아카이브 요약
이 페이지의 역할
연세초록빛치과의원의 네이버 블로그 원문을 보존한 아카이브 페이지입니다. 치아 정보글 카테고리의 선유도역 치과 벌어진 앞니 다이아스테마 diastema 치료 방법 라미네이트 vs 레진 글을 통해 병원의 한국어 정보 제공 방식과 진료 관련 안내 톤을 확인할 수 있습니다.
원문 검증
필요하면 원문 블로그와 병원 프로필로 바로 이동해 문맥을 다시 확인할 수 있습니다.
출처 아카이브 열기아카이브된 블로그 글
연세초록빛치과의원 · Naver Blog
안녕하세요, 선유도역 치과 보존과 전문의 김민영입니다. 치아 사이가 벌어지는 다이아스테마는 치아 크기와 악궁 크기 차이, 치주 상태, 소대 부착 위치, 교합 관계 등 여러 요인이 복합적으로 작용해 일어납니다. 이는 특히 상악 중절치 사이에서 흔하게 나타나며 환자의 심미적 요구도에 따라 치료 방법이 달라지게 됩니다....
게시일
2026년 3월 18일
원문 기준으로 확인된 발행일입니다.
카테고리
치아 정보글
원문 블로그 카테고리를 정리해 함께 표시합니다.
이미지 수
6
현재 아카이브에 연결된 이미지 수입니다.
아카이브 요약
연세초록빛치과의원의 네이버 블로그 원문을 보존한 아카이브 페이지입니다. 치아 정보글 카테고리의 선유도역 치과 벌어진 앞니 다이아스테마 diastema 치료 방법 라미네이트 vs 레진 글을 통해 병원의 한국어 정보 제공 방식과 진료 관련 안내 톤을 확인할 수 있습니다.
원문 검증
필요하면 원문 블로그와 병원 프로필로 바로 이동해 문맥을 다시 확인할 수 있습니다.
출처 아카이브 열기안녕하세요, 선유도역 치과 보존과 전문의 김민영입니다.
치아 사이가 벌어지는 다이아스테마는
치아 크기와 악궁 크기 차이, 치주 상태,
소대 부착 위치, 교합 관계 등
여러 요인이 복합적으로 작용해 일어납니다.
이는 특히 상악 중절치 사이에서 흔하게 나타나며
환자의 심미적 요구도에 따라
치료 방법이 달라지게 됩니다.
대표적으로 직접 수복 방식인 레진과
보철 수복 방식인 라미네이트가 고려됩니다.
다만 적용 가능한 적응증과 장기적인 안정성,
심미적 완성도 측면에서 차이를 보이기 때문에
정확한 진단을 바탕으로 결정하는 것이 중요합니다.
이번 글에서는 벌어진 앞니 치료에 있어
레진과 라미네이트의 차이점과
각각의 적응증에 대해 설명드리겠습니다.
선유도역 치과 보존과 전문의 김민영
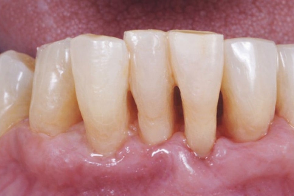
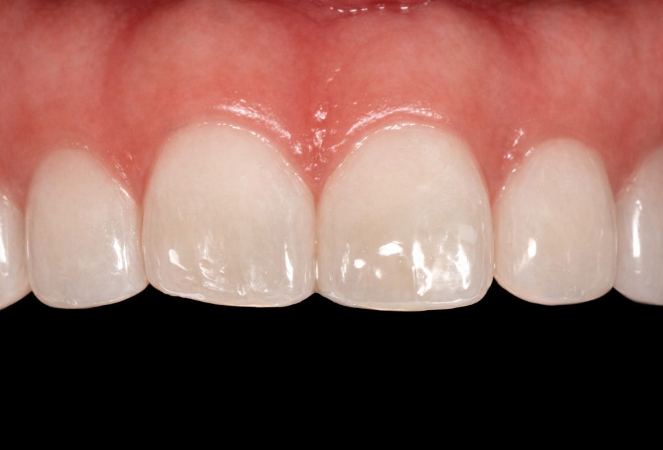
앞니 벌어짐(diastema) 원인
제일 대표적인 원인 중 하나는
치아 크기와 악궁 크기 사이의 불균형으로,

치아의 크기에 비해 악궁이 넓거나
선천적으로 치아가 작게 형성된 경우
공간이 남게 되면서 치아 사이가 벌어지게 됩니다.
또한 상악 중철치 사이에서 나타난 경우에는
상순소대가 낮게 위치해 있거나 두꺼워
치아 사이를 물리적으로
벌리는 힘이 작용할 수 있습니다.

치주질환 역시 간과할 수 없는 원인으로
치조골의 흡수가 진행되면 치아를 지지하는
구조가 약해지면서 잇몸이 퇴축됨으로써
치간이 벌어지는 양상을 보일 수 있습니다.
이외에도 혀로 치아를 밀어내는 습관이나
비정상적인 교합 관계 등 기능적인 요인 역시
장기적으로 다이아스테마를 유발하게 됩니다.
이처럼 여러 요소가 복합적으로
작용하는 경우가 많기 때문에
원인에 대한 정확한 진단이 선행되어야 됩니다.
선유도역 치과 보존과 전문의 김민영
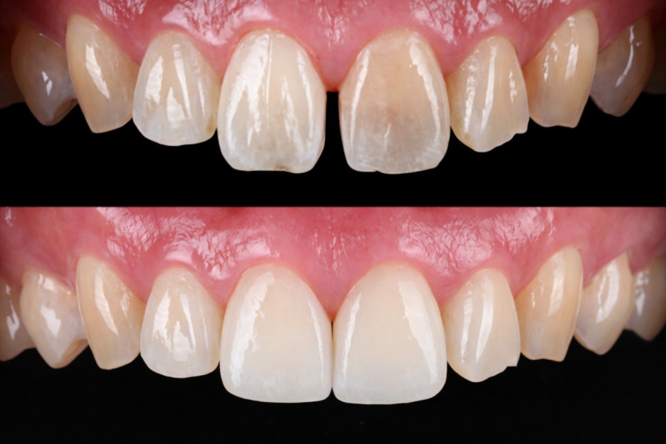
레진 수복, 어떤 경우에 적합할까?

레진 수복은 다이아스테마 치료에 있어
가장 보존적인 방법 중 하나로,
치질 삭제를 최소화할 수 있습니다.
주로 적용되는 경우는 앞니 사이의 공간이
경미할 때이며 치아의 형태나 배열에
큰 문제가 없는 경우라면 레진을 이용해
자연스럽게 공간을 메우는 것이 가능합니다.
또한 치료 당일에 바로 결과를 볼 수 있어
내원 횟수가 적고, 비교적 간단하게
심미적인 개선을 기대할 수 있습니다.

치질 삭제 없이 자연치를 최대한 보존하면서
필요한 부위에만 선택적으로 수복할 수 있어
간단한 심미 개선을 원하는 경우에
우선적으로 고려되는 방법입니다.
다만 레진은 특성상 시간이 흐르면서
착색이나 마모가 발생할 수 있으며
큰 힘이 가해지는 경우 파절이나
탈락의 가능성도 존재합니다.
또한 다이아스테마의 공간이 큰 경우에는
한계가 있어 보철 수복이 필요할 수 있습니다.
선유도역 치과 보존과 전문의 김민영
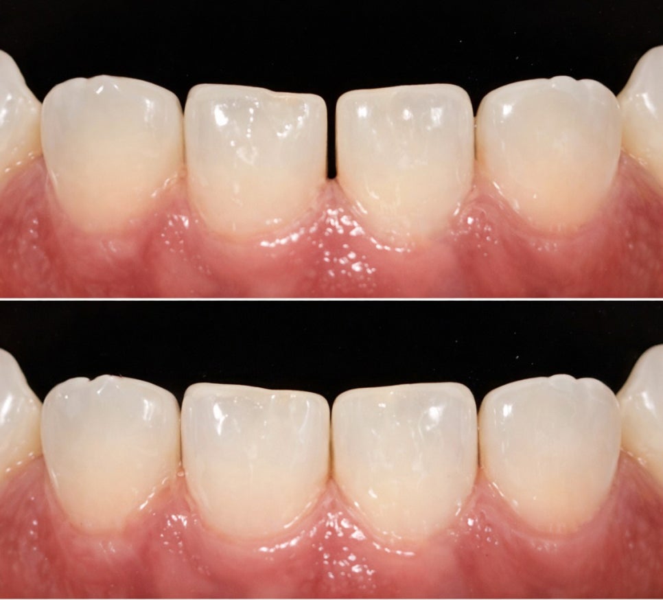
라미네이트, 어떤 경우에 적합할까?
라미네이트는 치아의 전면을 얇게 다듬은 후
세라믹 보철물을 부착하는 방식으로,
심미적 완성도를 높이기 위한
대표적인 방법입니다.
특히 치아의 크기가 작거나(왜소치)
좌우 치아의 크기 불균형이 있는 경우에도
라미네이트를 통해 조화로운
결과를 얻을 수 있습니다.

세라믹 재료의 특성상 자연치와
유사한 심미성을 유지할 수 있으며
착색에 대한 저항성도 높다는 장점이 있습니다.
다만 레진에 비해 비용적인 부담이
높다는 점은 사전에 충분히 고려해야 됩니다.
선유도역 치과 보존과 전문의 김민영
레진 vs 라미네이트, 선택 기준은?

벌어진 정도가 크지 않은 경우에는
레진으로도 충분히 개선할 수 있으나,
공간이 큰 경우에는 비율이 부자연스러워질 수 있어
보철 수복이 더 적합할 수 있습니다.
또한 변색이 있고 보다 밝고
균일한 색상 개선을 원하는 경우에는
라미네이트가 유리합니다.
벌어진 앞니는 원인과 상태에 따라
적합한 치료 방법을 달라질 수 있기 때문에
정확한 진단을 바탕으로
계획을 세우는 것이 중요합니다.
지금까지 선유도역 치과 보존과 전문의 김민영이었습니다. 감사합니다.