안녕하세요, 당산역 치과 보존과 전문의 김민영입니다.
치아를 상실하게 되면 저작 기능이
저하될 뿐만 아니라
주변 치아의 이동이나 교합의 변화가 일어날 수 있어
적절한 치료가 필요합니다.
이러한 상황에서 많은 분들이 고려하는
치료 방법 중 하나가 임플란트입니다.

임플란트는 보통 잇몸을 절개하여
치조골을 노출시킨 뒤 픽스처를 식립하는
방식으로 진행되지만,
환자의 부담을 줄이기 위한
여러 방법이 발전하고 있습니다.
그중 하나가 바로 무절개 임플란트로
말 그대로 잇몸을 절개하지 않고 픽스처를 심어
주변 연조직의 손상을
최소화할 수 있다는 특징을 가집니다.
이로 인해 수술 후 통증과 부종의 부담을 줄이고
비교적 빠른 회복을 기대해볼 수 있죠.

다만 모든 경우에 적용할 수 있는
방법은 아니기 때문에
치조골의 상태와 잇몸 조직,
임플란트 식립 위치 등을 종합적으로 분석한 뒤
수술 여부를 판단하는 것이 중요합니다.
오늘 당산역 치과 에서는 Flapless implant,
무절개 임플란트의 특징과
장점에 대해 알려드리겠습니다.
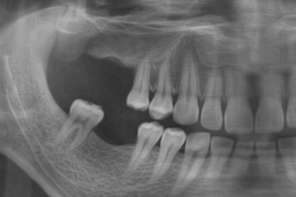
치아 상실 후 방치하면 안 되는 이유
치아가 빠진 자리를 오랜 기간 방치하게 되면
구강 전체의 균형에 영향을 미칠 수 있습니다.
우선 치아가 빠진 부위의
치조골은 점차 흡수되기 시작하며
치아가 존재할 때는 저작압이 전달되면서
뼈가 유지되지만 치아가 사라지면
해당 부위의 자극이 줄어들어
시간이 지날수록 뼈의 양과 높이 감소하게 됩니다.
이러한 변화를 이후 임플란트를 할 때
뼈이식이 필요해지는 원인이 되기도 합니다.

더불어 인접치에도 영향을 줄 수 있으며
비어있는 공간으로 인접치가 기울어지거나
맞물리던 대합치가 위아래로 정출되는
현상이 나타날 수 있으며
이는 교합의 균형을 무너뜨려
저작 기능의 불편함을 일으킬 수 있습니다.
이처럼 구강 구조 전반의 변화를 일으킬 수 있으므로
가능한 한 적절한 시기에
치료 계획을 세우는 것이 중요합니다.
당산역 치과 보존과 전문의 김민영
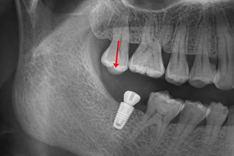
무절개 임플란트란?
잇몸을 넓게 절개해 치조골을 노출시키는
기존 방식과는 달리,
잇몸을 열지 않고 픽스처를 심는 방법입니다.
치은을 크게 박리하지 않기 때문에
연조직 손상을 줄일 수 있으며
수술 후 발생할 수 있는 통증이나
부종의 부담을 낮출 수 있다는 특징이 있습니다.

또한 봉합 과정이 필요하지 않아
회복 과정 역시 비교적 빠르게 진행되는 편입니다.
다만 모든 환자에게 적용 가능한 방법은 아니며
치조골의 양과 질, 잇몸 조직의 상태,
임플란트 식립 위치 등을 종합적으로 고려해
시행 여부를 판단해야 됩니다.
따라서 정확한 진단을 바탕으로
적합한 치료 방법을 선택하는 것이 중요하죠.
당산역 치과 보존과 전문의 김민영
가능한 조건은?
우선 치조골의 양과 밀도가 충분해야 되며
만약 뼈의 양이 부족하다면
대량의 골이식이 필요할 수 있으며
이러한 상황에서는 뼈를 직접 확인하고
처치하기 위해 잇몸 절개가
불가피한 경우가 많습니다.
임플란트 주변에 부착치은이 부족할 경우
장기적으로 위생 관리라 어려워지고
임플란트에도 영향을 줄 수 있으므로
부착치은이 충분한지 확인해야 됩니다.
따라서 flapless 방식은 치조골 상태가
비교적 건강하고 골이식 필요하지 않은 경우에
고려해볼 수 있습니다.
당산역 치과 보존과 전문의 김민영
장점
잇몸을 절개하고 박리하는 과정이 없기 때문에
주변 연조직의 손상이 줄어들며
이에 따라 수술 후 불편감이
상대적으로 적은 편입니다.
절개와 봉합을 하지 않기 때문에
일상생활로의 복귀가 비교적 빠르며
임플란트 주변 잇몸의 형태를
보다 자연스럽게 유지할 수 있습니다.
이처럼 환자의 통증 부담을 줄이면서
내원 횟수를 줄여 시간적 부담도 줄일 수 있습니다.
이렇게 장점이 많은 만큼
정확한 진단하에 이루어져야 되며
신중하게 시행되어야 됩니다.

이처럼 철저한 사전 진단과
계획을 통해 진행되면
부담을 줄이면서도 안정적인
결과를 기대해볼 수 있습니다.
지금까지 당산역 치과 보존과 전문의 김민영이었습니다.
긴 글 읽어주셔서 감사합니다.