아카이브 요약
이 페이지의 역할
연세초록빛치과의원의 네이버 블로그 원문을 보존한 아카이브 페이지입니다. 치아 정보글 카테고리의 당산 치과 치은연하치석이란? 주기적으로 스케일링 받아야 되는 이유! 글을 통해 병원의 한국어 정보 제공 방식과 진료 관련 안내 톤을 확인할 수 있습니다.
원문 검증
필요하면 원문 블로그와 병원 프로필로 바로 이동해 문맥을 다시 확인할 수 있습니다.
출처 아카이브 열기아카이브된 블로그 글
연세초록빛치과의원 · Naver Blog
안녕하세요, 당산 치과 보존과 전문의 김민영입니다. 매일 꼼꼼하게 칫솔질을 하는데도 피가 나거나 구취가 좀처럼 사라지지 않는 경험, 있으신가요? 이런 증상이 반복된다면 칫솔이 닿지 않는 깊숙한 곳에 치은연하치석이 쌓여 있을 가능성이 높습니다. 이를 방치할 경우 치주질환을 넘어 치아 자체를 위협하는 심각한 문제로...
게시일
2026년 3월 23일
원문 기준으로 확인된 발행일입니다.
카테고리
치아 정보글
원문 블로그 카테고리를 정리해 함께 표시합니다.
이미지 수
5
현재 아카이브에 연결된 이미지 수입니다.
아카이브 요약
연세초록빛치과의원의 네이버 블로그 원문을 보존한 아카이브 페이지입니다. 치아 정보글 카테고리의 당산 치과 치은연하치석이란? 주기적으로 스케일링 받아야 되는 이유! 글을 통해 병원의 한국어 정보 제공 방식과 진료 관련 안내 톤을 확인할 수 있습니다.
원문 검증
필요하면 원문 블로그와 병원 프로필로 바로 이동해 문맥을 다시 확인할 수 있습니다.
출처 아카이브 열기안녕하세요, 당산 치과 보존과 전문의 김민영입니다.
매일 꼼꼼하게 칫솔질을 하는데도
피가 나거나 구취가 좀처럼
사라지지 않는 경험, 있으신가요?
이런 증상이 반복된다면 칫솔이 닿지 않는
깊숙한 곳에 치은연하치석이
쌓여 있을 가능성이 높습니다.
이를 방치할 경우 치주질환을 넘어
치아 자체를 위협하는 심각한 문제로
이어질 수 있는 만큼,
오늘은 이와 관련해 자세히 알아보겠습니다.
당산 치과 보존과 전문의 김민영
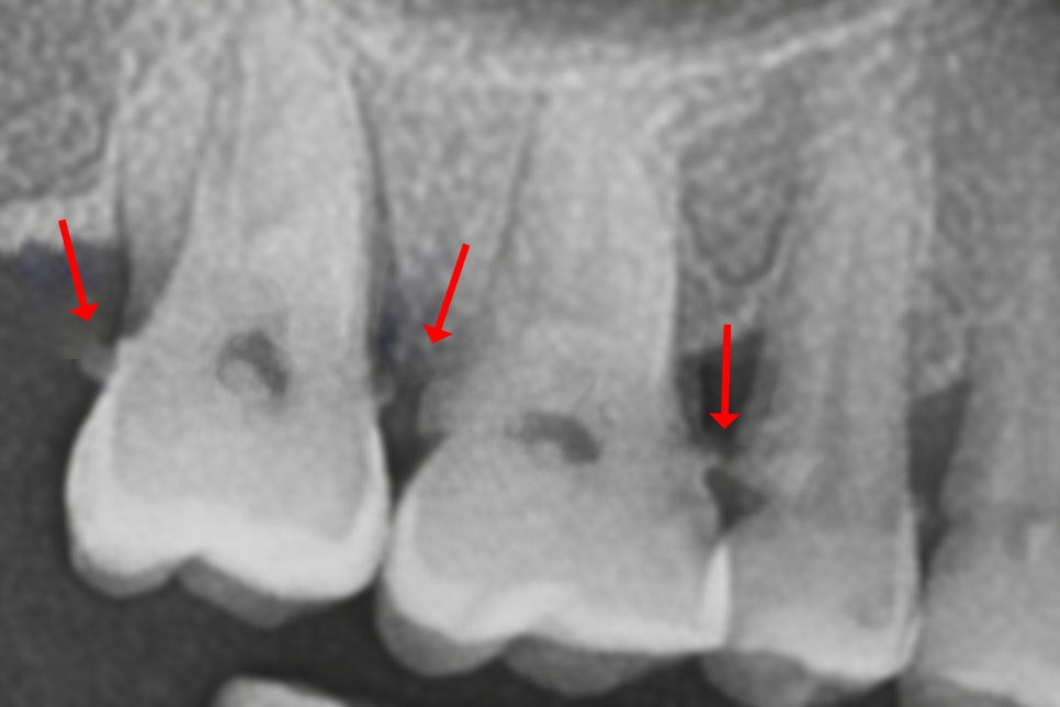
치은연하치석이란?
치석은 생성 위치에 따라
크게 두 가지로 구분됩니다.

잇몸 위쪽 눈에 보이는 부위에 쌓이는 것을
치은연상치석이라 하며
아래 깊숙한 곳에 형성되는 것을
치은연하치석이라 말합니다.
연상은 침 속 무기질이 치태와 결합하며 만들어지고
색이 비교적 밝으며 육안으로도 확인이 가능합니다.
반면 연하는 색이 짙은 갈색 혹은
검은빛을 띠고 단단하게 굳어있는 것이
큰 특징입니다.
치은 속에 숨어있기 때문에
거울로 볼 수 없으며
칫솔로도 접근하기 어렵습니다.
따라서 아무리 열심히 칫솔질을 한다 하더라도
스스로 제거하는 것을 사실상 불가능합니다.

더 큰 문제는 서서히,
그리고 조용히 쌓인다는 점으로
통증이 없다 보니 본인도 모르는 사이
상당량이 누적되는 경우가 많고
그 시간 동안 잇몸은 지속적인
염증 반응에 노출되게 됩니다.
바로 이 점 때문에 정기적인
전문 스케일링이 필요한 것이죠.
당산 치과 보존과 전문의 김민영
방치하면 어떤 문제가 생길까?
오랜 기간 쌓이게 되면 치주 조직에
지속적인 자극과 염증 반응을 유발하며
초기에는 잇몸이 붓고 피가 나는
치은염에 그치지만,
이 단계에서도 많은 분들이
통증이 크지 않다는 이유로
대수롭지 않게 넘길 때가 많습니다.

문제는 치은염을 방치했을 때이며
관리가 제대로 이루어지지 않는다면
치아를 지지하는 치조골까지 서서히
녹아내리는 치주염으로 발전하게 됩니다.
치주염이 진행되면 멀쩡해 보이던
치아조차 흔들리다 결국
발치에 이르는 상황이 발생합니다.
임플란트나 보철 치료를 받기 전에
구강 상태가 먼저 받쳐줘야 되는 이유도
바로 여기에 있습니다.
특히 당뇨, 고혈압 등 전신 질환을 가진 분들은
잇몸 염증이 혈당 조절을 방해하거나
심혈관 질환 위험을 높이는 등
전신 건강에도 영향을 미칠 수 있어
더욱 주의가 필요합니다.
따라서 당산 치과 에서는
주기적으로 구강 상태를 살펴 초기 변화를
놓치지 않는 것이 중요하다 생각합니다.
스케일링, 얼마나 자주 받는 것이 적당할까?
잇몸이 건강한 편이라면 6개월에서
1년에 한 번 스케일링 받는 것이
일반적으로 권장됩니다.
만 19세 이상이라면 매년 1회 건강보험
적용이 가능하기 때문에
경제적 부담 없이 받을 수 있으며
이 제도를 적극 활용하는 것만으로도
구강 건강을 지키는 데 큰 도움이 됩니다.
다만 흡연자는 침착물이 훨씬 빠르게
쌓이는 경향이 있고,
당뇨 등의 이유로 잇몸이 약해진 경우에는
3~4개월 간격의 더 짧은 주기로
관리받는 것이 바람직합니다.

교정 장치를 착용 중인 분들 또한
음식물이 끼기 쉬운 환경 탓에
보다 자주 내원하는 것을 권해 드립니다.
이미 침착물이 상당량
축적된 경우에는 오염된 치근 표면을
매끄럽게 다듬는 치근활택술이
필요한 경우도 있습니다.
이처럼 주기는 개인의 구강 상태에 따라
달라지기 때문에 정기 검진을 통해
본인에게 맞는 관리 계획을 세워야 됩니다.
당산 치과 보존과 전문의 김민영

스케일링은 아프지 않을 때 받는
선택사항이 아닌 문제가 생기기 전에
반드시 챙겨야 되는 예방 관리입니다.
많은 분들이 별다른 통증이 없으면
굳이 내원할 필요가 없다 생각하나,
증상이 나타났을 때는 이미 상당 부분
진행된 경우가 많으며
그때부터의 치료는 시간도, 비용도,
회복 과정도 훨씬 길어집니다.
따라서 6개월에 한 번 혹은 적어도
1년에 한 번은 구강 상태를
점검받는 것을 권해 드립니다.
건강한 치아는 오랜 시간
삶의 질을 지켜주는 소중한 자산입니다.
지금 당장 불편감이 없더라도
한 번쯤 마지막으로 스케일링을
언제 받았는지 떠올려 보시길 바랍니다.
지금까지 당산 치과 보존과 전문의 김민영이었습니다.
감사합니다.