Hello.
This is Apgujeong Orthodontic Clinic.
Patients who come in for orthodontic consultations often say they thought our clinic only did Invisalign treatment.
That is not the case.
Our treatment ratio is about half bracket-and-wire orthodontics and half Invisalign clear aligners.
The basis of all orthodontic treatment is wire braces.

23.10~25.12
Today, I’d like to talk about orthodontic treatment for a specialty of our clinic: a gummy smile (a gum smile, where too much gum shows when smiling).
Gummy smile correction can be done without extracting the premolars, or, when protrusion and gummy smile are present together, it can be done after premolar extraction.
Today, I’ll talk about the latter.

2022.12
This patient was referred to us for orthodontic treatment three years ago.
You can see midline discrepancy and deep overbite.

The upper front teeth protrude forward.


According to the skeletal analysis, the patient has a recessed chin, meaning the lower jaw is smaller than the upper jaw.
The treatment plan was to extract only two upper premolars and use the wisdom tooth space in the lower jaw to move the teeth backward without extraction.
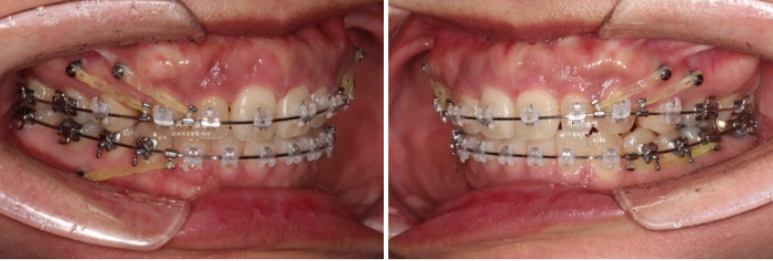
The patient chose Clippy-C, and treatment began.

23.10
This is what the patient looked like 10 months after starting treatment.
If you are curious about the treatment method that uses Clippy-C to intrude the upper dentition to correct a gummy smile and protrusion, please refer to the case that Director Baek Eui-seon published as the first author in an SCI journal 10 years ago.

23.04

23.10
You can see that the gummy smile is gradually improving.

Up to this point, the patient had been coming in regularly every month, so the extraction spaces had narrowed to less than half within 10 months.
After that, the patient became busy with work and did not visit the clinic for five months, and treatment continued with visits only once every two or three months.
Finally, three years after treatment began, the appliances were removed and treatment was completed.

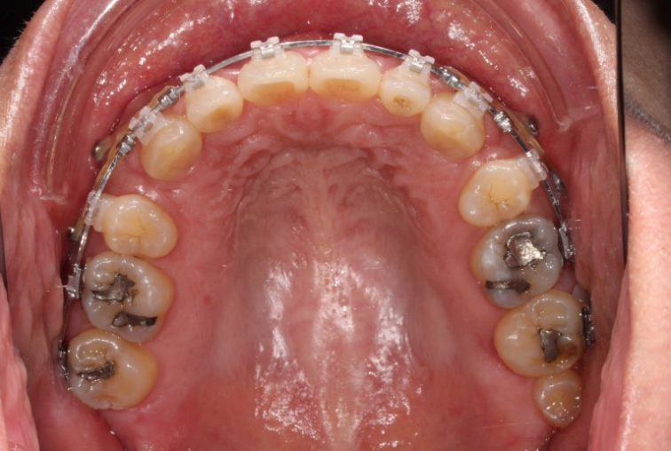
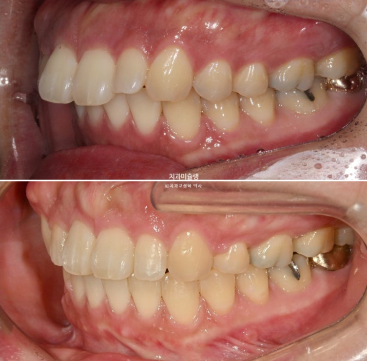
The bone in the gum area above the front teeth looks uneven, right?
I’ll explain the reason in a moment.
The midline and deep overbite have improved.

A stable, secure occlusal relationship is a given.
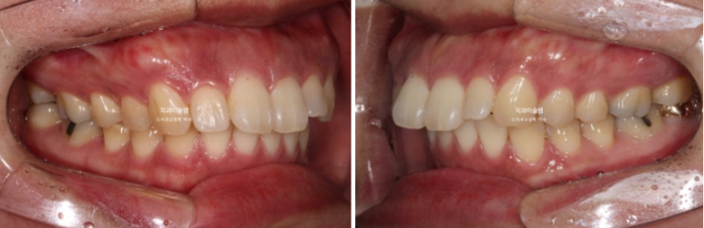
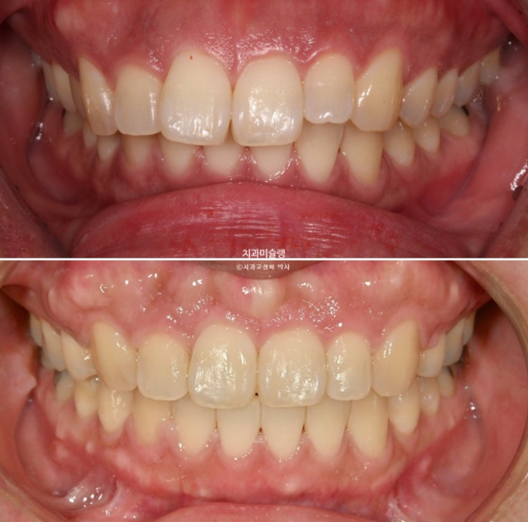
Let’s compare the before and after.
The total treatment period was 3 years. If the patient had visited once a month, it would likely have taken about 2 years and 3 months.

2022.12~2025.12


2022.12~2025.12
If you compare the before-and-after photos, you can see that the previously flat gum area above the front teeth has become uneven.

2022.12~2025.12
It is easy to misunderstand this as bone growing and protruding more than before, but in fact, the protruding part is the original position of the bone from before treatment, when the gums were protruding.
When the front teeth are successfully moved backward, including the roots, the gum bone covering the tooth roots also naturally resorbs and moves backward together with the roots. This is the process by which gum protrusion is resolved.
However, some areas of gum bone stubbornly remain in their original position and do not resorb.
As a result, these areas can look relatively protruded compared with the surrounding area after treatment, and this is the reason why the gums sometimes look uneven after extraction orthodontics.
There is no need to worry too much. Over time, most of it naturally becomes flatter through bone remodeling.
Although we do not recommend it, if this area really bothers you, the gums can be opened and the bone can be shaved down to make it flatter.

2022.12~2025.12
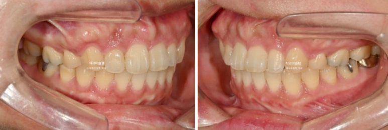
Now let’s look at the facial comparison.

2022.12~2025.12
When protrusion is resolved, it becomes easier to close the mouth.
Although this was extraction orthodontics, the philtrum does not look longer than it did at the first visit.

2022.12~2025.12
Compared with the first visit, the chin line appears more defined and the recessed chin looks improved.
The chin did not come forward because of orthodontic treatment, but it appears that way relatively as the lips moved backward.

2022.12~2025.12
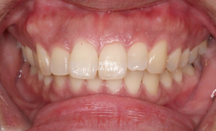
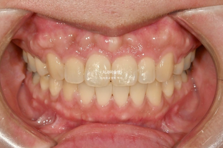
At the time of the first smile photo, the patient was not smiling broadly, so it may not be obvious, but there was originally a gummy smile.

2022.12~2025.12
With active intrusion of the front teeth, the amount of gum exposure improved after treatment.
The smile line harmonizes well with the lower lip.

2022.12~2025.12
After treatment, the angulation of the front teeth is good.

2022.12~2025.12
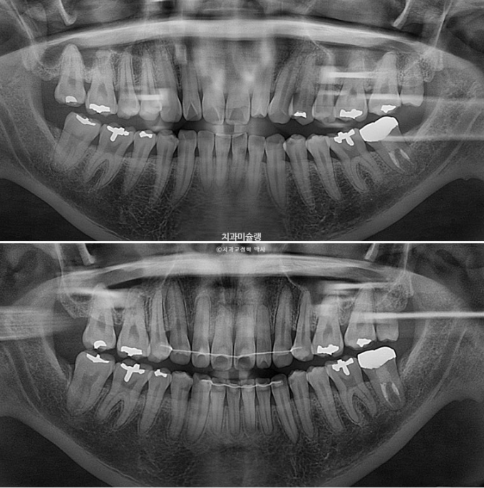
If we compare the before-and-after X-rays,

2022.12~2025.12
The upper front teeth were intruded by 2 mm. Thanks to that, gum exposure when smiling decreased, and the gummy smile was resolved.
The front teeth moved back a great deal, but the key point is that they did not become over-inclined inward.

2022.12~2025.12
During the three-year treatment period, root resorption occurred in the upper front teeth.
Because the amount of backward movement of the front teeth was so large, and because we focused on moving the roots backward more than the crowns to prevent excessive inward tipping, this was unavoidable.
The root parallelism is good.
I hope this post is helpful for those who are about to undergo extraction orthodontics due to severe protrusion.

