아카이브 요약
이 페이지의 역할
연세초록빛치과의원의 네이버 블로그 원문을 보존한 아카이브 페이지입니다. 치아 정보글 카테고리의 영등포구청역 치과 치아 상실 시 발생할 수 있는 구강 내 문제점은 무엇이 있을까? 글을 통해 병원의 한국어 정보 제공 방식과 진료 관련 안내 톤을 확인할 수 있습니다.
원문 검증
필요하면 원문 블로그와 병원 프로필로 바로 이동해 문맥을 다시 확인할 수 있습니다.
출처 아카이브 열기아카이브된 블로그 글
연세초록빛치과의원 · 소중한 자연치아를 지키는, 연세초록빛치과
안녕하세요, 영등포구청역 치과 보존과 전문의 김민영입니다. 치아는 음식을 저작하는 기능뿐만 아니라 발음, 얼굴 형태, 구강 건강을 유지하는 데 중요한 역할을 합니다. 그러나 우식, 치주질환, 외상 등 여러 원인으로 인해 치아가 상실되는 경우가 생각보다 흔하게 일어납니다. 일부 환자분들은 치아 하나 정도는 없어도 큰...
게시일
2026년 3월 12일
원문 기준으로 확인된 발행일입니다.
카테고리
치아 정보글
원문 블로그 카테고리를 정리해 함께 표시합니다.
이미지 수
5
현재 아카이브에 연결된 이미지 수입니다.
아카이브 요약
연세초록빛치과의원의 네이버 블로그 원문을 보존한 아카이브 페이지입니다. 치아 정보글 카테고리의 영등포구청역 치과 치아 상실 시 발생할 수 있는 구강 내 문제점은 무엇이 있을까? 글을 통해 병원의 한국어 정보 제공 방식과 진료 관련 안내 톤을 확인할 수 있습니다.
원문 검증
필요하면 원문 블로그와 병원 프로필로 바로 이동해 문맥을 다시 확인할 수 있습니다.
출처 아카이브 열기안녕하세요, 영등포구청역 치과 보존과 전문의 김민영입니다.
치아는 음식을 저작하는 기능뿐만 아니라
발음, 얼굴 형태, 구강 건강을 유지하는 데
중요한 역할을 합니다.
그러나 우식, 치주질환, 외상 등
여러 원인으로 인해 치아가 상실되는 경우가
생각보다 흔하게 일어납니다.

일부 환자분들은 치아 하나 정도는
없어도 큰 문제가 없다 생각해
치료를 미루기도 하는데요.
이를 오랜 기간 방치하게 되면
주변 인접치의 이동, 교합 변화,
치조골 흡수 등 여러 문제가 일어날 수 있습니다.
이는 시간이 경과됨에 따라
치료의 난도를 높이고 추가 처치가
필요해질 가능성도 높입니다.
따라서 치아 상실의 원인을 정확히 이해하고
이후 나타날 수 있는 문제와
치료 방법을 미리 알아두는 것이 좋습니다.
영등포구청역 치과 보존과 전문의 김민영
대표적으로는 치주질환, 심한 충치,
외상 등이 주요 원인으로 꼽힙니다.
🔻 먼저 치주질환은 잇몸과 치아 주변 조직에
염증이 발생하면서 점차 치조골이 흡수되고
치아를 지지하고 있던 구조가 약해지면서
이가 흔들리거나 결국 발치가 필요한
상태에 이를 수 있습니다.
이는 특히 초기에 증상이 뚜렷하지 않아
방치되는 경우가 많기 때문에
정기 검진이 더욱 중요해집니다.

🔻 심하게 진행된 충치 역시 주요 원인으로
법랑질과 상아질을 지나 내부까지 깊게 진행되면
파절로도 이어질 수 있습니다.
이러한 경우 신경치료나 보철 수복이 어렵다면
발치를 고려해야 될 수도 있으며
🔻 운동 사고나 넘어짐, 강한 충격 등에 의해
이가 부러지거나 탈락했을 때도
자연치를 보존하기 어려울 수 있어
발치가 필요할 수 있습니다.
이처럼 여러 구강 질환과 외부 요인이
복합적으로 작용하여 나타나는 경우가 많습니다.
따라서 평소 올바른 구강 위생 관리와
정기 검진을 통해 문제를 조기에 발견하고
관리하는 것이 무엇보다 중요합니다.
영등포구청역 치과 보존과 전문의 김민영
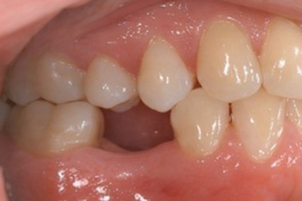
<인접치 이동 및 치열 변화>
치아는 서로 맞물리면서
균형을 이루고 있기 때문에
한 치아가 빠지면 주변 인접치들이
빈 공간으로 서서히 기울어지거나 이동하게 됩니다.
이러한 변화는 치열의 균형을 무너뜨리고
음식물이 더 쉽게 끼게 만들어
우식이나 치주질환의 위험을 높일 수 있습니다.
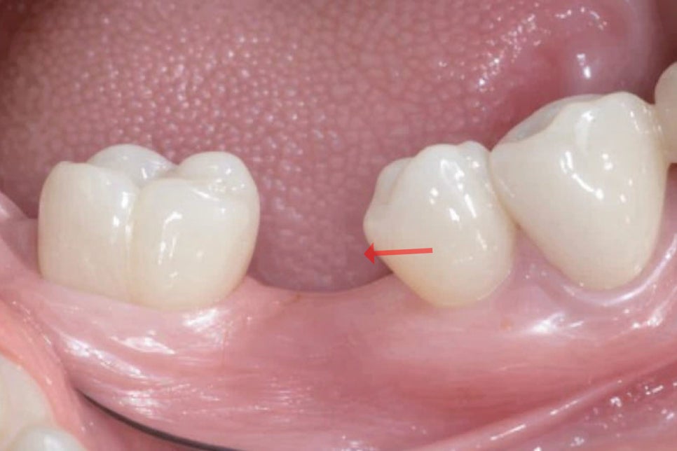
<반대편 대합치 정출>

위아래로 맞물리던 치아 중 하나가 사라지면
반대편 대합치는 더 이상 저작 시
접촉할 대상이 없어지면서 점차 내려오거나
올라오는 현상이 발생합니다.
이를 정출이라 하며 교합 관계가 흐트러져
저작 기능에 불편감을 일으킬 수 있습니다.
<저작 기능 저하>
치아의 개수가 부족하면 음식을
충분히 저작하기 어려워지고
특정 부위에 힘이 집중되면서
남아있는 곳에 과도한 부담이 가해질 수 있습니다.
이로 인해 다른 곳에 마모나
파절이 일어날 위험이 높아질 수도 있습니다.
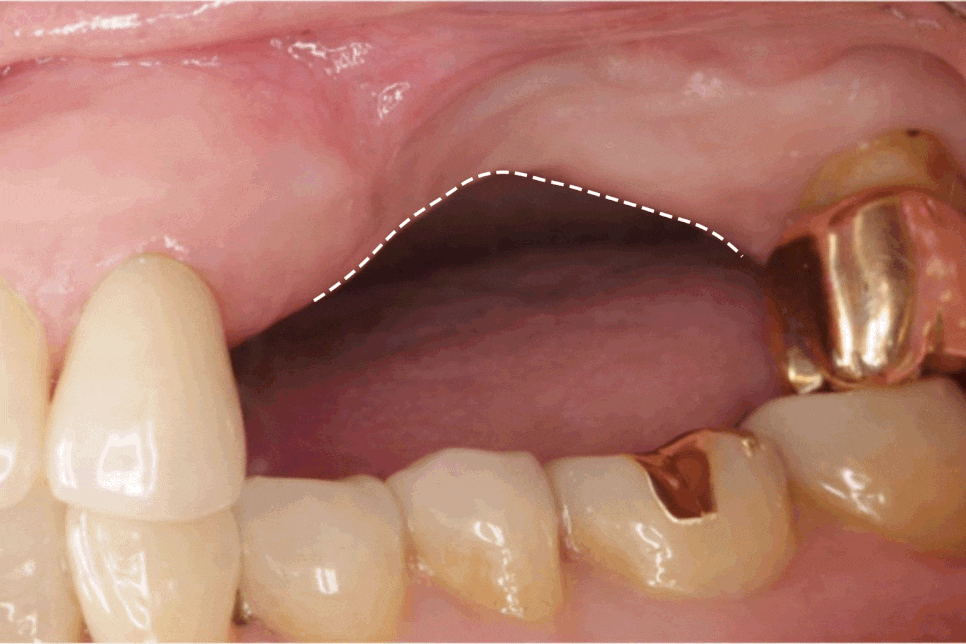
<치조골 흡수>

치아가 존재해야 치조골에
지속적이 자극이 전달되는데
치아가 상실되면 이러한 자극이 사라지면서
해당 부위의 치조골이 점차 줄어듭니다.
시간이 흐를수록 치조골의 양이 감소하면
이후 임플란트를 진행할 때
뼈이식과 같은 추가 처치가 필요할 수 있습니다.
영등포구청역 치과 보존과 전문의 김민영
<브릿지>
상실된 치아 양옆의 인접치를 지대치로 활용해
연결된 보철을 장착하는 방법으로,
비교적 짧은 기간 내에 치료가 가능하며
고정식 보철로 안정적인 사용이 가능하나,
지대치를 일정 부분 삭제해야 됩니다.
<틀니>
여러 개의 치아가 상실되었거나
잇몸뼈 상태에 따라 임플란트가 어려운 경우
틀니를 고려해볼 수 있으며
탈착이 가능한 보철 장치로
넓은 범위의 결손을 보완할 수 있습니다.
<임플란트>
치아가 빠진 부위의 치조골에
픽스처(인공 치근)을 식립한 후
그 위에 보철을 연결하는 방법으로,
자연치와 유사한 기능을 회복할 수 있으며
인접치를 삭제하지 않고
치료할 수 있다는 장점을 가집니다.
또한 저작 기능 회복과 함께
치조골 흡수를 줄이는 데에도 도움을 줍니다.
영등포구청역 치과 보존과 전문의 김민영
이처럼 치아 상실 후에는 환자의 구강 상태,
치조골의 양, 전신 건강 상태 등을
종합적으로 고려하여 적합한 치료 방법을
선택하는 것이 무엇보다 중요합니다.
자연치는 한 번 상실되면 자연적으로 회복되지 않아
예방과 조기 치료가 중요하며

치아가 빠진 상태를 오래 방치하게 되면
주변 인접치의 이동, 교합의 변화,
치조골 흡수 등 여러 구강 내 문제가 일어날 수 있고
치료 난이도 역시 높아질 수 있습니다.
따라서 상태를 정확히 파악하고
본인에게 맞는 치료 방법을
의료진과 함께 찾아보시길 바랍니다.
지금까지 영등포구청역 치과 보존과 전문의 김민영이었습니다.
긴 글 읽어주셔서 감사합니다.