
원문 블로그 카테고리를 정리해 함께 표시합니다.
이미지 수
5
현재 아카이브에 연결된 이미지 수입니다.
아카이브 요약
연세초록빛치과의원의 네이버 블로그 원문을 보존한 아카이브 페이지입니다. 치아 정보글 카테고리의 수평 매복 사랑니 예방적 발치가 필요할 때는? 선유도역 치과 Ft. 인접치 우식 & 치조골 흡수 등 글을 통해 병원의 한국어 정보 제공 방식과 진료 관련 안내 톤을 확인할 수 있습니다.
원문 검증
필요하면 원문 블로그와 병원 프로필로 바로 이동해 문맥을 다시 확인할 수 있습니다.
출처 아카이브 열기안녕하세요, 선유도역 치과 보존과 전문의 김민영입니다.
수평 매복 사랑니는 비정상적으로 맹출되어
인접한 제2대구치의 건강을 위협하는
주요 원인이 되곤 합니다.
대다수의 환자는 자각 증상이
나타난 후에야 내원하나,
통증이 발현된 시점에는
이미 인접치의 치관부 우식이나 원심측
치조골 흡수가 진행된 경우가 많습니다.

이는 앞쪽 어금니와의 사이에
청결 유지가 불가능한 틈새를 형성하며
만성 치주염과 치관주위염의 원인이 됩니다.
특히 치근 흡수와 비가역적인 골소실은
인접치의 수명 자체를 단축시키는
결과를 초래합니다.
따라서 구강 건강 관리 측면에서
예방적 발치가 필요할 수 있습니다.
이번 글에서는 이를 방치했을 때 발생하는
문제점들을 알아보도록 하겠습니다.
선유도역 치과 보존과 전문의 김민영
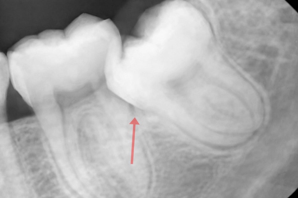
치배 형성 단계에서부터 비정상적인 각도로 발육해
구강 내로 수직으로 맹출하지 못하고
제2대구치의 원심면을 향해
수평으로 누워 있는 상태를 말합니다.

이는 제2대구치의 원심면 사이에 좁고 깊은
V자 형태의 틈새를 형성하며
이곳은 칫솔질이나 치실 사용만으로는
관리가 어렵기 때문에
음식 찌꺼기와 세균이 저류되면서
뮤탄스균의 완벽한 배양기 역할을 하며
바이오필름과 단단한 치석을 만들게 됩니다.
또한 사랑니 주변으로 치관주위염이 발생해
만성 염증을 일으켜 통증 및 출혈이 날 수 있으며
제2대구치의 뿌리나 치관을 지속적으로 압박해
주변 뼈의 밀도를 변화시키게 되어
골소실의 직접적인 원인이 됩니다.
선유도역 치과 보존과 전문의 김민영
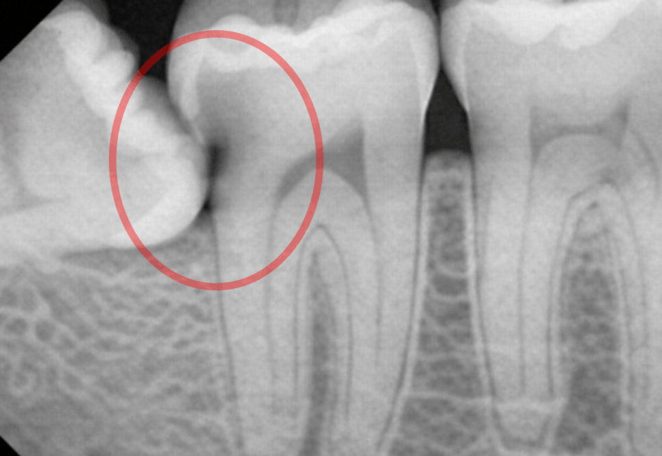
제일 빈번한 합병증은 인접치 우식으로
잇몸에 가려진 인접면에서 시작되어
이곳은 타액에 의한 자정작용이
되지 못할 뿐만 아니라
환자가 육안으로 확인하기 어렵고
근관에 근접할 정도로 우식이 깊어지기 전까지는
통증이 없는 경우도 많습니다.
따라서 환자가 시린 느낌이나 통증을 느껴
내원했을 때는 이미 치수의 감염이
진행된 경우가 대다수이며

치근과 맞닿아있는 경우에는
법랑질-시멘트 경계(CEJ) 부근이나
그 하방의 치근면에서 시작되며
이곳은 법랑질보다 무르고 두께가 얇아
산에 의한 부식에 취약해
상아질을 타고 순식간에 치수까지 도달하게 됩니다.
심한 경우 결국 제2대구치까지
발치해야 되는 최악의 상황으로 이어지기도 합니다.
선유도역 치과 보존과 전문의 김민영
치조골 혹은 앞쪽 어금니의 치근을
지속적으로 압박하면서 생긴 압력과 더불어
치관주위염으로 인해 활성화된 파골세포는
치조골을 녹여버려 엑스레이에서
뼈가 검게 투과되어 보이는
골소실 양상이 나타납니다.
이는 치아를 지탱하는 뼈의 높이가
낮아졌음을 의미합니다.
병리적 치주낭 형성
건강한 치아와 잇몸 사이에는 1~3mm 정도의
얕은 홈이 존재하나,
염증이 진행되면 5~6mm 혹은 그 이상의
깊은 병리적 치주낭이 형성됩니다.

이곳은 세균이 증식하기 좋은
혐기성 환경을 제공하며
더 큰 문제로 이어질 수 있습니다.
이러한 이유로 치주 조직이 건강하고
재생력이 좋은 20대 초반에 예방적으로
발치하는 것을 권해 드립니다.
선유도역 치과 보존과 전문의 김민영
앞에 있는 어금니의 뿌리 조직이
물리적 압박이나 생리적 염증 반응에 의해
치주인대(periodontal ligament)는
압박을 받게 되며 이 과정에서
국소적인 혈류 장애가 발생하고
우리 몸의 면역 체계는 이를 인식하여
파골세포를 활성화합니다.

활성화된 파골세포는 인접치의 치근을
갉아먹기 시작하며 이로 인해 뿌리가
바깥쪽부터 서서히 녹아 없어지는 것을
외흡수가 진행되었다 말합니다.
이는 자연치의 수명을 단축시키는
치명적인 결과를 초래하며
정밀 검사를 통해 이러한 징후가 포착된다면
더 큰 손실을 방지하기 위해
예방적 발치를 진행하는 것이 좋습니다.
오늘 살펴본 것처럼 수평 매복 사랑니는
당장 아프지 않다는 이유로 방치하기에는
그 기회비용이 너무나 큽니다.
우식, 치조골 소실, 뿌리 흡수 등
이 모든 문제는 한 번 발생하면
되돌리기 어려운 비가역적 손상을 남깁니다.
따라서 지금 당장 통증이 없더라도
정기 검진을 받아보시길 바랍니다.
지금까지 선유도역 치과
보존과 전문의 김민영이었습니다.