아카이브 요약
이 페이지의 역할
연세초록빛치과의원의 네이버 블로그 원문을 보존한 아카이브 페이지입니다. 치아 정보글 카테고리의 당산동 치과 임산부 치아 치료 시기별 주의해야 될 점 및 보험 혜택 글을 통해 병원의 한국어 정보 제공 방식과 진료 관련 안내 톤을 확인할 수 있습니다.
원문 검증
필요하면 원문 블로그와 병원 프로필로 바로 이동해 문맥을 다시 확인할 수 있습니다.
출처 아카이브 열기아카이브된 블로그 글
연세초록빛치과의원 · Naver Blog
안녕하세요, 당산동 치과 보존과 전문의 김민영입니다. 임신을 하게 되면 몸의 여러 변화와 함께 구강 건강에도 다양한 변화가 나타날 수 있습니다. 평소에는 괜찮던 잇몸이 갑자기 붓거나 칫솔질을 할 때 피가 나기도 하고 충치나 치통이 생기기도 하는데요, 많은 분들이 임신 중에는 치아 치료를 하면 안 된다는 생각으로...
게시일
2026년 3월 11일
원문 기준으로 확인된 발행일입니다.
카테고리
치아 정보글
원문 블로그 카테고리를 정리해 함께 표시합니다.
이미지 수
6
현재 아카이브에 연결된 이미지 수입니다.
아카이브 요약
연세초록빛치과의원의 네이버 블로그 원문을 보존한 아카이브 페이지입니다. 치아 정보글 카테고리의 당산동 치과 임산부 치아 치료 시기별 주의해야 될 점 및 보험 혜택 글을 통해 병원의 한국어 정보 제공 방식과 진료 관련 안내 톤을 확인할 수 있습니다.
원문 검증
필요하면 원문 블로그와 병원 프로필로 바로 이동해 문맥을 다시 확인할 수 있습니다.
출처 아카이브 열기안녕하세요, 당산동 치과 보존과 전문의 김민영입니다.
임신을 하게 되면 몸의 여러 변화와 함께
구강 건강에도 다양한 변화가 나타날 수 있습니다.
평소에는 괜찮던 잇몸이 갑자기 붓거나
칫솔질을 할 때 피가 나기도 하고
충치나 치통이 생기기도 하는데요,
많은 분들이 임신 중에는
치아 치료를 하면 안 된다는 생각으로
치료를 미루는 경우가 있습니다.

그러나 적절한 시기와 방법을 알고 있다면
치료는 안전하게 진행할 수 있습니다.
충치나 잇몸 염증을 방치할 경우
오히려 산모의 통증과 스트레스가 증가하며
염증이 악화될 수 있기 때문에
적절한 관리가 더욱 중요합니다.
오늘 당산동 치과 에서는 이와 관련된
내용에 대해 설명해 드리겠습니다.
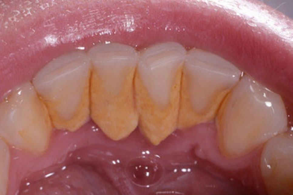
임신 중 구강 건강이 악화되는 이유
아이를 가지게 되면 신체 전반에
다양한 변화가 나타나며,
이러한 변화는 구강 건강에도
영향을 미칠 수 있습니다.
특히 호르몬 변화, 식습관 변화,
구강 관리의 어려움 등이
복합적으로 작용하면서 잇몸 질환이나
충치의 위험이 증가하게 됩니다.
먼저 임신 중에는 에스트로겐과
프로게스테론 호르몬이 크게 증가하게 되며

이러한 호르몬 변화는
잇몸 조직의 혈관을 확장시키고
염증 반응을 쉽게 유발하는 특징이 있으며
그 결과 소량의 치태나 세균에도
잇몸이 쉽게 붓고 출혈이 발생할 수 있습니다.
또한 구강 내 세균에 대한
방어 능력이 일시적으로 약해질 수 있어
세균에 대한 염증 반응이 더 강하게 나타나며
치주 질환이 빠르게 진행되는 경우가 많습니다.
여기에 더해 반복적인 구토는 위산이
치아 표면에 닿게 하여 법랑질을 약하게 만들고
치아 부식을 촉진할 수 있습니다.
특히 이때 바로 칫솔질을 하게 되면
연화된 법랑질이 마모될 수 있어
주의가 필요합니다.

입덧으로 인해 치약 냄새에 민감해지거나
칫솔질 자체가 힘들어지면서
구강 관리가 소홀해지는 경우도 있습니다.
이러한 구강 위생 관리가 어려워지면
세균이 쉽게 증식하게 되고
충치나 잇몸 질환의 위험 역시 높아지게 됩니다.
이처럼 임신 중에는 평소보다 구강 건강이
악화되기 쉬운 환경이 만들어지기 때문에
더욱 세심한 구강 관리와 정기 검진이 필요합니다.
당산동 치과 보존과 전문의 김민영
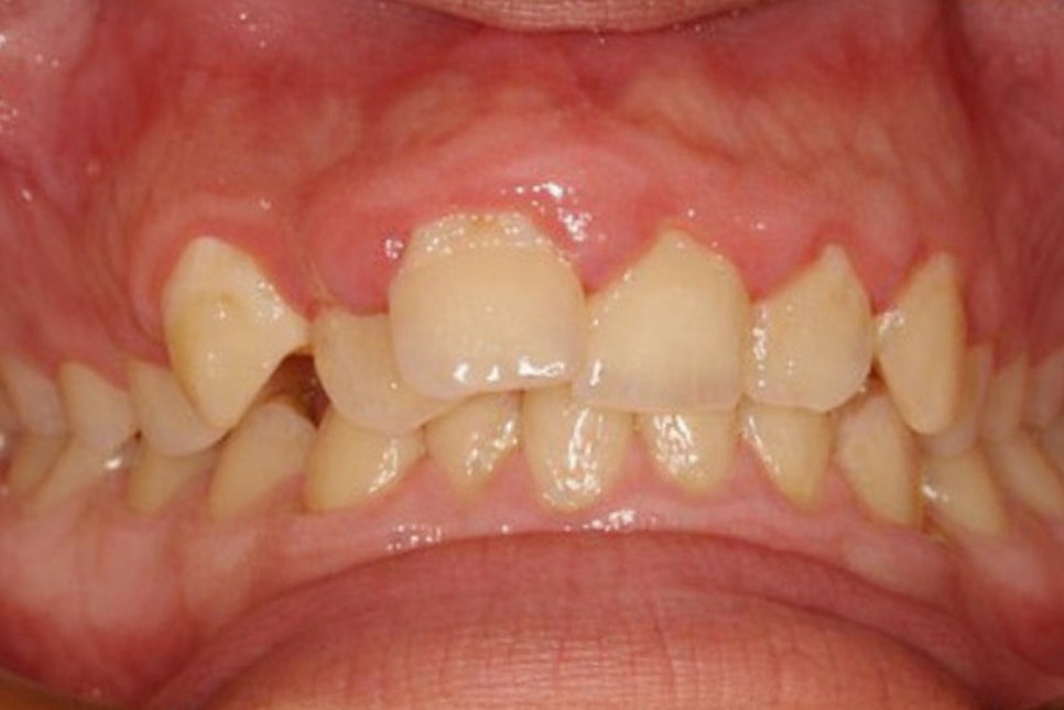
임신성 치은염이란?
산모들에게 나타나는 대표적인 구강 질환 중 하나가
바로 임신성 치은염입니다.
이는 임신으로 인해 변화된 호르몬 환경이
치주 조직에 영향을 주면서 발생하는
염증성 질환을 의미합니다.
특히 임신 2개월에서 8개월 사이에
증상이 더욱 뚜렷하게 나타나는 경우가 많으며

대표적인 증상으로는 잇몸이 붉게 부어 오르거나
출혈이 쉽게 발생하는 것,
구취가 심해지는 것 등이 있습니다.
다행히 출산 이후 호르몬 수치가
정상으로 돌아오면서
자연스럽게 호전되는 경우가 많으나,
임신 기간 동안 구강 위생 관리가
제대로 이루어지지 않는다면
치주염으로 진행될 가능성도 있어
주의가 필요합니다.
시기별 주의사항
임신 중 치료는 무조건 피해야 되는 것이 아닌
시기에 따라 가능한 진료가 달라집니다.
따라서 산모와 태아 모두의 안전을 위해
주수에 맞는 치료 계획을 세우는 것이 중요합니다.
초기(1~3개월)
태아의 주요 장기가 형성되는 중요한 시기로
외부 자극에 대한 영향을
최소화하는 것이 중요하기 때문에
응급 상황이 아니라면 대부분의 치료를
연기하는 것이 좋습니다.
특히 장시간의 치료나 복잡한 시술은
산모에게 부담이 될 수 있어
신중하게 판단해야 되며
심한 통증이나 급성 감염, 농양 등과 같은
응급 상황이 발생한 경우에만
안전한 범위 내에서 치료를 시행할 수 있습니다.
당산동 치과 보존과 전문의 김민영
중기(4~6개월)
이때는 비교적 치료를
안전하게 진행할 수 있는 시기로,
태아의 주요 장기 형성이 대부분 완료되었고
산모의 신체 상태도 비교적 안정된 경우가 많습니다.
따라서 충치치료, 스케일링, 잇몸 치료 등
짧은 시간 내에 진행되는 시술은
무리 없이 시행할 수 있습니다.

필요한 경우 엑스레이 촬영도
납 앞치마를 착용한 후
안전하게 진행할 수 있으며
국소마취 역시 태아에게
영향을 주지 않는 것으로 알려져 있으나,
과거 약물에 대한 알레르기 반응이 있었다면
의료진에게 미리 알려주는 것이 중요합니다.
후기(7~9개월)
자궁의 크기가 커지면서 대정맥을 압박해
저혈압이나 어지러움이 발생할 수 있어
오랫동안 누워있는 것이 불편할 수 있습니다.
따라서 이때는 복잡하거나 장시간의 치료는
출산 이후로 미루는 것을 권해 드립니다.
다만 통증이나 염증이 심한 경우에는
산모의 상태를 고려해 필요한
최소한의 치료를 진행할 수 있습니다.
당산동 치과 보존과 전문의 김민영
보험 적용 혜택
우리나라에서는 임산부의 구강 건강 관리를 위해
일부 치료에 건강보험 혜택이 적용됩니다.

대표적으로 신경치료, 치주 치료,
스케일링 등이 있으며
의원급 기준으로 약 10% 수준의
본인 부담률이 적용되어
비교적 저렴하게 치료를 받을 수 있습니다.
다만 이러한 혜택을 받기 위해서는
내원 시 산모수첩 또는 임신 확인서 등을
지참해야 되며 이렇게 확인이 되어야
보험 적용이 가능합니다.
비용이 달라질 수 있으므로
먼저 상담을 받아보시길 바랍니다.
임신 중 치료가 필요하다면 무조건 미루기보다
상담을 통해 현재 주수에 맞는
치료 가능 여부와 보험 적용 범위를
미리 확인하는 것이 도움이 됩니다.
많은 임산부들이 엑스레이나 마취 때문에
치료를 받으면 안 된다 생각해
통증과 염증이 있어도
참고 지나가는 경우가 있습니다.
그러나 충치나 치주 질환을 방치하게 되면
오히려 산모와 태아에게 좋지 않은
영향을 줄 수 있으므로
무조건 진료를 미루기보다는 전문가와 상담을 통해
현재 상태에 맞는 방법을 찾아보시길 바랍니다.
당산동 치과 에서 알려드린 내용처럼
올바른 구강 관리를 통해
건강한 치아를 유지하시길 바랍니다.
보존과 전문의 김민영이었습니다.
긴 글 읽어주셔서 감사합니다.