아카이브 요약
이 페이지의 역할
연세초록빛치과의원의 네이버 블로그 원문을 보존한 아카이브 페이지입니다. 치아 정보글 카테고리의 보철 밑에서 조용히 진행되는 2차 우식 - 레진 & 크라운 변연 미세누출 , 당산역 치과 글을 통해 병원의 한국어 정보 제공 방식과 진료 관련 안내 톤을 확인할 수 있습니다.
원문 검증
필요하면 원문 블로그와 병원 프로필로 바로 이동해 문맥을 다시 확인할 수 있습니다.
출처 아카이브 열기아카이브된 블로그 글
연세초록빛치과의원 · Naver Blog
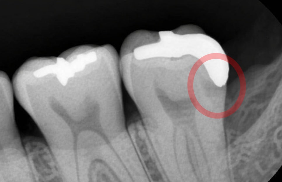
안녕하세요, 당산역 치과 보존과 전문의 김민영입니다. 진료를 하다 보면 치료를 마친 치아에서 다시 우식이 발견되는 경우가 있습니다. 왜 이런 일이 생길까요? 수복물에 사용된 재료가 시간이 흘러 수축되는 특징을 가지고 있다면 경계에 틈이 벌어질 수 있습니다. 이 틈을 통해 세균이나 침이 스며드는 것을 미세누출이라...
게시일
2026년 2월 20일
원문 기준으로 확인된 발행일입니다.
카테고리
치아 정보글
원문 블로그 카테고리를 정리해 함께 표시합니다.
이미지 수
6
현재 아카이브에 연결된 이미지 수입니다.
아카이브 요약
연세초록빛치과의원의 네이버 블로그 원문을 보존한 아카이브 페이지입니다. 치아 정보글 카테고리의 보철 밑에서 조용히 진행되는 2차 우식 - 레진 & 크라운 변연 미세누출 , 당산역 치과 글을 통해 병원의 한국어 정보 제공 방식과 진료 관련 안내 톤을 확인할 수 있습니다.
원문 검증
필요하면 원문 블로그와 병원 프로필로 바로 이동해 문맥을 다시 확인할 수 있습니다.
출처 아카이브 열기안녕하세요, 당산역 치과 보존과 전문의 김민영입니다.
진료를 하다 보면 치료를 마친 치아에서
다시 우식이 발견되는 경우가 있습니다.
왜 이런 일이 생길까요?
수복물에 사용된 재료가 시간이 흘러
수축되는 특징을 가지고 있다면
경계에 틈이 벌어질 수 있습니다.

이 틈을 통해 세균이나
침이 스며드는 것을 미세누출이라 하며
이와 같은 상황이 반복되면 그 하방으로
서서히 우식이 진행될 수 있습니다.
초기에는 통증도 거의 없고
겉으로 티도 나지 않기 때문에
발견이 늦어질 때가 많아
정기 검진을 얼마나 중요한지
보여주는 예시라 할 수 있습니다.
이번 글에서는 왜 이런 상황이 벌어지는지,
이를 방치하면 안 되는 이유는 무엇인지
같이 알아보도록 하겠습니다.
당산역 치과 보존과 전문의 김민영
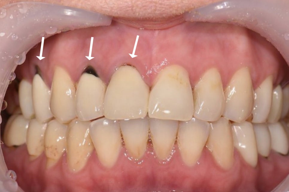
이미 치료를 받은 곳에서
다시 일어나는 충치를 말하며,
기존 수복물 주변이나 그 하방으로 진행됩니다.
시간이 흐르면서 보철과 자연치가 맞닿는
경계 부위에 틈이 벌어지면

이 틈을 통해 세균이나 음식 찌꺼기,
타액이 반복적으로 스며들 수 있고
그 결과 크라운 아래에서
우식이 다시 시작될 수 있습니다.
겉으로 잘 드러나지 않을 때가 있기 때문에
환자 스스로 인지하기 어렵다는 특징이 있으며
초기에는 통증 또한 거의 없기 때문에
정기 검진을 통해서만 발견할 수 있습니다.
특히 크라운을 씌운 곳은
보철을 제거하기 전까지
정확한 상태를 확인하기 어려우며
이미 근관이 충전되어 있다면
잇몸에 염증이 생기면서
알게 될 때가 많습니다.
당산역 치과 보존과 전문의 김민영
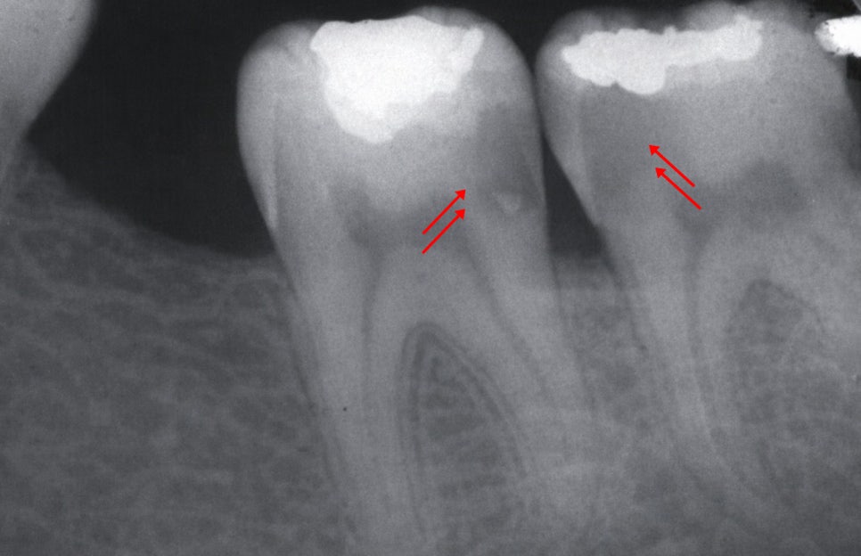
제일 대표적인 원인은 미세누출로
레진의 경우에는 재료 특성상
중합 수축이 발생해
레진이 굳는 과정에서 미세하게 수축하면서
변연 부위에 응력이 생기고
이로써 접착력이 약해질 수 있습니다.
또한 반복되는 저작력과 온도 변화도
수복물에 변화를 일으킬 수 있습니다.
크라운의 경우에는 잇몸이 내려가면서
경계 부위가 드러나게 되고
그 틈으로 세균이 침투하기 쉬운 환경이 됩니다.
또한 접착제가 오랜 기간에 걸쳐 서서히 약해진다면
변연 적합도가 떨어질 수 있습니다.

이 외에도 구강 위생 관리가 부족하거나,
교합력이 과도하게 집중될 때,
보철의 변연이 처음부터 완벽하게
밀착되지 못한 경우 등
여러 요인이 복합적으로 작용합니다.
따라서 치료 후에도 정기 검진과
유지 관리가 중요합니다.
당산역 치과 보존과 전문의 김민영
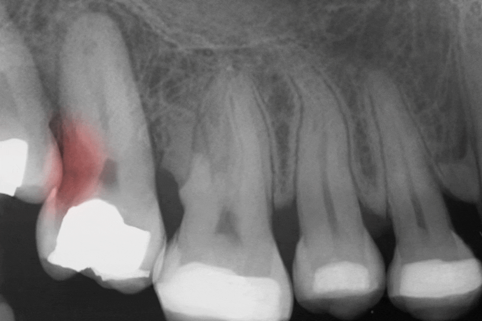
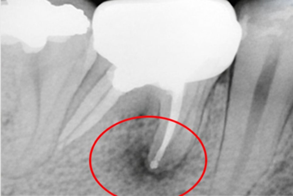
2차 우식은 크라운 아래에서 진행되기 때문에
초기에는 겉으로 드러나는 변화가 없을 수 있습니다.
또한 보철 아래에서 발생한 충치는
외부 공기와 접촉하지 않기 때문에
비교적 습하고 밀폐된 환경에서
빠르게 진행될 수 있습니다.

그 결과 치질이 약해지고
결국 치수까지 감염되거나
치근단 염증으로 이어질 수 있으며
재수복만으로는 해결이 어려워집니다.
경우에 따라서는 자연치를 보존하지 못하고
발치로도 이어질 수 있으며
이렇게 치료 범위가 커질수록
시간 • 경제적 부담도 같이 증가하게 됩니다.
따라서 조기에 발견하는 것이
그 무엇보다 중요합니다.
당산역 치과 보존과 전문의 김민영

1️⃣ 첫 번째는 정기 검진으로
초기에 통증이 거의 없기 때문에
스스로 알게 되어 병원을 찾는 경우는 드뭅니다.
6개월 혹은 의료진이 권장하는 주기에 맞춰
검진을 받아 초기에 문제를 확인하면
치료 범위를 최소화할 수 있습니다.
2️⃣ 두 번째는 철저한 구강 위생 관리로
칫솔질뿐만 아니라 치실이나
치간 칫솔을 사용해 꼼꼼하게 닦아야 되며
스케일링을 통해 치석을 주기적으로
제거하는 것을 권해 드립니다.
3️⃣ 세 번째는 내원을 미루지 않는 것으로
음식이 자주 끼거나 크라운이 변색되었다면
빠른 시일 내에 가까운 의료기관에 방문해
진료 시기를 놓치지 않는 것이 좋습니다.

결국 예방의 핵심은 치료 후 꾸준한 관리로
더 세심한 관심이 필요하다는 점을
기억하시길 바랍니다.
당산동 치과 보존과 전문의 김민영이었습니다.
감사합니다.